ISO 9001:2015 Certified
Live Customer Support
4.5/5 on Trustpilot
100% Quality Guarantee

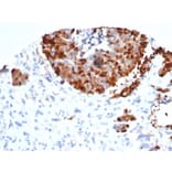
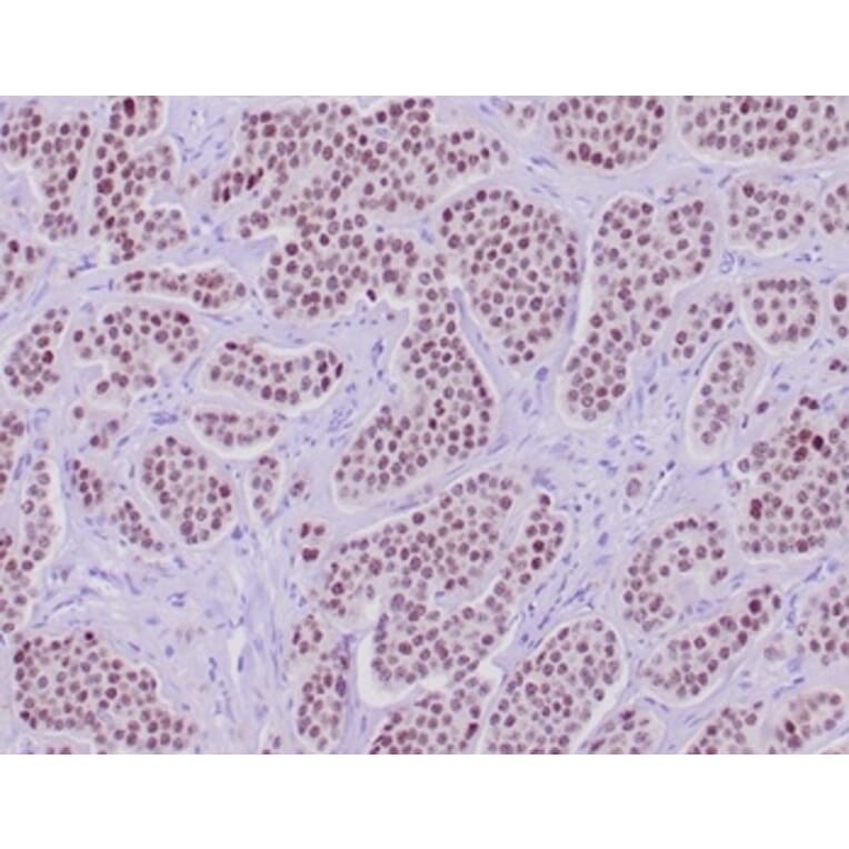
Recombinant Anti-INSM1 Antibody [INSM1/6286R] - BSA and Azide free (A278599)

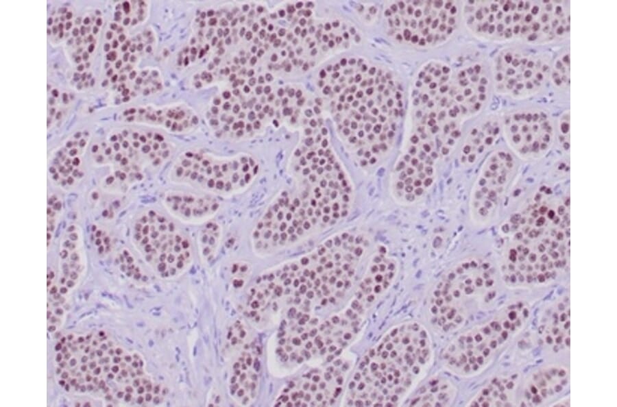
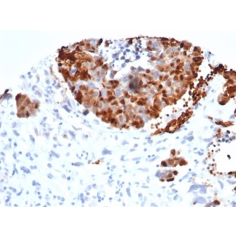
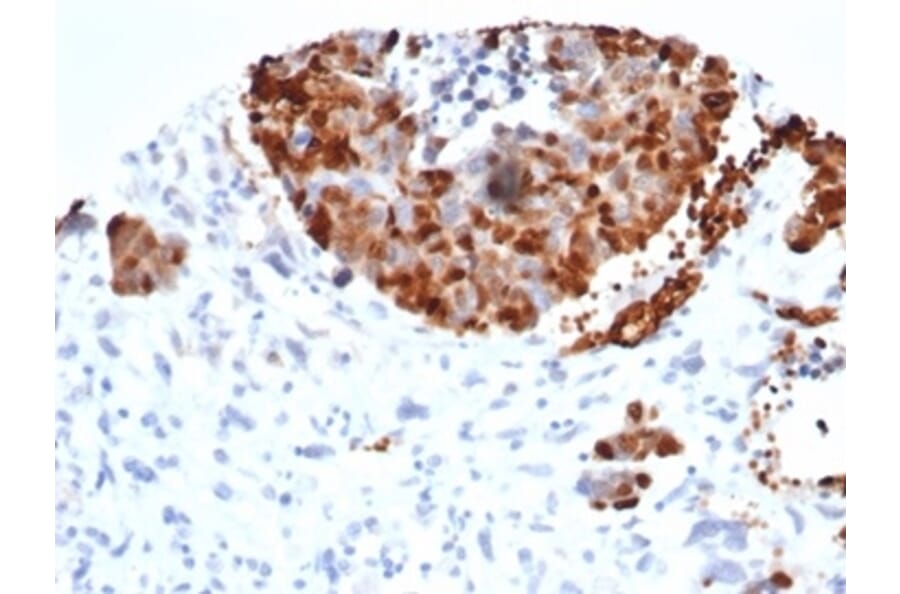
Recombinant rabbit monoclonal [INSM1/6286R] antibody to INSM1 for IHC-P.

