Primary Antibodies
Secondary Antibodies
Proteins & Peptides
ELISA Kits
About Us
Contact Us
Sign In/Register
0
ISO 9001:2015 Certified
Live Customer Support
4.5/5 on Trustpilot
100% Quality Guarantee
Home
Primary Antibodies
Cytokeratin 14 Antibodies
Anti-KRT14 Antibody (A97436)
Anti-KRT14 Antibody (A97436)
Overview
Specifications
Images
Enlarge Image
Enlarge Image
Enlarge Image
Enlarge Image
$200
Product Datasheet
Rabbit polyclonal antibody to KRT14 for WB, IHC, IF and ELISA.
100% Guarantee
Price Match Guarantee
Product Size:
10µg
100µg
Quantity:
1
2
3
4
5
6
7
8
9
10
Add To Cart
Request a Quotation
Custom or Bulk Request
Shipping Information
Freight/Packing Charges:
$40
Dispatched from St. Louis, MO.
Lead Time: 6-8 business days.
Tags:
Epithelial Cell Marker
Keratinocyte Marker
Specifications
Name
Anti-KRT14 Antibody
Description
Rabbit polyclonal antibody to KRT14.
Applications
WB
,
IHC
,
IF
,
ELISA
Dilutions
WB: 1:500~1:1000, ELISA: 1:10000
Reactivity
Human, Mouse, Rat
Cross Reactivity
No reported cross-reactivity.
Immunogen
Synthetic peptide derived from the C-terminal region of human KRT14 (amino acids 421-470).
Host
Rabbit
Clonality
Polyclonal
Isotype
IgG
Conjugate
Unconjugated
Purification
The antibody was affinity-purified from rabbit antiserum by affinity-chromatography using peptide.
Molecular Weight
51kDa
Product Form
Liquid
Formulation
Supplied in Phosphate Buffered Saline (without Mg2+ and Ca2+), pH 7.4, with 150mM NaCl, 0.02% Sodium Azide, and 50% Glycerol.
Storage
Shipped at 4°C. Upon delivery aliquot and store at -20°C. Avoid freeze / thaw cycles.
Synonyms
CK-14, Cytokeratin-14, K14, Keratin, type I cytoskeletal 14, Keratin-14, KRT14
Isotype Controls
Rabbit IgG (A82272)
Rabbit IgG (A17360)
Suitable Secondaries
Goat Anti-Rabbit IgG H&L Antibody (AP) (A294874)
Goat Anti-Rabbit IgG H&L Antibody (Biotin) (A294795)
Goat Anti-Rabbit IgG H&L Antibody (FITC) (A294887)
Goat Anti-Rabbit IgG H&L Antibody (HRP) (A294888)
See all Anti-Rabbit IgG Secondaries →
Disclaimer
This product is for research use only. It is not intended for diagnostic or therapeutic use.
Scientific Validation Data
Validation Data
(4)
Enlarge Image
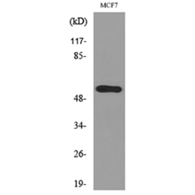
Western Blot - Anti-KRT14 Antibody (A97436)
Western blot analysis of lysate from MCF7 cells using Anti-KRT14 Antibody.
Enlarge Image
Western Blot - Anti-KRT14 Antibody (A97436)
Western blot analysis of MCF7 cells using Anti-KRT14 Antibody.
Enlarge Image
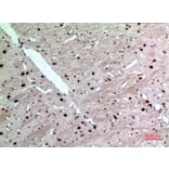
Immunohistochemistry - Anti-KRT14 Antibody (A97436)
Immunohistochemical analysis of paraffin-embedded rat brain using Anti-KRT14 Antibody.
Enlarge Image
Immunohistochemistry - Anti-KRT14 Antibody (A97436)
Immunohistochemical analysis of paraffin-embedded rat brain using Anti-KRT14 Antibody.
Publishing research using Anti-KRT14 Antibody (A97436)? Please
let us know
so that we can list the citation on this page.
Alternative products to Anti-KRT14 Antibody (A97436)
(5)
A252353
Anti-Cytokeratin 14 Antibody [LL002] - BSA and Azide free
Mouse monoclonal [LL002] antibody to Cytokeratin 14 for Flow Cytometry, IF and IHC-P.
(5)
A249175
Anti-Cytokeratin 14 Antibody [KRT14/2375]
Mouse monoclonal [KRT14/2375] antibody to Cytokeratin 14 for Flow Cytometry and IHC-P.
(5)
A252355
Anti-Cytokeratin 14 Antibody [KRT14/2375] - BSA and Azide free
Mouse monoclonal [KRT14/2375] antibody to Cytokeratin 14 for Flow Cytometry and IHC-P.
