Primary Antibodies
Secondary Antibodies
Proteins & Peptides
ELISA Kits
About Us
Contact Us
Sign In/Register
0
ISO 9001:2015 Certified
Live Customer Support
4.5/5 on Trustpilot
100% Quality Guarantee
Home
Primary Antibodies
Inhibin beta C Antibodies
Anti-INHBC Antibody (A37811)
Anti-INHBC Antibody (A37811)
Overview
Specifications
Images
Enlarge Image
Enlarge Image
$405
Rabbit polyclonal antibody to INHBC for WB and IHC.
100% Guarantee
Price Match Guarantee
Product Size:
100µl
Quantity:
1
2
3
4
5
6
7
8
9
10
Add To Cart
Request a Quotation
Custom or Bulk Request
Shipping Information
Freight/Packing Charges:
$40
Dispatched from St. Louis, MO.
Lead Time: 6-9 business days.
Specifications
Name
Anti-INHBC Antibody
Description
Rabbit polyclonal antibody to INHBC
Specificity
The antibody detects endogenous levels of total INHBC protein.
Applications
WB
,
IHC
Reactivity
Human
Immunogen
Fusion protein corresponding to a region derived from internal residues of human inhibin, beta C
Host
Rabbit
Clonality
Polyclonal
Conjugate
Unconjugated
Purification
Antigen affinity purification.
Concentration
2.2 mg/ml
Formulation
Rabbit IgG in pH7.3 PBS, 0.05% NaN3, 50% Glycerol.
Storage
Store at -20˚C
Synonyms
Activin beta-C chain, Inhibin beta C chain
Suitable Secondaries
Goat Anti-Rabbit IgG H&L Antibody (AP) (A294874)
Goat Anti-Rabbit IgG H&L Antibody (Biotin) (A294795)
Goat Anti-Rabbit IgG H&L Antibody (FITC) (A294887)
Goat Anti-Rabbit IgG H&L Antibody (HRP) (A294888)
See all Anti-Rabbit IgG Secondaries →
Disclaimer
This product is for research use only. It is not intended for diagnostic or therapeutic use.
Scientific Validation Data
Validation Data
(2)
Enlarge Image
Anti-INHBC Antibody (A37811)
Gel: 10% SDS-PAGE Lysates (from left to right): 293T, hepG2, hela and A549 cell Amount of lysate: 40ug per lane Primary antibody: 1/550 dilution Secondary antibody dilution: 1/8000 Exposure time: 1 minute
Enlarge Image
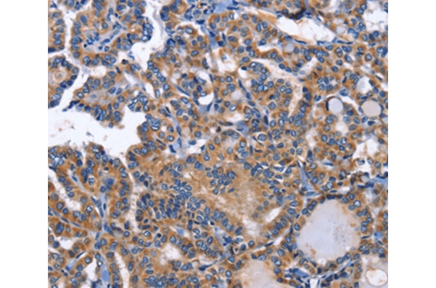
Immunohistochemistry - Anti-INHBC Antibody (A37811)
Immunohistochemical analysis of paraffin-embedded Human thyroid cancer tissue using #35781 at dilution 1/50.
Publishing research using Anti-INHBC Antibody (A37811)? Please
let us know
so that we can list the citation on this page.
Alternative products to Anti-INHBC Antibody (A37811)
(3)
A96505
Anti-Inhibin beta-C Antibody
Rabbit polyclonal antibody to Inhibin beta-C for WB, IHC and ELISA.
(2)
A97464
Anti-INHBC Antibody
Rabbit polyclonal antibody to INHBC for WB and ELISA.
(3)
A96505
Anti-Inhibin beta-C Antibody
Rabbit polyclonal antibody to Inhibin beta-C for WB, IHC and ELISA.
(2)
A97464
Anti-INHBC Antibody
Rabbit polyclonal antibody to INHBC for WB and ELISA.
Proteins predicted to interact with Inhibin beta C
Predicted protein interactions based upon String database. Revelancy score correlates with probability of interaction.
Follistatin Antibodies
94.9% Relevancy Score
ACVR2B Antibodies
93.7% Relevancy Score
Activin Receptor Type IIA Antibodies
93.7% Relevancy Score
ALK-7 Antibodies
93.7% Relevancy Score
TGF beta 3 Antibodies
91.1% Relevancy Score
Nodal Antibodies
90.9% Relevancy Score
TGF beta 1 Antibodies
90.5% Relevancy Score
Inhibin alpha Antibodies
71% Relevancy Score
Inhibin beta A Antibodies
62.7% Relevancy Score
Top