Primary Antibodies
Secondary Antibodies
Proteins & Peptides
ELISA Kits
About Us
Contact Us
Sign In/Register
0
ISO 9001:2015 Certified
Live Customer Support
4.5/5 on Trustpilot
100% Quality Guarantee
Home
Primary Antibodies
IRF3 Antibodies
Anti-IRF3 Antibody (A35517)
Anti-IRF3 Antibody (A35517)
Overview
Specifications
Images
Enlarge Image
Enlarge Image
Enlarge Image
Enlarge Image
$415
Rabbit polyclonal antibody to IRF3 for WB, IHC and IF.
100% Guarantee
Price Match Guarantee
Product Size:
50µl
100µl
Quantity:
1
2
3
4
5
6
7
8
9
10
Add To Cart
Request a Quotation
Custom or Bulk Request
Shipping Information
Freight/Packing Charges:
$40
Dispatched from St. Louis, MO.
Lead Time: 6-9 business days.
Specifications
Name
Anti-IRF3 Antibody
Description
Rabbit polyclonal antibody to IRF3
Specificity
The antibody detects endogenous level of total IRF3 protein.
Applications
WB
,
IHC
,
IF
Reactivity
Human
Immunogen
Recombinant protein of human IRF3.
Host
Rabbit
Clonality
Polyclonal
Conjugate
Unconjugated
Purification
Antibodies were purified by affinity purification using immunogen.
Concentration
1 mg/ml
Formulation
Supplied at 1.0mg / mL in phosphate buffered saline (without Mg2+ and Ca2+), pH 7.4, 150mM NaCl, 0.02% sodium azide and 50% glycerol.
Storage
Store at -20˚C
Synonyms
Interferon regulatory factor 3, IRF-3
Suitable Secondaries
Goat Anti-Rabbit IgG H&L Antibody (AP) (A294874)
Goat Anti-Rabbit IgG H&L Antibody (Biotin) (A294795)
Goat Anti-Rabbit IgG H&L Antibody (FITC) (A294887)
Goat Anti-Rabbit IgG H&L Antibody (HRP) (A294888)
See all Anti-Rabbit IgG Secondaries →
Disclaimer
This product is for research use only. It is not intended for diagnostic or therapeutic use.
Scientific Validation Data
Validation Data
(4)
Enlarge Image
Anti-IRF3 Antibody (A35517)
Western blot analysis of extracts of brain cell lines, using IRF3 antibody.