(5)
A249173
Anti-Cytokeratin 14 Antibody [LL002]
Mouse monoclonal [LL002] antibody to Cytokeratin 14 for Flow Cytometry, IF and IHC-P.
(4)
A90527
Anti-Cytokeratin 14 Antibody
Rabbit polyclonal antibody to Cytokeratin 14 for WB, IHC and ICC/IF.
A280878
Anti-Cytokeratin 14 Antibody [LL002]
Mouse monoclonal [LL002] antibody to Cytokeratin 14 for WB, IHC-P, Flow Cytometry, IHC-Fr and IF.
(4)
A249174
Anti-Cytokeratin 14 Antibody [SPM263]
Mouse monoclonal [SPM263] antibody to Cytokeratin 14 for IF and IHC-P.
(4)
A309051
Anti-Cytokeratin 14 Antibody [ARC0351]
Rabbit monoclonal [ARC0351] antibody to Cytokeratin 14 for WB and IHC.
(4)
A252354
Anti-Cytokeratin 14 Antibody [SPM263] - BSA and Azide free
Mouse monoclonal [SPM263] antibody to Cytokeratin 14 for IF and IHC-P.
(3)
A329306
Anti-Cytokeratin 14 Antibody
Rabbit polyclonal antibody to Cytokeratin 14 for WB, ICC/IF and ELISA.
(2)
A25228
Anti-Cytokeratin 14/16 (S5) Antibody
Rabbit polyclonal antibody to Cytokeratin 14/16 (S5) for WB, IHC and IF.
A115538
Anti-Cytokeratin 14 Antibody [RCK107]
Mouse monoclonal [RCK107] antbody to Cytokeratin 14 for Flow Cytometry, ICC, IHC-Fr and WB.
(5)
A252353
Anti-Cytokeratin 14 Antibody [LL002] - BSA and Azide free
Mouse monoclonal [LL002] antibody to Cytokeratin 14 for Flow Cytometry, IF and IHC-P.
(5)
A249175
Anti-Cytokeratin 14 Antibody [KRT14/2375]
Mouse monoclonal [KRT14/2375] antibody to Cytokeratin 14 for Flow Cytometry and IHC-P.
(5)
A252355
Anti-Cytokeratin 14 Antibody [KRT14/2375] - BSA and Azide free
Mouse monoclonal [KRT14/2375] antibody to Cytokeratin 14 for Flow Cytometry and IHC-P.
(5)
A249173
Anti-Cytokeratin 14 Antibody [LL002]
Mouse monoclonal [LL002] antibody to Cytokeratin 14 for Flow Cytometry, IF and IHC-P.
(4)
A90527
Anti-Cytokeratin 14 Antibody
Rabbit polyclonal antibody to Cytokeratin 14 for WB, IHC and ICC/IF.
A280878
Anti-Cytokeratin 14 Antibody [LL002]
Mouse monoclonal [LL002] antibody to Cytokeratin 14 for WB, IHC-P, Flow Cytometry, IHC-Fr and IF.
(4)
A249174
Anti-Cytokeratin 14 Antibody [SPM263]
Mouse monoclonal [SPM263] antibody to Cytokeratin 14 for IF and IHC-P.
(4)
A309051
Anti-Cytokeratin 14 Antibody [ARC0351]
Rabbit monoclonal [ARC0351] antibody to Cytokeratin 14 for WB and IHC.
(4)
A252354
Anti-Cytokeratin 14 Antibody [SPM263] - BSA and Azide free
Mouse monoclonal [SPM263] antibody to Cytokeratin 14 for IF and IHC-P.
(3)
A329306
Anti-Cytokeratin 14 Antibody
Rabbit polyclonal antibody to Cytokeratin 14 for WB, ICC/IF and ELISA.
(2)
A25228
Anti-Cytokeratin 14/16 (S5) Antibody
Rabbit polyclonal antibody to Cytokeratin 14/16 (S5) for WB, IHC and IF.
A115538
Anti-Cytokeratin 14 Antibody [RCK107]
Mouse monoclonal [RCK107] antbody to Cytokeratin 14 for Flow Cytometry, ICC, IHC-Fr and WB.
See all Cytokeratin 14 Antibodies
Proteins predicted to interact with Cytokeratin 14
Predicted protein interactions based upon String database. Revelancy score correlates with probability of interaction.
Cytokeratin 5 Antibodies
99.9% Relevancy Score
Cytokeratin 16 Antibodies
86.8% Relevancy Score
Plectin Antibodies
84.8% Relevancy Score
Collagen XVII Antibodies
83.9% Relevancy Score
KRT6B Antibodies
83.5% Relevancy Score
Cytokeratin 17 Antibodies
81.4% Relevancy Score
p63 Antibodies
79% Relevancy Score
Desmoglein 3 Antibodies
77.8% Relevancy Score
Plakophilin 1 Antibodies
77.7% Relevancy Score
Top