Primary Antibodies
Secondary Antibodies
Proteins & Peptides
ELISA Kits
About Us
Contact Us
Sign In/Register
0
ISO 9001:2015 Certified
Live Customer Support
4.5/5 on Trustpilot
100% Quality Guarantee
Home
Primary Antibodies
Cytokeratin 20 Antibodies
Anti-KRT20 Antibody (A46486)
Anti-KRT20 Antibody (A46486)
Overview
Specifications
Images
Enlarge Image
Enlarge Image
$430
Rabbit polyclonal antibody to KRT20 for IHC.
100% Guarantee
Price Match Guarantee
Product Size:
100µl
Quantity:
1
2
3
4
5
6
7
8
9
10
Add To Cart
Request a Quotation
Custom or Bulk Request
Shipping Information
Freight/Packing Charges:
$40
Dispatched from St. Louis, MO.
Lead Time: 6-9 business days.
Specifications
Name
Anti-KRT20 Antibody
Description
Rabbit polyclonal antibody to KRT20
Specificity
The antibody detects endogenous levels of total KRT20 protein.
Applications
IHC
Reactivity
Human
Immunogen
Synthetic peptide of human KRT20
Host
Rabbit
Clonality
Polyclonal
Conjugate
Unconjugated
Purification
Antigen affinity purification.
Concentration
2.2 mg/ml
Formulation
Rabbit IgG in pH7.4 PBS, 0.05% NaN3, 40% Glycerol.
Storage
Store at -20˚C
Synonyms
CK-20, Cytokeratin-20, K20, Keratin, type I cytoskeletal 20, Keratin-20, Protein IT
Suitable Secondaries
Goat Anti-Rabbit IgG H&L Antibody (AP) (A294874)
Goat Anti-Rabbit IgG H&L Antibody (Biotin) (A294795)
Goat Anti-Rabbit IgG H&L Antibody (FITC) (A294887)
Goat Anti-Rabbit IgG H&L Antibody (HRP) (A294888)
See all Anti-Rabbit IgG Secondaries →
Disclaimer
This product is for research use only. It is not intended for diagnostic or therapeutic use.
Scientific Validation Data
Validation Data
(2)
Enlarge Image
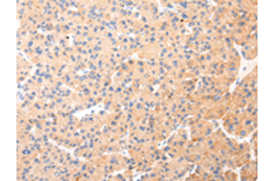
Immunohistochemistry - Anti-KRT20 Antibody (A46486)
Immunohistochemical analysis of paraffin-embedded Human liver cancer tissue using #43218 at dilution 1/35.
Enlarge Image
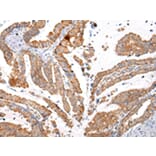
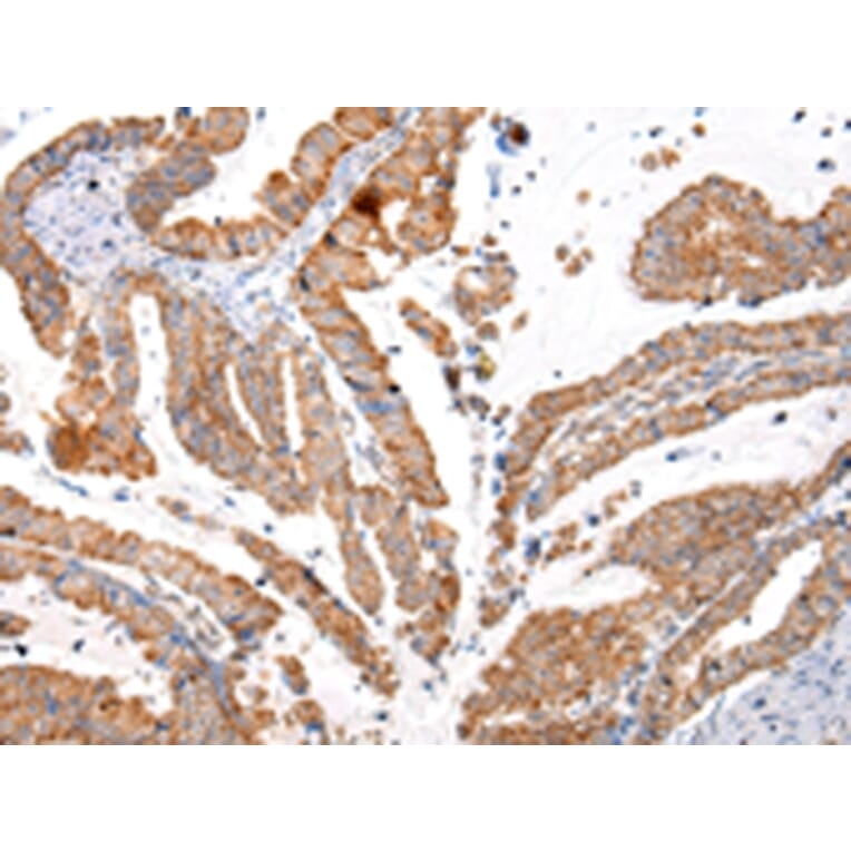
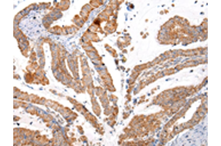
Immunohistochemistry - Anti-KRT20 Antibody (A46486)
Immunohistochemical analysis of paraffin-embedded Human oesophagus cancer tissue using #43218 at dilution 1/35.
