Western Blot - Anti-IR (phospho Tyr1355) Antibody (A95282)
Western blot analysis of lysates from 293 cells treated with Heat shock using Anti-IR (phospho Tyr1355) Antibody. The right hand lane represents a negative control, where the antibody is blocked by the immunising peptide.
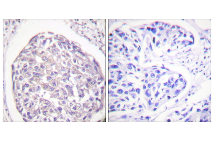
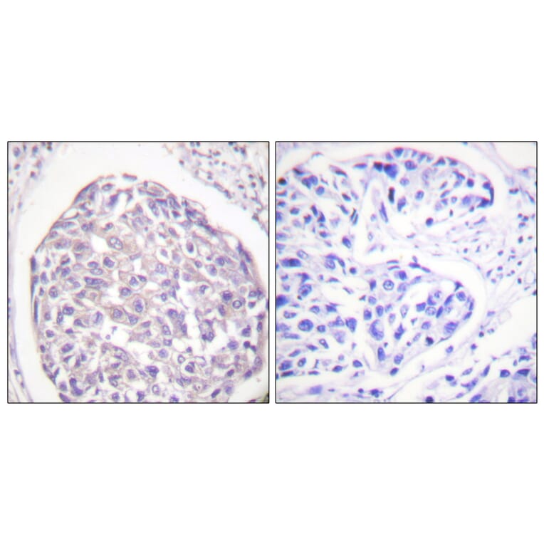
Immunohistochemical analysis of paraffin-embedded human breast carcinoma using Anti-IR (phospho Tyr1355) Antibody. The right hand panel represents a negative control, where the antibody was pre-incubated with the immunising peptide.
Recombinant human monoclonal antibody to Insulin Receptor for use as a research grade Ersodetug bios for ELISA, Flow Cytometry, Functional Studies and in vivo Research.
Recombinant chimeric monoclonal antibody to Insulin Receptor for use as a research grade Valanafusp for ELISA, Flow Cytometry, Functional Studies and in vivo Research.
Recombinant human monoclonal antibody to Insulin Receptor for use as a research grade AGT-182 biosim for ELISA, Flow Cytometry, Functional Studies and in vivo Research.
Recombinant human monoclonal antibody to Insulin Receptor for use as a research grade IRAB-B biosimi for ELISA, Flow Cytometry, Functional Studies and in vivo Research.
Recombinant human monoclonal antibody to Insulin Receptor for use as a research grade XOMA 129 biosi for ELISA, Flow Cytometry, Functional Studies and in vivo Research.
Recombinant human monoclonal antibody to Insulin Receptor for use as a research grade Ersodetug bios for ELISA, Flow Cytometry, Functional Studies and in vivo Research.
Recombinant chimeric monoclonal antibody to Insulin Receptor for use as a research grade Valanafusp for ELISA, Flow Cytometry, Functional Studies and in vivo Research.
Recombinant human monoclonal antibody to Insulin Receptor for use as a research grade AGT-182 biosim for ELISA, Flow Cytometry, Functional Studies and in vivo Research.
Recombinant human monoclonal antibody to Insulin Receptor for use as a research grade IRAB-B biosimi for ELISA, Flow Cytometry, Functional Studies and in vivo Research.
Recombinant human monoclonal antibody to Insulin Receptor for use as a research grade XOMA 129 biosi for ELISA, Flow Cytometry, Functional Studies and in vivo Research.