Western Blot - Anti-Integrin alpha V Antibody (A13861)
Western blot analysis of extracts of various cell lines, using Anti-Integrin alpha V Antibody (A13861) at 1:3,000 dilution. The secondary antibody was Goat Anti-Rabbit IgG H&L Antibody (HRP) at 1:10,000 dilution. Lysates/proteins were present at 25µg per lane. The blocking buffer used was 3% non-fat dry milk in TBST. Detection was with a ECL Basic Kit. Exposure time: 3s.
Western Blot - Anti-Integrin alpha V Antibody (A13861)
Western blot analysis of extracts of MCF7 cells, using Anti-Integrin alpha V Antibody (A13861) at 1:3,000 dilution. The secondary antibody was Goat Anti-Rabbit IgG H&L Antibody (HRP) at 1:10,000 dilution. Lysates/proteins were present at 25µg per lane. The blocking buffer used was 3% non-fat dry milk in TBST. Detection was with a ECL Basic Kit. Exposure time: 10s.
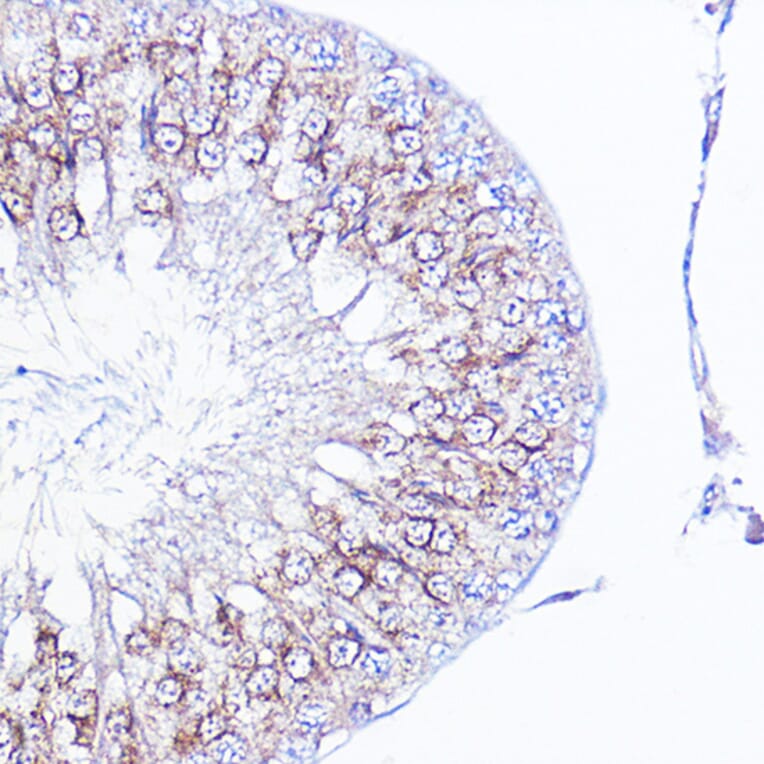
Immunohistochemistry - Anti-Integrin alpha V Antibody (A13861)
Immunohistochemistry analysis of paraffin-embedded rat testis using Anti-Integrin alpha V Antibody (A13861) at a dilution of 1:100 (40x lens). Perform high pressure antigen retrieval with 10 mM citrate buffer pH 6.0 before commencing with IHC staining protocol.
Western Blot - Anti-Integrin alpha V Antibody (A13861)
Immunoprecipitation analysis of 200µg extracts of C6 cells using 3µg of Anti-Integrin alpha V Antibody (A13861). This Western blot was performed on the immunoprecipitate using Anti-Integrin alpha V Antibody (A13861) at a dilution of 1:2000.
Publishing research using Anti-Integrin alpha V Antibody (A13861)? Please let us know so that we can list the citation on this page.
Alternative products to Anti-Integrin alpha V Antibody (A13861)
Recombinant humanized monoclonal antibody to Integrin alpha V for use as a research grade Abituzumab for ELISA, Flow Cytometry, Functional Studies and in vivo Research.
Recombinant humanized monoclonal antibody to Integrin alpha V for use as a research grade Abituzumab for ELISA, Flow Cytometry, Functional Studies and in vivo Research.