ISO 9001:2015 Certified
Live Customer Support
4.5/5 on Trustpilot
100% Quality Guarantee

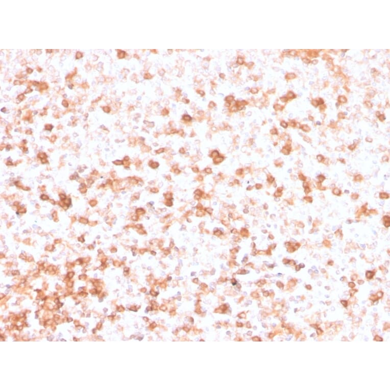
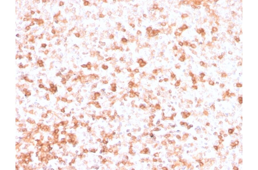
Recombinant Anti-Lambda Light Chain Antibody [rLLC/3777] - BSA and Azide free (A252170)

Recombinant mouse monoclonal [rLLC/3777] antibody to Lambda Light Chain for IHC-P.

Alternative Formats and ConjugatesAlternative Formats

Shipping Information

$40
Dispatched from St. Louis, MO.
Lead Time: 5-8 business days.
Name
Anti-Lambda Light Chain Antibody [rLLC/3777] - BSA and Azide free
Description
Recombinant mouse monoclonal [rLLC/3777] antibody to Lambda Light Chain.
Specificity
This antibody is specific to lambda light chain of immunoglobulin and shows no cross-reaction with lambda light chain or any of the five heavy chains. In mammals, the two light chains in an antibody are always identical, with only one type of light chain, kappa or lambda. The ratio of Kappa to Lambda is 70:30. However, with the occurrence of multiple myeloma or other B-cell malignancies this ratio is disturbed. Antibody to the lambda light chain is reportedly useful in the identification of leukemias, plasmacytomas, and certain non-Hodgkins lymphomas. Demonstration of clonality in lymphoid infiltrates indicates that the infiltrate is malignant.
Applications
IHC-P
Dilutions
IHC-P: 1-2 µg/ml
Reactivity
Human
Immunogen
Recombinant full-length human IGL protein.
Host
Mouse
Clonality
Monoclonal
Clone ID
rLLC/3777
Isotype
IgG1
Light Chains
kappa
Conjugate

Unconjugated

Purification
Protein A/G chromatography.
Concentration
1 mg/ml
Molecular Weight
~22.5 kDa
Product Form
Liquid
Formulation
Supplied in 10mM Phosphate Buffered Saline; without Sodium Azide and carrier free.
Storage
Shipped at 4°C. Upon delivery aliquot and store at -20°C. Avoid freeze / thaw cycles.
General Notes
This monoclonal antibody is also available in a different formulation with BSA and Sodium Azide - Anti-Lambda Light Chain Antibody [rLLC/3777] (A248990).
Synonyms
Ig lambda chain V-I region BL2, Ig lambda chain V-I region EPS, Ig lambda chain V-I region NEW, Ig lambda chain V-I region NIG-64, IGLV1-51, Immunoglobulin lambda variable 1-51
Disclaimer
This product is for research use only. It is not intended for diagnostic or therapeutic use.
Publishing research using Recombinant Anti-Lambda Light Chain Antibody [rLLC/3777] - BSA and Azide free (A252170)? Please let us know so that we can list the citation on this page.

Alternative products to Anti-Lambda Light Chain Antibody [rLLC/3777] - BSA and Azide free (A252170)