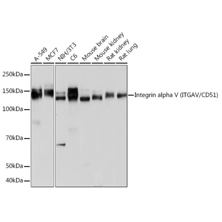
Western Blot - Anti-Integrin alpha V Antibody [ARC50621] (A308725)
Western blot analysis of extracts of various cell lines, using Anti-Integrin alpha V Antibody [ARC50621] (A308725) at 1:1,000 dilution. The secondary antibody was Goat Anti-Rabbit IgG H&L Antibody (HRP) at 1:10,000 dilution. Lysates/proteins were present at 25µg per lane. The blocking buffer used was 3% non-fat dry milk in TBST. Detection was with a ECL Basic Kit. Exposure time: 1s.
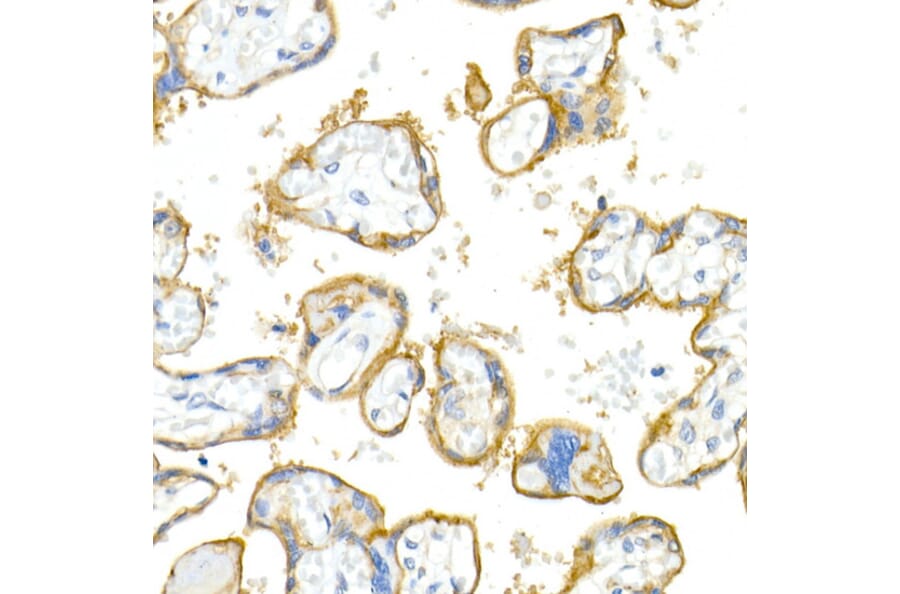
Immunohistochemistry - Anti-Integrin alpha V Antibody [ARC50621] (A308725)
Immunohistochemistry analysis of paraffin-embedded human placenta using Anti-Integrin alpha V Antibody [ARC50621] (A308725) at a dilution of 1:100(40x lens). Perform microwave antigen retrieval with 10 mM PBS buffer pH 7.2 before commencing with IHC staining protocol.
Flow Cytometry - Anti-Integrin alpha V Antibody [ARC50621] (A308725)
Flow cytometry analysis of HUVEC cells, stained with Rabbit IgG isotype control (2.5 µg/ml, blue line) or Anti-Integrin alpha V Antibody [ARC50621] (A308725), (2.5 µg/ml orange line), followed by FITC conjugated goat anti-rabbit polyclonal antibody (1:200 dilution) staining. Non-fluorescently stained HUVEC cells, used as blank control (red line).
Flow Cytometry - Anti-Integrin alpha V Antibody [ARC50621] (A308725)
Flow cytometry analysis of BEWO cells, stained with Rabbit IgG isotype control (2.5 µg/ml, blue line) or Anti-Integrin alpha V Antibody [ARC50621] (A308725), (2.5 µg/ml orange line), followed by FITC conjugated goat anti-rabbit polyclonal antibody (1:200 dilution). Non-fluorescently stained BEWO cells, used as blank control (red line).
Flow Cytometry - Anti-Integrin alpha V Antibody [ARC50621] (A308725)
Flow cytometry analysis of U-251 MG cells, stained with Rabbit IgG isotype control (2.5 µg/ml, blue line) or Anti-Integrin alpha V Antibody [ARC50621] (A308725), (2.5 µg/ml orange line), followed by FITC conjugated goat anti-rabbit polyclonal antibody (1:200 dilution). Non-fluorescently stained U-251 MG cells, used as blank control (red line).
Flow Cytometry - Anti-Integrin alpha V Antibody [ARC50621] (A308725)
Flow cytometry analysis of Daudi cells, stained with Rabbit IgG isotype control (2.5 µg/ml, blue line) or Anti-Integrin alpha V Antibody [ARC50621] (A308725), (2.5 µg/ml orange line), followed by FITC conjugated goat anti-rabbit polyclonal antibody (1:200 dilution). Non-fluorescently stained Daudi cells, used as blank control (red line).
Humanized monoclonal antibody to Integrin alpha V Research grade Abituzumab biosimilar for ELISA, Flow Cytometry, Functional Studies and in vivo Research.
Humanized monoclonal antibody to Integrin alpha V Research grade Abituzumab biosimilar for ELISA, Flow Cytometry, Functional Studies and in vivo Research.