Primary Antibodies
Secondary Antibodies
Proteins & Peptides
ELISA Kits
About Us
Contact Us
Sign In/Register
0
ISO 9001:2015 Certified
Live Customer Support
4.5/5 on Trustpilot
100% Quality Guarantee
Home
Primary Antibodies
Laminin alpha 1 Antibodies
Anti-LAMA1 Antibody (A46097)
Anti-LAMA1 Antibody (A46097)
Overview
Specifications
Images
Enlarge Image
Enlarge Image
$430
Product Datasheet
Rabbit polyclonal antibody to LAMA1 for IHC.
100% Guarantee
Price Match Guarantee
Product Size:
100µl
Quantity:
1
2
3
4
5
6
7
8
9
10
Add To Cart
Request a Quotation
Custom or Bulk Request
Shipping Information
Freight/Packing Charges:
$40
Dispatched from St. Louis, MO.
Lead Time: 6-9 business days.
Specifications
Name
Anti-LAMA1 Antibody
Description
Rabbit polyclonal antibody to LAMA1
Specificity
The antibody detects endogenous levels of total LAMA1 protein.
Applications
IHC
Reactivity
Human
Immunogen
Synthetic peptide corresponding to a region derived from internal residues of human laminin, alpha 1
Host
Rabbit
Clonality
Polyclonal
Conjugate
Unconjugated
Purification
Antigen affinity purification.
Concentration
1 mg/mL
Formulation
Supplied in PBS, pH 7.3, containing 0.05% sodium azide and 50% glycerol.
Storage
Shipped at 4°C. Upon delivery aliquot and store at -20°C. Avoid freeze/thaw cycles.
Synonyms
LAMA, Laminin A chain, Laminin subunit alpha-1, Laminin-1 subunit alpha, Laminin-3 subunit alpha, S-LAM alpha, S-laminin subunit alpha
Suitable Secondaries
Goat Anti-Rabbit IgG H&L Antibody (AP) (A294874)
Goat Anti-Rabbit IgG H&L Antibody (Biotin) (A294795)
Goat Anti-Rabbit IgG H&L Antibody (FITC) (A294887)
Goat Anti-Rabbit IgG H&L Antibody (HRP) (A294888)
See all Anti-Rabbit IgG Secondaries →
Disclaimer
This product is for research use only. It is not intended for diagnostic or therapeutic use.
Scientific Validation Data
Validation Data
(2)
Enlarge Image
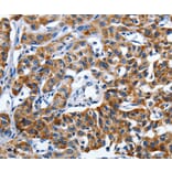
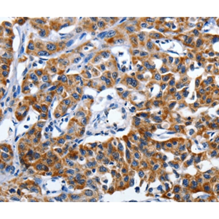
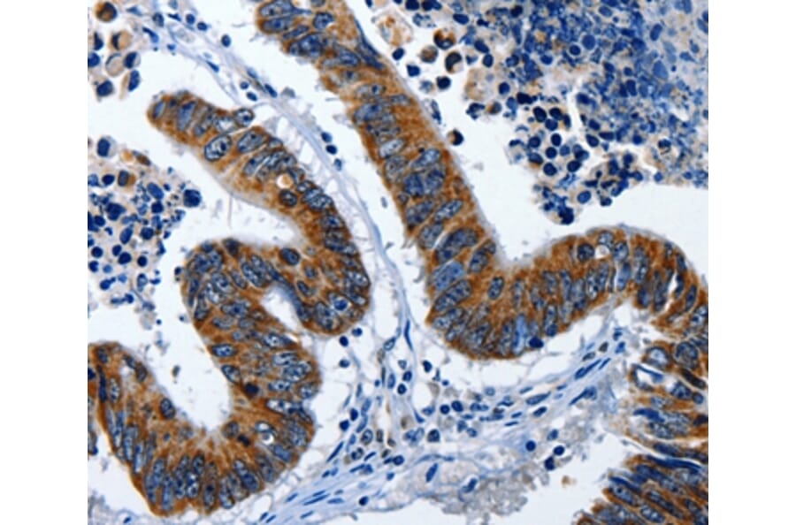
Immunohistochemistry - Anti-LAMA1 Antibody (A46097)
Immunohistochemical analysis of paraffin-embedded Human colon cancer tissue using #36953 at dilution 1/25.
Enlarge Image
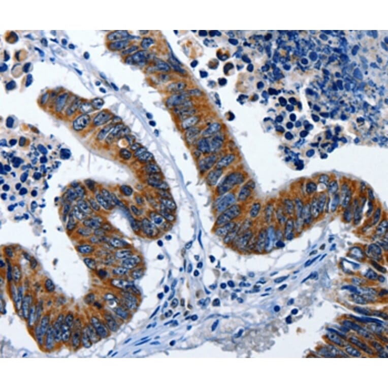
Immunohistochemistry - Anti-LAMA1 Antibody (A46097)
Immunohistochemical analysis of paraffin-embedded Human lung cancer tissue using #36953 at dilution 1/25.
Publishing research using Anti-LAMA1 Antibody (A46097)? Please
let us know
so that we can list the citation on this page.
Alternative products to Anti-LAMA1 Antibody (A46097)
A100997
Anti-LAMA1 Antibody
Rabbit polyclonal antibody to LAMA1 for WB, ELISA and IHC.
A47321
Anti-LAMA1 Antibody
Rabbit polyclonal antibody to LAMA1 for ICC/IF.
A100997
Anti-LAMA1 Antibody
Rabbit polyclonal antibody to LAMA1 for WB, ELISA and IHC.
A47321
Anti-LAMA1 Antibody
Rabbit polyclonal antibody to LAMA1 for ICC/IF.
Proteins predicted to interact with Laminin alpha 1
Predicted protein interactions based upon String database. Revelancy score correlates with probability of interaction.
Laminin beta 1 Antibodies
98.3% Relevancy Score
CD44 Antibodies
94.7% Relevancy Score
Laminin gamma 1 Antibodies
94.4% Relevancy Score
Dystroglycan Antibodies
93.3% Relevancy Score
Laminin alpha 2 Antibodies
92.1% Relevancy Score
Integrin alpha 2 Antibodies
89.1% Relevancy Score
Integrin beta 1 Antibodies
87.9% Relevancy Score
Nidogen 2 Antibodies
87.9% Relevancy Score
Integrin alpha 6 Antibodies
86.3% Relevancy Score
Top