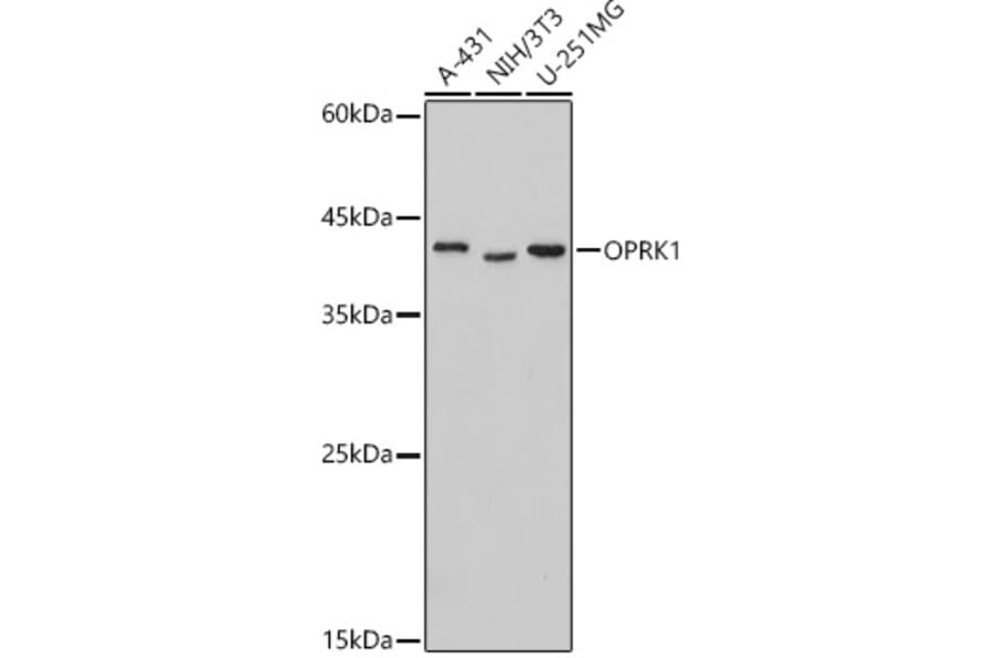
Western Blot - Anti-Kappa Opioid Receptor Antibody (A89716)
Western blot analysis of various lysates, using Anti-Kappa Opioid Receptor Antibody (A89716) at 1:1,000 dilution. The secondary antibody was Goat Anti-Rabbit IgG H&L Antibody (HRP) at 1:10,000 dilution. Lysates/proteins were present at 25µg per lane. The blocking buffer used was 3% non-fat dry milk in TBST. Detection was with a ECL Basic Kit. Exposure time: 180s.
Western Blot - Anti-Kappa Opioid Receptor Antibody (A89716)
Western blot analysis of Rat brain, using Anti-Kappa Opioid Receptor Antibody (A89716) at 1:1,000 dilution. The secondary antibody was Goat Anti-Rabbit IgG H&L Antibody (HRP) at 1:10,000 dilution. Lysates/proteins were present at 25µg per lane. The blocking buffer used was 3% non-fat dry milk in TBST. Detection was with a ECL Basic Kit. Exposure time: 180s.
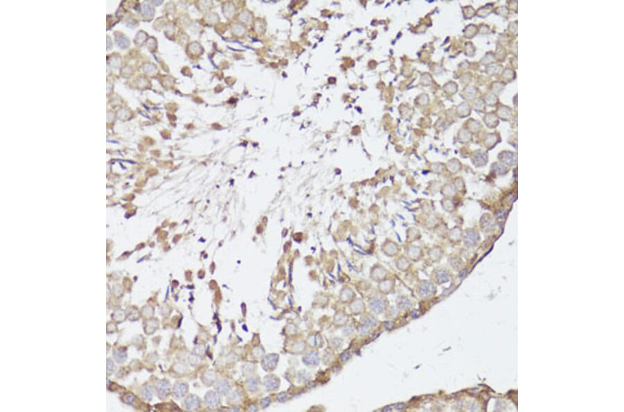
Immunohistochemistry analysis of paraffin-embedded rat testis using Anti-Kappa Opioid Receptor Antibody (A89716) at a dilution of 1:100 (40x lens). Perform microwave antigen retrieval with 10 mM PBS buffer pH 7.2 before commencing with IHC staining protocol.
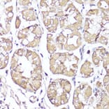
Immunohistochemistry analysis of paraffin-embedded human stomach using Anti-Kappa Opioid Receptor Antibody (A89716) at a dilution of 1:100 (40x lens). Perform microwave antigen retrieval with 10 mM PBS buffer pH 7.2 before commencing with IHC staining protocol.
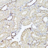
Immunohistochemistry analysis of paraffin-embedded mouse kidney using Anti-Kappa Opioid Receptor Antibody (A89716) at a dilution of 1:100 (40x lens). Perform microwave antigen retrieval with 10 mM PBS buffer pH 7.2 before commencing with IHC staining protocol.
Immunofluorescence analysis of Neuro-2a cells using Anti-Kappa Opioid Receptor Antibody (A89716) at a dilution of 1:50 (40x lens). DAPI was used to stain the cell nuclei (blue).