Primary Antibodies
Secondary Antibodies
Proteins & Peptides
ELISA Kits
About Us
Contact Us
Sign In/Register
0
ISO 9001:2015 Certified
Live Customer Support
4.5/5 on Trustpilot
100% Quality Guarantee
Home
Primary Antibodies
Laminin 5 Antibodies
Anti-LAMA3 Antibody (A46096)
Anti-LAMA3 Antibody (A46096)
Overview
Specifications
Images
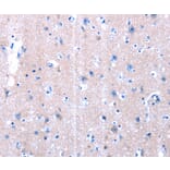
Enlarge Image
$405
Rabbit polyclonal antibody to LAMA3 for IHC.
100% Guarantee
Price Match Guarantee
Product Size:
100µl
Quantity:
1
2
3
4
5
6
7
8
9
10
Add To Cart
Request a Quotation
Custom or Bulk Request
Shipping Information
Freight/Packing Charges:
$40
Dispatched from St. Louis, MO.
Lead Time: 6-9 business days.
Specifications
Name
Anti-LAMA3 Antibody
Description
Rabbit polyclonal antibody to LAMA3
Specificity
The antibody detects endogenous levels of total LAMA3 protein.
Applications
IHC
Reactivity
Human
Immunogen
Synthetic peptide corresponding to a region derived from internal residues of human laminin, alpha 3
Host
Rabbit
Clonality
Polyclonal
Conjugate
Unconjugated
Purification
Antigen affinity purification.
Concentration
0.5mg / ml
Formulation
Rabbit IgG in pH7.3 PBS, 0.05% NaN3, 50% Glycerol.
Storage
Store at -20˚C
Synonyms
E170, Epiligrin 170 kDa subunit, Epiligrin subunit alpha, Kalinin subunit alpha, Laminin subunit alpha-3, Laminin-5 subunit alpha, Laminin-6 subunit alpha, LAMNA
Suitable Secondaries
Goat Anti-Rabbit IgG H&L Antibody (AP) (A294874)
Goat Anti-Rabbit IgG H&L Antibody (Biotin) (A294795)
Goat Anti-Rabbit IgG H&L Antibody (FITC) (A294887)
Goat Anti-Rabbit IgG H&L Antibody (HRP) (A294888)
See all Anti-Rabbit IgG Secondaries →
Disclaimer
This product is for research use only. It is not intended for diagnostic or therapeutic use.
Scientific Validation Data
Validation Data
(1)
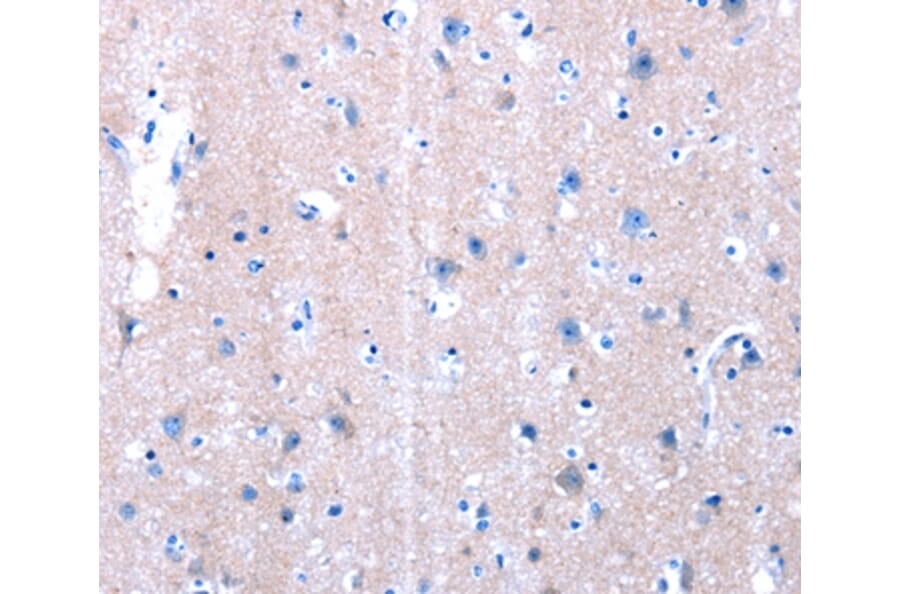
Enlarge Image
Immunohistochemistry - Anti-LAMA3 Antibody (A46096)
Immunohistochemical analysis of paraffin-embedded Human brain tissue using #36945 at dilution 1/10.
Publishing research using Anti-LAMA3 Antibody (A46096)? Please
let us know
so that we can list the citation on this page.
Alternative products to Anti-LAMA3 Antibody (A46096)
(4)
A99632
Anti-LAMC2 Antibody
Rabbit polyclonal antibody to LAMC2 for WB and ELISA.
(2)
A99633
Anti-LAMB3 Antibody
Rabbit polyclonal antibody to LAMB3 for IHC, IF and ELISA.
(4)
A99632
Anti-LAMC2 Antibody
Rabbit polyclonal antibody to LAMC2 for WB and ELISA.
(2)
A99633
Anti-LAMB3 Antibody
Rabbit polyclonal antibody to LAMB3 for IHC, IF and ELISA.
Proteins predicted to interact with Laminin 5
Predicted protein interactions based upon String database. Revelancy score correlates with probability of interaction.
LAMC2 Antibodies
99.8% Relevancy Score
LAMB3 Antibodies
99.8% Relevancy Score
Collagen XVII Antibodies
97.2% Relevancy Score
Integrin beta 4 Antibodies
95.1% Relevancy Score
Laminin beta 1 Antibodies
95% Relevancy Score
CD44 Antibodies
93.8% Relevancy Score
Laminin gamma 1 Antibodies
93.1% Relevancy Score
Integrin alpha 6 Antibodies
93% Relevancy Score
Integrin alpha 3 Antibodies
91.9% Relevancy Score
Top