Primary Antibodies
Secondary Antibodies
Proteins & Peptides
ELISA Kits
About Us
Contact Us
Sign In/Register
0
ISO 9001:2015 Certified
Live Customer Support
4.5/5 on Trustpilot
100% Quality Guarantee
Home
Primary Antibodies
KIF3A Antibodies
Anti-KIF3A Antibody (A37814)
Anti-KIF3A Antibody (A37814)
Overview
Specifications
Images
Enlarge Image
Enlarge Image
$430
Product Datasheet
Rabbit polyclonal antibody to KIF3A for WB and IHC.
100% Guarantee
Price Match Guarantee
Product Size:
100µl
Quantity:
1
2
3
4
5
6
7
8
9
10
Add To Cart
Request a Quotation
Custom or Bulk Request
Shipping Information
Freight/Packing Charges:
$40
Dispatched from St. Louis, MO.
Lead Time: 6-9 business days.
Specifications
Name
Anti-KIF3A Antibody
Description
Rabbit polyclonal antibody to KIF3A
Specificity
The antibody detects endogenous levels of total KIF3A protein.
Applications
WB
,
IHC
Reactivity
Human, Mouse
Immunogen
Fusion protein corresponding to a region derived from internal residues of human kinesin family member 3A
Host
Rabbit
Clonality
Polyclonal
Conjugate
Unconjugated
Purification
Antigen affinity purification.
Concentration
1 mg/mL
Formulation
Supplied in PBS, pH 7.3, containing 0.05% sodium azide and 50% glycerol.
Storage
Shipped at 4°C. Upon delivery aliquot and store at -20°C. Avoid freeze/thaw cycles.
Synonyms
KIF3, Kinesin-like protein KIF3A, Microtubule plus end-directed kinesin motor 3A
Suitable Secondaries
Goat Anti-Rabbit IgG H&L Antibody (AP) (A294874)
Goat Anti-Rabbit IgG H&L Antibody (Biotin) (A294795)
Goat Anti-Rabbit IgG H&L Antibody (FITC) (A294887)
Goat Anti-Rabbit IgG H&L Antibody (HRP) (A294888)
See all Anti-Rabbit IgG Secondaries →
Disclaimer
This product is for research use only. It is not intended for diagnostic or therapeutic use.
Scientific Validation Data
Validation Data
(2)
Enlarge Image
Anti-KIF3A Antibody (A37814)
Gel: 8% SDS-PAGE Lysates (from left to right): Mouse brain and human fetal brain tissue, human brain malignant glioma tissue Amount of lysate: 40ug per lane Primary antibody: 1/500 dilution Secondary antibody dilution: 1/8000 Exposure time: 1 second
Enlarge Image
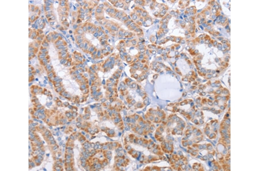
Immunohistochemistry - Anti-KIF3A Antibody (A37814)
Immunohistochemical analysis of paraffin-embedded Human thyroid cancer tissue using #35795 at dilution 1/25.
Publishing research using Anti-KIF3A Antibody (A37814)? Please
let us know
so that we can list the citation on this page.
Alternative products to Anti-KIF3A Antibody (A37814)
(4)
A15313
Anti-KIF3A Antibody
Rabbit polyclonal antibody to KIF3A for WB, IHC, ICC/IF and IP.
(3)
A309246
Anti-KIF3A Antibody [ARC1428]
Rabbit monoclonal [ARC1428] antibody to KIF3A for WB, IHC and ICC/IF.
A31483
Anti-KIF3A Antibody
Rabbit polyclonal antibody to KIF3A for WB, IHC and IF.
(2)
A39838
Anti-KIF3A Antibody
Rabbit polyclonal antibody to KIF3A for WB and ICC/IF.
(4)
A15313
Anti-KIF3A Antibody
Rabbit polyclonal antibody to KIF3A for WB, IHC, ICC/IF and IP.
(3)
A309246
Anti-KIF3A Antibody [ARC1428]
Rabbit monoclonal [ARC1428] antibody to KIF3A for WB, IHC and ICC/IF.
A31483
Anti-KIF3A Antibody
Rabbit polyclonal antibody to KIF3A for WB, IHC and IF.
(2)
A39838
Anti-KIF3A Antibody
Rabbit polyclonal antibody to KIF3A for WB and ICC/IF.
Proteins predicted to interact with KIF3A
Predicted protein interactions based upon String database. Revelancy score correlates with probability of interaction.
KIFAP3 Antibodies
99.9% Relevancy Score
Smoothened Antibodies
99.1% Relevancy Score
IFT88 Antibodies
97.9% Relevancy Score
beta Arrestin 2 Antibodies
95.5% Relevancy Score
beta Arrestin 1 Antibodies
94.9% Relevancy Score
MLK2 Antibodies
87.8% Relevancy Score
SUFU Antibodies
87.5% Relevancy Score
Retinal S Antigen Antibodies
86.7% Relevancy Score
Polycystin 2 Antibodies
85.8% Relevancy Score
Top