Publishing research using Anti-KRT20 Antibody (A46486)? Please
let us know
so that we can list the citation on this page.
Alternative products to Anti-KRT20 Antibody (A46486)
(3)
A28448
Anti-Cytokeratin 20 Antibody
Rabbit polyclonal antibody to Cytokeratin 20 for WB, IHC and IF.
(4)
A35139
Anti-KRT20 Antibody
Rabbit polyclonal antibody to KRT20 for WB, IHC and IF.
(3)
A95068
Anti-Keratin 20 Antibody
Rabbit polyclonal antibody to Keratin 20 for WB, IHC and ELISA.
(5)
A249670
Anti-Cytokeratin 20 Antibody [KRT20/1992]
Mouse monoclonal [KRT20/1992] antibody to Cytokeratin 20 for WB and IHC-P.
(5)
A249672
Anti-Cytokeratin 20 Antibody [KRT20/1993]
Mouse monoclonal [KRT20/1993] antibody to Cytokeratin 20 for WB and IHC-P.
A34557
Anti-Cytokeratin 20 Antibody
Rabbit polyclonal antibody to Cytokeratin 20 for WB, IHC, IF and ELISA.
(5)
A249669
Anti-Cytokeratin 20 Antibody [KRT20/1991]
Mouse monoclonal [KRT20/1991] antibody to Cytokeratin 20 for WB and IHC-P.
(5)
A252849
Anti-Cytokeratin 20 Antibody [KRT20/1991] - BSA and Azide free
Mouse monoclonal [KRT20/1991] antibody to Cytokeratin 20 for WB and IHC-P.
(5)
A252850
Anti-Cytokeratin 20 Antibody [KRT20/1992] - BSA and Azide free
Mouse monoclonal [KRT20/1992] antibody to Cytokeratin 20 for WB and IHC-P.
(5)
A252852
Anti-Cytokeratin 20 Antibody [KRT20/1993] - BSA and Azide free
Mouse monoclonal [KRT20/1993] antibody to Cytokeratin 20 for WB and IHC-P.
(4)
A252854
Anti-Cytokeratin 20 Antibody [KRT20/3145] - BSA and Azide free
Mouse monoclonal [KRT20/3145] antibody to Cytokeratin 20 for WB and IHC-P.
(4)
A249675
Anti-Cytokeratin 20 Antibody [KRT20/3129R]
Recombinant rabbit monoclonal [KRT20/3129R] antibody to Cytokeratin 20 for WB and IHC-P.
(3)
A28448
Anti-Cytokeratin 20 Antibody
Rabbit polyclonal antibody to Cytokeratin 20 for WB, IHC and IF.
(4)
A35139
Anti-KRT20 Antibody
Rabbit polyclonal antibody to KRT20 for WB, IHC and IF.
(3)
A95068
Anti-Keratin 20 Antibody
Rabbit polyclonal antibody to Keratin 20 for WB, IHC and ELISA.
(5)
A249670
Anti-Cytokeratin 20 Antibody [KRT20/1992]
Mouse monoclonal [KRT20/1992] antibody to Cytokeratin 20 for WB and IHC-P.
(5)
A249672
Anti-Cytokeratin 20 Antibody [KRT20/1993]
Mouse monoclonal [KRT20/1993] antibody to Cytokeratin 20 for WB and IHC-P.
A34557
Anti-Cytokeratin 20 Antibody
Rabbit polyclonal antibody to Cytokeratin 20 for WB, IHC, IF and ELISA.
(5)
A249669
Anti-Cytokeratin 20 Antibody [KRT20/1991]
Mouse monoclonal [KRT20/1991] antibody to Cytokeratin 20 for WB and IHC-P.
(5)
A252849
Anti-Cytokeratin 20 Antibody [KRT20/1991] - BSA and Azide free
Mouse monoclonal [KRT20/1991] antibody to Cytokeratin 20 for WB and IHC-P.
(5)
A252850
Anti-Cytokeratin 20 Antibody [KRT20/1992] - BSA and Azide free
Mouse monoclonal [KRT20/1992] antibody to Cytokeratin 20 for WB and IHC-P.
(5)
A252852
Anti-Cytokeratin 20 Antibody [KRT20/1993] - BSA and Azide free
Mouse monoclonal [KRT20/1993] antibody to Cytokeratin 20 for WB and IHC-P.
(4)
A252854
Anti-Cytokeratin 20 Antibody [KRT20/3145] - BSA and Azide free
Mouse monoclonal [KRT20/3145] antibody to Cytokeratin 20 for WB and IHC-P.
(4)
A249675
Anti-Cytokeratin 20 Antibody [KRT20/3129R]
Recombinant rabbit monoclonal [KRT20/3129R] antibody to Cytokeratin 20 for WB and IHC-P.
See all KRT20 Antibodies
Proteins predicted to interact with Cytokeratin 20
Predicted protein interactions based upon String database. Revelancy score correlates with probability of interaction.
CDX2 Antibodies
92.4% Relevancy Score
Synaptophysin Antibodies
87% Relevancy Score
CEA Antibodies
86.9% Relevancy Score
TTF1 Antibodies
84.1% Relevancy Score
GCDFP 15 Antibodies
84% Relevancy Score
Napsin A Antibodies
82.1% Relevancy Score
MUC2 Antibodies
81.1% Relevancy Score
PAX8 Antibodies
79.8% Relevancy Score
Chromogranin A Antibodies
77.6% Relevancy Score
Top