ISO 9001:2015 Certified
Live Customer Support
4.5/5 on Trustpilot
100% Quality Guarantee

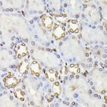
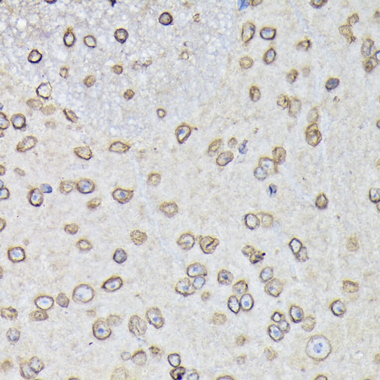
Anti-Lamin B1 Antibody (A92627)

This product is discontinued

Anti-Lamin B1 Antibody (A92627) has been discontinued and is no longer available.

View all Lamin B1 Antibodies.

Name
Anti-Lamin B1 Antibody
Description
Rabbit polyclonal antibody to Lamin B1.
Applications
WB, IHC, ICC/IF
Dilutions
WB: 1:500-1:2,000, IHC: 1:50-1:200, ICC/IF: 1:50-1:200
Reactivity
Human, Mouse, Rat
Immunogen
Recombinant fusion protein containing a sequence corresponding to amino acids 397-586 of human Lamin B1 (NP_005564.1).
Sequence
RVTVSRASSSRSVRTTRGKRKRVDVEESEASSSVSISHSASATGNVCIEEIDVDGKFIRLKNTSEQDQPMGGWEMIRKIGDTSVSYKYTSRYVLKAGQTVTIWAANAGVTASPPTDLIWKNQNSWGTGEDVKVILKNSQGEEVAQRSTVFKTTIPEEEEEEEEAAGVVVEEELFHQQGTPRASNRSCAIM
Host
Rabbit
Clonality
Polyclonal
Isotype
IgG
Conjugate

Unconjugated

Purification
Affinity purification.
Molecular Weight
68 kDa
Product Form
Liquid
Formulation
Supplied in Phosphate Buffered Saline, pH 7.3, with 50% Glycerol and 0.01% Thiomersal.
Storage
Shipped at 4°C. Upon delivery aliquot and store at -20°C. Avoid freeze / thaw cycles.
Synonyms
Lamin-B1, LMN2, LMNB, LMNB1
Disclaimer
This product is for research use only. It is not intended for diagnostic or therapeutic use.

Most popular Anti-Lamin B1 Antibodies

Alternative products to Anti-Lamin B1 Antibody (A92627)

Proteins predicted to interact with Lamin B1

Predicted protein interactions based upon String database. Revelancy score correlates with probability of interaction.
99.9% Relevancy Score
99.9% Relevancy Score
99.6% Relevancy Score
99.4% Relevancy Score
98.1% Relevancy Score
95.7% Relevancy Score
94.4% Relevancy Score
92.7% Relevancy Score
92.2% Relevancy Score