Primary Antibodies
Secondary Antibodies
Proteins & Peptides
ELISA Kits
About Us
Contact Us
Sign In/Register
0
ISO 9001:2015 Certified
Live Customer Support
4.5/5 on Trustpilot
100% Quality Guarantee
Home
Primary Antibodies
CD127 Antibodies
Anti-IL7R Antibody (A35469)
Anti-IL7R Antibody (A35469)
Overview
Specifications
Images
Enlarge Image
Enlarge Image
Enlarge Image
$390
Rabbit polyclonal antibody to IL7R for WB, IHC and IF.
100% Guarantee
Price Match Guarantee
Product Size:
50µl
100µl
Quantity:
1
2
3
4
5
6
7
8
9
10
Add To Cart
Request a Quotation
Custom or Bulk Request
Shipping Information
Freight/Packing Charges:
$40
Dispatched from St. Louis, MO.
Lead Time: 6-9 business days.
Tags:
B Cell Marker
Memory T Cell Marker
Natural Killer Cell Marker
Regulatory T Cell Marker
Specifications
Name
Anti-IL7R Antibody
Description
Rabbit polyclonal antibody to IL7R
Specificity
The antibody detects endogenous level of total IL7R protein.
Applications
WB
,
IHC
,
IF
Reactivity
Human
Immunogen
Recombinant protein of human IL7R.
Host
Rabbit
Clonality
Polyclonal
Conjugate
Unconjugated
Purification
Antibodies were purified by affinity purification using immunogen.
Concentration
1 mg/ml
Formulation
Supplied at 1.0mg / mL in phosphate buffered saline (without Mg2+ and Ca2+), pH 7.4, 150mM NaCl, 0.02% sodium azide and 50% glycerol.
Storage
Store at -20˚C
Synonyms
CDw127, IL-7 receptor subunit alpha, IL-7R subunit alpha, IL-7R-alpha, IL-7RA, Interleukin-7 receptor subunit alpha
Suitable Secondaries
Goat Anti-Rabbit IgG H&L Antibody (AP) (A294874)
Goat Anti-Rabbit IgG H&L Antibody (Biotin) (A294795)
Goat Anti-Rabbit IgG H&L Antibody (FITC) (A294887)
Goat Anti-Rabbit IgG H&L Antibody (HRP) (A294888)
See all Anti-Rabbit IgG Secondaries →
Disclaimer
This product is for research use only. It is not intended for diagnostic or therapeutic use.
Scientific Validation Data
Validation Data
(3)
Enlarge Image
Anti-IL7R Antibody (A35469)
Western blot analysis of Mouse thymus cell and K562 cell lysate using IL7R antibody.
Enlarge Image
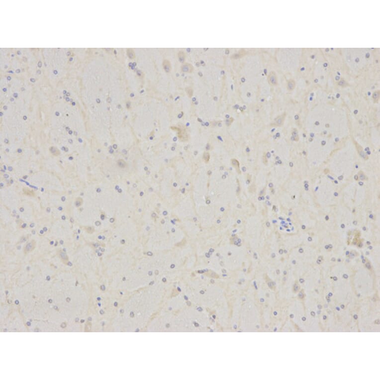
Immunohistochemistry - Anti-IL7R Antibody (A35469)
Immunohistochemical analysis of paraffin-embedded rat brain using IL7R antibody at dilution of 1: 200 (200x lens).
Enlarge Image
Immunofluorescence - Anti-IL7R Antibody (A35469)
Immunofluorescence analysis of HeLa cell using IL7R antibody.
Publishing research using Anti-IL7R Antibody (A35469)? Please
let us know
so that we can list the citation on this page.
Alternative products to Anti-IL7R Antibody (A35469)
(2)
A340713
Crebankitug Biosimilar - Anti-CD127 Antibody - BSA and Azide free
Human monoclonal antibody to CD127 Research grade Crebankitug biosimilar for ELISA, Flow Cytometry, Functional Studies and in vivo Research.
(2)
A340384
Anti-CD127 Antibody [GSK261896] Biosimilar - BSA and Azide free
Human monoclonal antibody to CD127 Research grade GSK2618960 biosimilar for ELISA, Flow Cytometry, Functional Studies and in vivo Research.
A339108
Lusvertikimab Biosimilar - Anti-CD127 Antibody - BSA and Azide free
Humanized monoclonal antibody to CD127 Research grade Lusvertikimab biosimilar for ELISA, Flow Cytometry, Functional Studies and in vivo Research.
A339769
Bempikibart Biosimilar - Anti-CD127 Antibody - BSA and Azide free
Human monoclonal antibody to CD127 Research grade Bempikibart biosimilar for ELISA, Flow Cytometry, Functional Studies and in vivo Research.
