ISO 9001:2015 Certified
Live Customer Support
4.5/5 on Trustpilot
100% Quality Guarantee

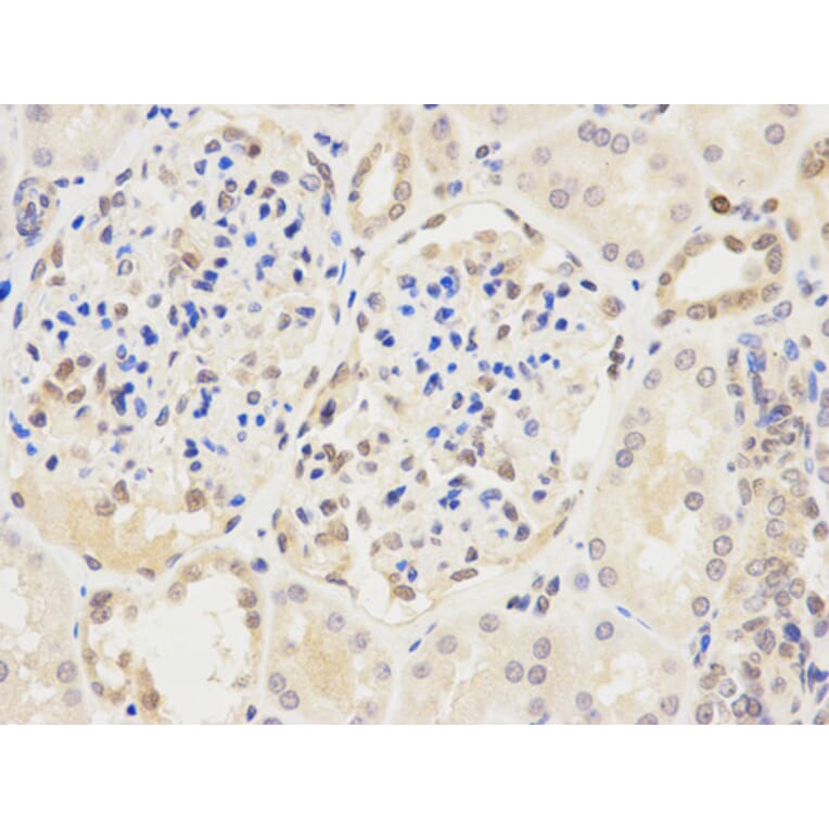
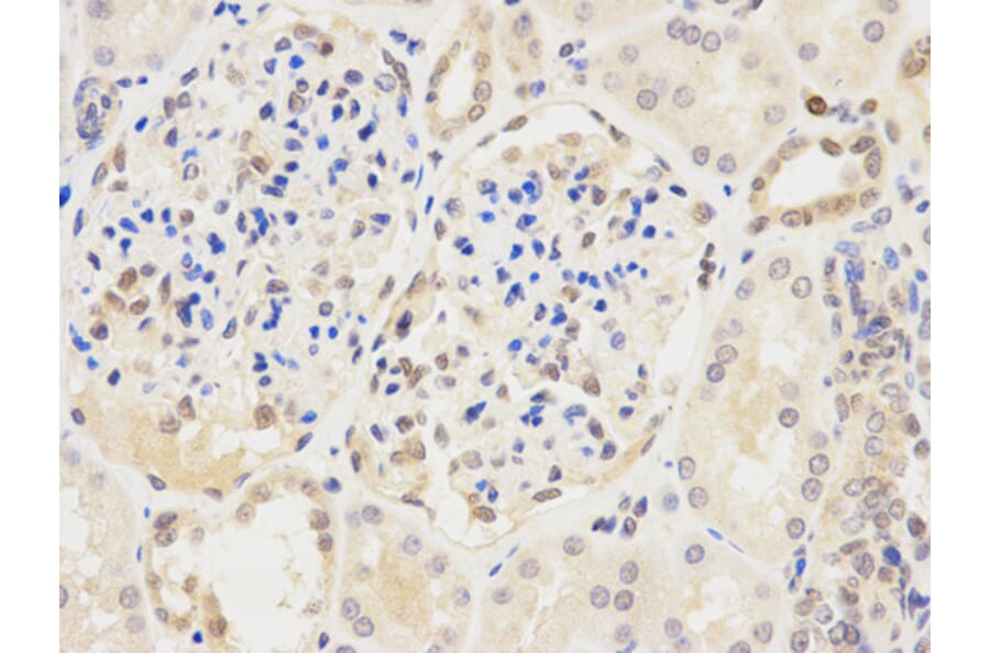
Anti-IRF3 Antibody (A30168)

$435

Rabbit polyclonal antibody to IRF3 for WB, IHC and IF.

Shipping Information

$40
Dispatched from St. Louis, MO.
Lead Time: 7-10 business days.
Name
Anti-IRF3 Antibody
Description
Rabbit polyclonal antibody to IRF3
Specificity
IRF3 pAb detects endogenous levels of IRF3 protein.
Applications
WB, IHC, IF
Reactivity
Human
Immunogen
Recombinant full length Human IRF3.
Host
Rabbit
Clonality
Polyclonal
Conjugate

Unconjugated

Molecular Weight
~ 47, 55 kDa
Purity
The antibody was affinity-purified from rabbit antiserum by affinity-chromatography using epitope-specific immunogen and the purity is > 95% (by SDS-PAGE).
Product Form
1 mg/ml in Phosphate buffered saline (PBS) with 0.05% sodium azide, approx. pH 7.2.
Synonyms
Interferon regulatory factor 3, IRF-3
Disclaimer
This product is for research use only. It is not intended for diagnostic or therapeutic use.
Publishing research using Anti-IRF3 Antibody (A30168)? Please let us know so that we can list the citation on this page.

Alternative products to Anti-IRF3 Antibody (A30168)

Proteins predicted to interact with IRF3

Predicted protein interactions based upon String database. Revelancy score correlates with probability of interaction.
99.9% Relevancy Score
99.9% Relevancy Score
99.9% Relevancy Score
99.9% Relevancy Score
99.9% Relevancy Score
99.8% Relevancy Score
99.8% Relevancy Score
99.4% Relevancy Score
99.3% Relevancy Score