Enlarge Image
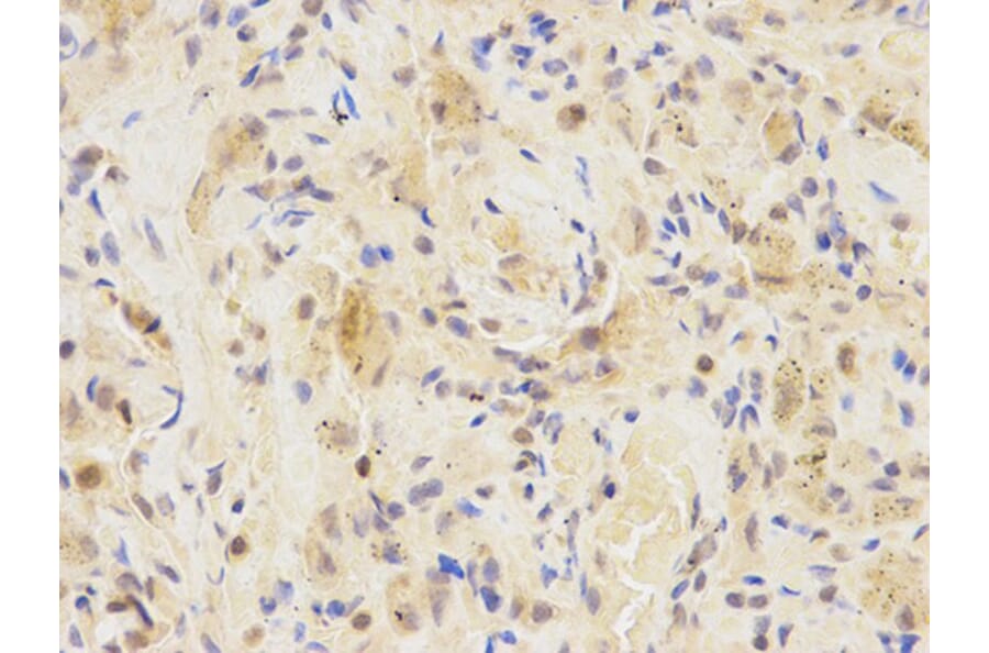
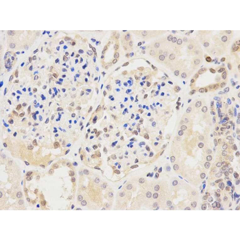
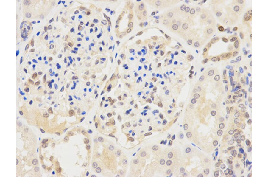
Immunohistochemistry - Anti-IRF3 Antibody (A35517)
Immunohistochemical analysis of paraffin-embedded human kidney using IRF3 antibody at dilution of 1: 200 (400x lens).
Enlarge Image
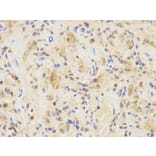
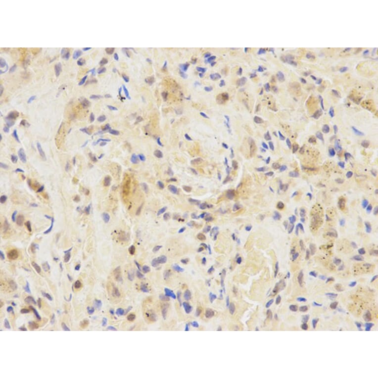
Immunohistochemistry - Anti-IRF3 Antibody (A35517)
Immunohistochemical analysis of paraffin-embedded human lung using IRF3 antibody at dilution of 1: 200 (400x lens).
Enlarge Image
Immunofluorescence - Anti-IRF3 Antibody (A35517)
Immunofluorescence analysis of U2OS cell using IRF3 antibody. Blue: DAPI for nuclear staining.
Publishing research using Anti-IRF3 Antibody (A35517)? Please
let us know
so that we can list the citation on this page.
Alternative products to Anti-IRF3 Antibody (A35517)
(6)
A80489
Anti-IRF3 Antibody
Rabbit polyclonal antibody to IRF3 for WB, IHC-P, ICC/IF, IP, ChIP and ELISA.
(10)
A249050
Anti-IRF3 Antibody [PCRP-IRF3-6C8]
Mouse monoclonal [PCRP-IRF3-6C8] antibody to IRF3 for Flow Cytometry, IF and WB.
(10)
A252230
Anti-IRF3 Antibody [PCRP-IRF3-6C8] - BSA and Azide free
Mouse monoclonal [PCRP-IRF3-6C8] antibody to IRF3 for Flow Cytometry, IF and WB.
(2)
A12493
Anti-IRF3 (phospho Ser396) Antibody
Rabbit polyclonal antibody to IRF3 (phospho Ser396) for WB, IHC-P and ELISA.
(5)
A329542
Anti-IRF3 Antibody
Rabbit polyclonal antibody to IRF3 for WB, IHC-P and ELISA.
(4)
A94488
Anti-IRF-3 (phospho Ser385) Antibody
Rabbit polyclonal antibody to IRF-3 (phospho Ser385) for WB, IHC, IF and ELISA.
(3)
A96175
Anti-IRF3 Antibody
Rabbit polyclonal antibody to IRF3 for WB, IHC and ELISA.
(5)
A277870
Anti-IRF3 Antibody [PCRP-IRF3-3B2]
Mouse monoclonal [PCRP-IRF3-3B2] antibody to IRF3 for WB and IF.
