Primary Antibodies
Secondary Antibodies
Proteins & Peptides
ELISA Kits
About Us
Contact Us
Sign In/Register
0
ISO 9001:2015 Certified
Live Customer Support
4.5/5 on Trustpilot
100% Quality Guarantee
Home
Primary Antibodies
INTS1 Antibodies
Anti-INTS1 Antibody (A46176)
Anti-INTS1 Antibody (A46176)
Overview
Specifications
Images
Enlarge Image
$430
Product Datasheet
Rabbit polyclonal antibody to INTS1 for IHC.
100% Guarantee
Price Match Guarantee
Product Size:
100µl
Quantity:
1
2
3
4
5
6
7
8
9
10
Add To Cart
Request a Quotation
Custom or Bulk Request
Shipping Information
Freight/Packing Charges:
$40
Dispatched from St. Louis, MO.
Lead Time: 6-9 business days.
Specifications
Name
Anti-INTS1 Antibody
Description
Rabbit polyclonal antibody to INTS1
Specificity
The antibody detects endogenous levels of total INTS1 protein.
Applications
IHC
Reactivity
Human, Mouse
Immunogen
Synthetic peptide corresponding to residues near the N terminal of human integrator complex subunit 1
Host
Rabbit
Clonality
Polyclonal
Conjugate
Unconjugated
Purification
Antigen affinity purification.
Concentration
1.3 mg/mL
Formulation
Supplied in PBS, pH 7.3, containing 0.05% sodium azide and 50% glycerol.
Storage
Shipped at 4°C. Upon delivery aliquot and store at -20°C. Avoid freeze/thaw cycles.
Synonyms
Int1, Integrator complex subunit 1, KIAA1440
Suitable Secondaries
Goat Anti-Rabbit IgG H&L Antibody (AP) (A294874)
Goat Anti-Rabbit IgG H&L Antibody (Biotin) (A294795)
Goat Anti-Rabbit IgG H&L Antibody (FITC) (A294887)
Goat Anti-Rabbit IgG H&L Antibody (HRP) (A294888)
See all Anti-Rabbit IgG Secondaries →
Disclaimer
This product is for research use only. It is not intended for diagnostic or therapeutic use.
Scientific Validation Data
Validation Data
(1)
Enlarge Image
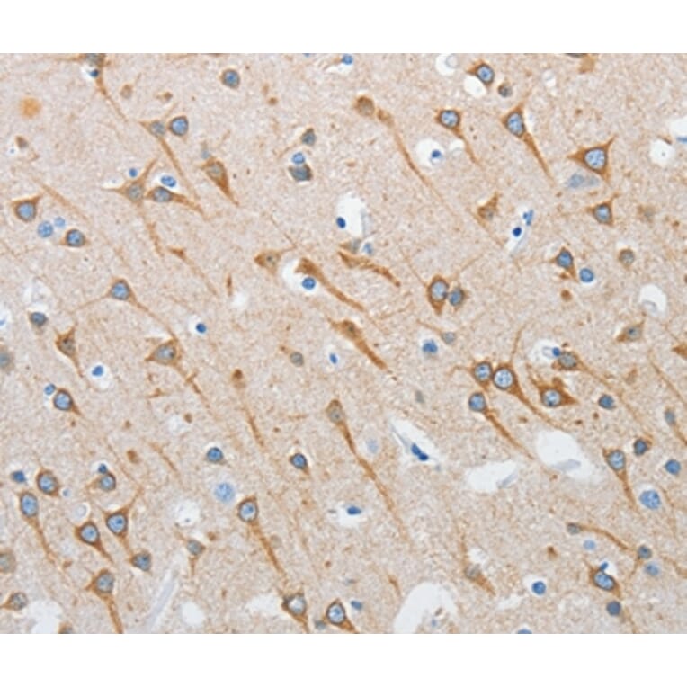
Immunohistochemistry - Anti-INTS1 Antibody (A46176)
Immunohistochemical analysis of paraffin-embedded Human brain tissue using #37357 at dilution 1/35.
Publishing research using Anti-INTS1 Antibody (A46176)? Please
let us know
so that we can list the citation on this page.
Proteins predicted to interact with INTS1
Predicted protein interactions based upon String database. Revelancy score correlates with probability of interaction.
INTS7 Antibodies
99.9% Relevancy Score
INT11 Antibodies
99.9% Relevancy Score
C12orf11 Antibodies
99.9% Relevancy Score
PPP2R1A Antibodies
99.9% Relevancy Score
DDX26 Antibodies
99.9% Relevancy Score
POLR2A Antibodies
99.9% Relevancy Score
INTS5 Antibodies
99.9% Relevancy Score
INTS2 Antibodies
99.9% Relevancy Score
INTS10 Antibodies
99.9% Relevancy Score
Top