A340383
Anti-CD127 Antibody [ADX-914] Biosimilar - BSA and Azide free
Human monoclonal antibody to CD127 Research grade ADX-914 biosimilar for ELISA, Flow Cytometry, Functional Studies and in vivo Research.
A340817
Anti-CD127 Antibody [PF-6342674] Biosimilar - BSA and Azide free
Human antibody to CD127 Research grade PF-06342674 biosimilar for ELISA, Flow Cytometry, Functional Studies and in vivo Research.
(3)
A29521
Anti-IL7R Antibody
Rabbit polyclonal antibody to IL7R for WB, IHC and IF.
(2)
A308134
Anti-CD127 Antibody [ARC0672]
Rabbit monoclonal [ARC0672] antibody to CD127 for WB and ICC/IF.
(3)
A249027
Anti-CD127 Antibody [IL7R/2751]
Mouse monoclonal [IL7R/2751] antibody to CD127 for ELISA and WB.
(3)
A323565
Lusvertikimab Biosimilar - Anti-CD127 Antibody - Low endotoxin, Azide free
Recombinant human monoclonal antibody to CD127 for ELISA, FACS, Functional Assay and In Vivo.
(3)
A323917
Anti-CD127 Antibody [PF-06342674] - Low endotoxin, Azide free
Recombinant human monoclonal [PF-06342674] antibody to CD127 for ELISA, FACS, Functional Assay and In Vivo.
A13396
Anti-CD127 Antibody
Rabbit polyclonal antibody to CD127 for WB.
(2)
A340713
Crebankitug Biosimilar - Anti-CD127 Antibody - BSA and Azide free
Human monoclonal antibody to CD127 Research grade Crebankitug biosimilar for ELISA, Flow Cytometry, Functional Studies and in vivo Research.
(2)
A340384
Anti-CD127 Antibody [GSK261896] Biosimilar - BSA and Azide free
Human monoclonal antibody to CD127 Research grade GSK2618960 biosimilar for ELISA, Flow Cytometry, Functional Studies and in vivo Research.
A339108
Lusvertikimab Biosimilar - Anti-CD127 Antibody - BSA and Azide free
Humanized monoclonal antibody to CD127 Research grade Lusvertikimab biosimilar for ELISA, Flow Cytometry, Functional Studies and in vivo Research.
A339769
Bempikibart Biosimilar - Anti-CD127 Antibody - BSA and Azide free
Human monoclonal antibody to CD127 Research grade Bempikibart biosimilar for ELISA, Flow Cytometry, Functional Studies and in vivo Research.
A340383
Anti-CD127 Antibody [ADX-914] Biosimilar - BSA and Azide free
Human monoclonal antibody to CD127 Research grade ADX-914 biosimilar for ELISA, Flow Cytometry, Functional Studies and in vivo Research.
A340817
Anti-CD127 Antibody [PF-6342674] Biosimilar - BSA and Azide free
Human antibody to CD127 Research grade PF-06342674 biosimilar for ELISA, Flow Cytometry, Functional Studies and in vivo Research.
(3)
A29521
Anti-IL7R Antibody
Rabbit polyclonal antibody to IL7R for WB, IHC and IF.
(2)
A308134
Anti-CD127 Antibody [ARC0672]
Rabbit monoclonal [ARC0672] antibody to CD127 for WB and ICC/IF.
(3)
A249027
Anti-CD127 Antibody [IL7R/2751]
Mouse monoclonal [IL7R/2751] antibody to CD127 for ELISA and WB.
(3)
A323565
Lusvertikimab Biosimilar - Anti-CD127 Antibody - Low endotoxin, Azide free
Recombinant human monoclonal antibody to CD127 for ELISA, FACS, Functional Assay and In Vivo.
(3)
A323917
Anti-CD127 Antibody [PF-06342674] - Low endotoxin, Azide free
Recombinant human monoclonal [PF-06342674] antibody to CD127 for ELISA, FACS, Functional Assay and In Vivo.
A13396
Anti-CD127 Antibody
Rabbit polyclonal antibody to CD127 for WB.
See all IL7R Antibodies
Proteins predicted to interact with CD127
Predicted protein interactions based upon String database. Revelancy score correlates with probability of interaction.
TSLP Antibodies
99.9% Relevancy Score
IL-7 Antibodies
99.9% Relevancy Score
IL-2RG Antibodies
99.9% Relevancy Score
CRLF2 Antibodies
99.9% Relevancy Score
JAK1 Antibodies
99.4% Relevancy Score
JAK3 Antibodies
98.8% Relevancy Score
IL-15 Antibodies
98.5% Relevancy Score
IL-2 Antibodies
97.8% Relevancy Score
CD4 Antibodies
96% Relevancy Score
Top