(2)
A25568
Anti-IRF-3 (A379) Antibody
Rabbit polyclonal antibody to IRF-3 (A379) for WB, IHC and IF.
(5)
A278458
Anti-IRF3 Antibody [PCRP-IRF3-3B2] - BSA and Azide free
Mouse monoclonal [PCRP-IRF3-3B2] antibody to IRF3 for WB and IF.
(4)
A249049
Anti-IRF3 Antibody [PCRP-IRF3-1E6]
Mouse monoclonal [PCRP-IRF3-1E6] antibody to IRF3 for Flow Cytometry, IF and WB.
(4)
A252229
Anti-IRF3 Antibody [PCRP-IRF3-1E6] - BSA and Azide free
Mouse monoclonal [PCRP-IRF3-1E6] antibody to IRF3 for Flow Cytometry, IF and WB.
(6)
A80489
Anti-IRF3 Antibody
Rabbit polyclonal antibody to IRF3 for WB, IHC-P, ICC/IF, IP, ChIP and ELISA.
(10)
A249050
Anti-IRF3 Antibody [PCRP-IRF3-6C8]
Mouse monoclonal [PCRP-IRF3-6C8] antibody to IRF3 for Flow Cytometry, IF and WB.
(10)
A252230
Anti-IRF3 Antibody [PCRP-IRF3-6C8] - BSA and Azide free
Mouse monoclonal [PCRP-IRF3-6C8] antibody to IRF3 for Flow Cytometry, IF and WB.
(2)
A12493
Anti-IRF3 (phospho Ser396) Antibody
Rabbit polyclonal antibody to IRF3 (phospho Ser396) for WB, IHC-P and ELISA.
(5)
A329542
Anti-IRF3 Antibody
Rabbit polyclonal antibody to IRF3 for WB, IHC-P and ELISA.
(4)
A94488
Anti-IRF-3 (phospho Ser385) Antibody
Rabbit polyclonal antibody to IRF-3 (phospho Ser385) for WB, IHC, IF and ELISA.
(3)
A96175
Anti-IRF3 Antibody
Rabbit polyclonal antibody to IRF3 for WB, IHC and ELISA.
(5)
A277870
Anti-IRF3 Antibody [PCRP-IRF3-3B2]
Mouse monoclonal [PCRP-IRF3-3B2] antibody to IRF3 for WB and IF.
(2)
A25568
Anti-IRF-3 (A379) Antibody
Rabbit polyclonal antibody to IRF-3 (A379) for WB, IHC and IF.
(5)
A278458
Anti-IRF3 Antibody [PCRP-IRF3-3B2] - BSA and Azide free
Mouse monoclonal [PCRP-IRF3-3B2] antibody to IRF3 for WB and IF.
(4)
A249049
Anti-IRF3 Antibody [PCRP-IRF3-1E6]
Mouse monoclonal [PCRP-IRF3-1E6] antibody to IRF3 for Flow Cytometry, IF and WB.
(4)
A252229
Anti-IRF3 Antibody [PCRP-IRF3-1E6] - BSA and Azide free
Mouse monoclonal [PCRP-IRF3-1E6] antibody to IRF3 for Flow Cytometry, IF and WB.
See all IRF3 Antibodies
Proteins predicted to interact with IRF3
Predicted protein interactions based upon String database. Revelancy score correlates with probability of interaction.
IKK epsilon Antibodies
99.9% Relevancy Score
TBK1 Antibodies
99.9% Relevancy Score
IRF7 Antibodies
99.9% Relevancy Score
CBP Antibodies
99.9% Relevancy Score
p300 Antibodies
99.9% Relevancy Score
MAVS Antibodies
99.8% Relevancy Score
c-Jun Antibodies
99.8% Relevancy Score
STING Antibodies
99.4% Relevancy Score
TRIF Antibodies
99.3% Relevancy Score
Top