Alternative Formats and ConjugatesAlternative Formats

Shipping Information

$40
Dispatched from St. Louis, MO.
Lead Time: 5-8 business days.
Name
Anti-INSM1 Antibody [INSM1/6286R] - BSA and Azide free
Description
Recombinant rabbit monoclonal [INSM1/6286R] antibody to INSM1.
Specificity
Insulinoma-associated protein 1 (INSM1) is a developmentally regulated zinc-finger transcription factor. It localizes to the nucleus and is expressed in embryonic issues undergoing neuroendocrine differentiation. INSM1 is not expressed in normal adult tissues but can be found highly expressed in neuroendocrine tumors. INSM1 is positive in 95% of lung small cell carcinoma and 91% of lung large cell neuroendocrine carcinoma, compared with 75% and 78% with the combined panel of traditional neuroendocrine markers (synaptophysin, chromogranin, and CD56).INSM1 stains 100% of the atypical carcinoids, typical carcinoids and paragangliomas, but only 3% of adenocarcinomas and 4% of squamous cell carcinomas. Therefore, INSM1 is sensitive and specific to be a single first-line pan-neuroendocrine marker.
Applications
IHC-P
Dilutions
IHC-P: 1-2 µg/ml
Reactivity
Human
Immunogen
Recombinant fragment corresponding to the N terminus, around amino acids 81-125, of human INSM1 protein.
Host
Rabbit
Clonality
Monoclonal
Clone ID
INSM1/6286R
Isotype
IgG
Conjugate

Unconjugated

Purification
Protein A/G chromatography.
Concentration
1 mg/ml
Molecular Weight
58 kDa
Product Form
Liquid
Formulation
Supplied in 10mM Phosphate Buffered Saline; without Sodium Azide and carrier free.
Storage
Shipped at 4°C. Upon delivery aliquot and store at -20°C. Avoid freeze / thaw cycles.
General Notes
This monoclonal antibody is also available in a different formulation with BSA and Sodium Azide - Anti-INSM1 Antibody [INSM1/6286R] (A278011).
Synonyms
IA1, Insulinoma-associated protein 1, Zinc finger protein IA-1
Disclaimer
This product is for research use only. It is not intended for diagnostic or therapeutic use.
Publishing research using Recombinant Anti-INSM1 Antibody [INSM1/6286R] - BSA and Azide free (A278599)? Please let us know so that we can list the citation on this page.

Alternative products to Anti-INSM1 Antibody [INSM1/6286R] - BSA and Azide free (A278599)

Proteins predicted to interact with INSM1

Predicted protein interactions based upon String database. Revelancy score correlates with probability of interaction.
96.4% Relevancy Score
95.5% Relevancy Score
95.5% Relevancy Score
91.7% Relevancy Score
89.8% Relevancy Score
88.9% Relevancy Score
88.7% Relevancy Score
82% Relevancy Score
72.6% Relevancy Score