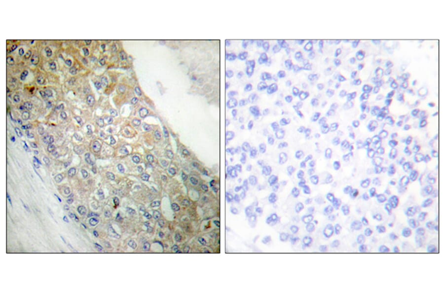
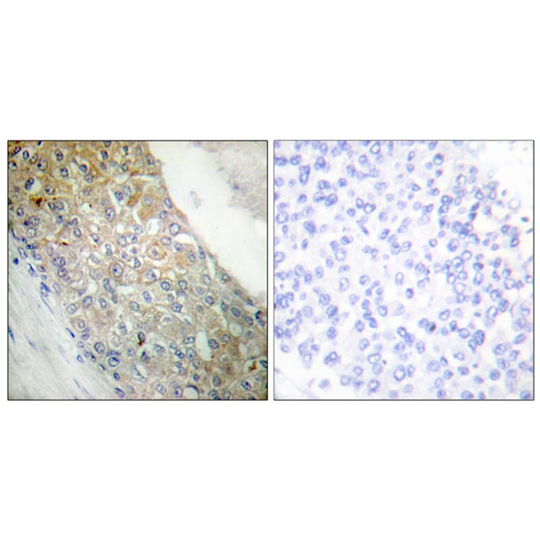
Immunohistochemical analysis of paraffin-embedded human breast carcinoma tissue using Anti-IR Antibody. The right hand panel represents a negative control, where the antibody was pre-incubated with the immunising peptide.
Immunofluorescence analysis of HUVEC cells using Anti-IR Antibody. The right hand panel represents a negative control, where the antibody was pre-incubated with the immunising peptide.
Publishing research using Anti-IR Antibody (A100251)? Please let us know so that we can list the citation on this page.
Alternative products to Anti-IR Antibody (A100251)
Recombinant human monoclonal antibody to Insulin Receptor for use as a research grade Ersodetug bios for ELISA, Flow Cytometry, Functional Studies and in vivo Research.
Recombinant human monoclonal antibody to Insulin Receptor for use as a research grade XPA1524720 for ELISA, Flow Cytometry, Functional Studies and in vivo Research.
Recombinant humanantibody to Insulin Receptor for use as a research grade IRAB-A biosimilar for ELISA, Flow Cytometry, Functional Studies and in vivo Research.
Recombinant chimeric monoclonal antibody to Insulin Receptor for use as a research grade Valanafusp for ELISA, Flow Cytometry, Functional Studies and in vivo Research.
Recombinant human monoclonal antibody to Insulin Receptor for use as a research grade AGT-182 biosim for ELISA, Flow Cytometry, Functional Studies and in vivo Research.
Recombinant human monoclonal antibody to Insulin Receptor for use as a research grade IRAB-B biosimi for ELISA, Flow Cytometry, Functional Studies and in vivo Research.
Recombinant human monoclonal antibody to Insulin Receptor for use as a research grade XOMA 129 biosi for ELISA, Flow Cytometry, Functional Studies and in vivo Research.
Recombinant human monoclonal antibody to Insulin Receptor for use as a research grade Ersodetug bios for ELISA, Flow Cytometry, Functional Studies and in vivo Research.
Recombinant human monoclonal antibody to Insulin Receptor for use as a research grade XPA1524720 for ELISA, Flow Cytometry, Functional Studies and in vivo Research.
Recombinant humanantibody to Insulin Receptor for use as a research grade IRAB-A biosimilar for ELISA, Flow Cytometry, Functional Studies and in vivo Research.
Recombinant chimeric monoclonal antibody to Insulin Receptor for use as a research grade Valanafusp for ELISA, Flow Cytometry, Functional Studies and in vivo Research.
Recombinant human monoclonal antibody to Insulin Receptor for use as a research grade AGT-182 biosim for ELISA, Flow Cytometry, Functional Studies and in vivo Research.
Recombinant human monoclonal antibody to Insulin Receptor for use as a research grade IRAB-B biosimi for ELISA, Flow Cytometry, Functional Studies and in vivo Research.
Recombinant human monoclonal antibody to Insulin Receptor for use as a research grade XOMA 129 biosi for ELISA, Flow Cytometry, Functional Studies and in vivo Research.