The antibody detects endogenous levels of total KLRK1 protein.
Applications
IHC
Reactivity
Human
Immunogen
Synthetic peptide of human KLRK1
Host
Rabbit
Clonality
Polyclonal
Conjugate
Unconjugated
Purification
Antigen affinity purification
Concentration
1.1 mg/mL
Formulation
Rabbit IgG in pH7.4 PBS, 0.05% NaN3, 40% Glycerol.
Storage
Shipped at 4°C. Upon delivery aliquot and store at -20°C. Avoid freeze/thaw cycles.
Synonyms
CD314, D12S2489E, Killer cell lectin-like receptor subfamily K member 1, NK cell receptor D, NKG2-D type II integral membrane protein, NKG2-D-activating NK receptor
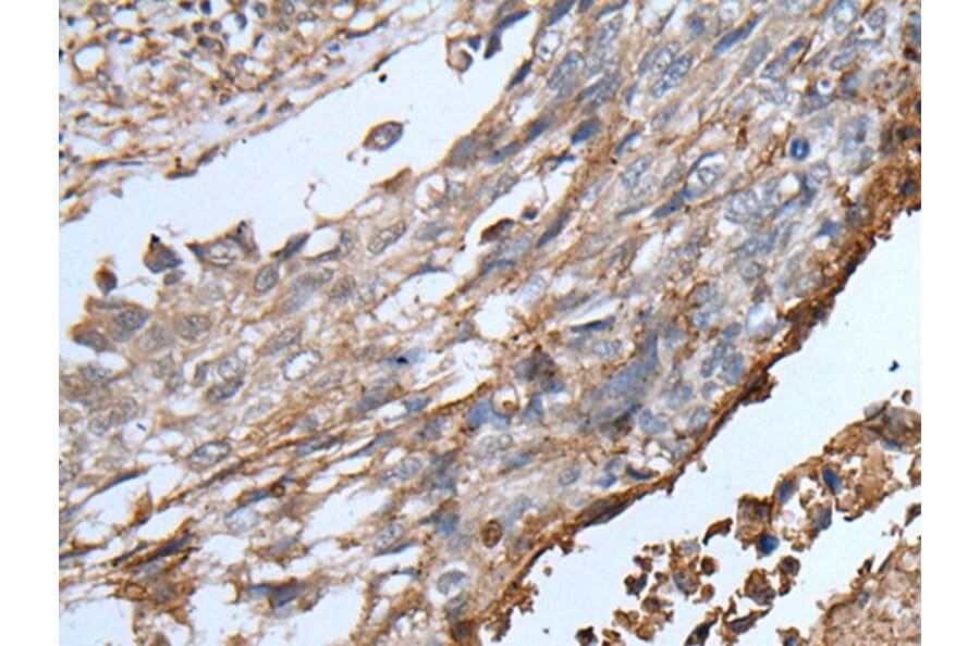
The image on the left is immunohistochemistry of paraffin-embedded Human lung cancer tissue using KLRK1 Antibody at dilution 1/45, on the right is treated with synthetic peptide. (Original magnification: x200)
Publishing research using Anti-KLRK1 Antibody (A46585)? Please let us know so that we can list the citation on this page.
Alternative products to Anti-KLRK1 Antibody (A46585)
Recombinant human monoclonal antibody to NKG2D for use as a research grade A49MI biosimilar for ELISA, Flow Cytometry, Functional Studies and in vivo Research.
Recombinant human monoclonal antibody to NKG2D for use as a research grade CYAD-101 biosimilar for ELISA, Flow Cytometry, Functional Studies and in vivo Research.
Recombinant human monoclonal antibody to NKG2D for use as a research grade CYAD-02 biosimilar for ELISA, Flow Cytometry, Functional Studies and in vivo Research.
Recombinant human monoclonal antibody to NKG2D for use as a research grade CYAD-01 biosimilar for ELISA, Flow Cytometry, Functional Studies and in vivo Research.
Recombinant human monoclonal antibody to NKG2D for use as a research grade CYAD-03 biosimilar for ELISA, Flow Cytometry, Functional Studies and in vivo Research.
Recombinant human monoclonal antibody to NKG2D for use as a research grade Tesnatilimab biosimilar for ELISA, Flow Cytometry, Functional Studies and in vivo Research.
Recombinant human monoclonal antibody to NKG2D for use as a research grade A49MI biosimilar for ELISA, Flow Cytometry, Functional Studies and in vivo Research.
Recombinant human monoclonal antibody to NKG2D for use as a research grade CYAD-101 biosimilar for ELISA, Flow Cytometry, Functional Studies and in vivo Research.
Recombinant human monoclonal antibody to NKG2D for use as a research grade CYAD-02 biosimilar for ELISA, Flow Cytometry, Functional Studies and in vivo Research.
Recombinant human monoclonal antibody to NKG2D for use as a research grade CYAD-01 biosimilar for ELISA, Flow Cytometry, Functional Studies and in vivo Research.
Recombinant human monoclonal antibody to NKG2D for use as a research grade CYAD-03 biosimilar for ELISA, Flow Cytometry, Functional Studies and in vivo Research.
Recombinant human monoclonal antibody to NKG2D for use as a research grade Tesnatilimab biosimilar for ELISA, Flow Cytometry, Functional Studies and in vivo Research.