ISO 9001:2015 Certified
Live Customer Support
4.5/5 on Trustpilot
100% Quality Guarantee

Anti-Laminin gamma 1 Antibody [LAMC1/3162] - BSA and Azide free (A278459)

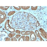
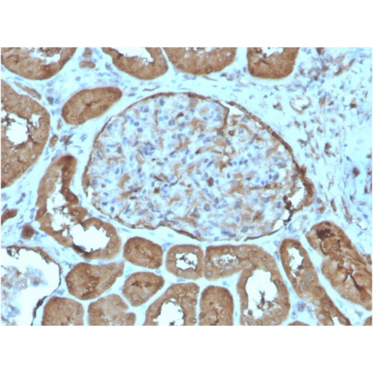
Mouse monoclonal [LAMC1/3162] antibody to Laminin gamma 1 for IHC-P.

Alternative Formats and ConjugatesAlternative Formats

Shipping Information

$40
Dispatched from St. Louis, MO.
Lead Time: 5-8 business days.
Name
Anti-Laminin gamma 1 Antibody [LAMC1/3162] - BSA and Azide free
Description
Mouse monoclonal [LAMC1/3162] antibody to Laminin gamma 1.
Specificity
Laminins are large hetero-trimeric, non-collagenous glycoproteins composed of alpha, beta, and gamma chains. This MAb reacts with laminin B2/1 chain of ~210kDa and does not cross-react with other basement membrane components or fibronectin. Its specificity was established by immunoprecipitation and immunofluorescence of human skeletal muscle and kidney with laminin chain-specific MAbs. Epithelial sheets in vivo are separated from the mesenchymal elements of the stroma by a thin layer of a specialized type of extracellular matrix termed the basement membrane (BM). This structure consists of individual components, some of which are ubiquitous in BMs and some are not. The ubiquitous ones comprise laminin (LN), entactin/nidogen (EN), collagen type IV (CIV), and large heparan sulfate proteoglycan (HSPG), which interact specifically with each other to form a continuous and regular BM. Alterations of BM integrity, from local discontinuities up to complete loss, are described in many types of human and animal epithelial neoplasms. This MAb stains uniformly all human and murine basement membranes.
Applications
IHC-P
Dilutions
IHC-P: 1-2 µg/ml
Reactivity
Human
Immunogen
Murine EHS laminin preparation.
Host
Mouse
Clonality
Monoclonal
Clone ID
LAMC1/3162
Isotype
IgG1
Light Chains
kappa
Conjugate

Unconjugated

Purification
Protein A/G chromatography.
Concentration
1 mg/ml
Molecular Weight
210 kDa
Product Form
Liquid
Formulation
Supplied in 10mM Phosphate Buffered Saline; without Sodium Azide and carrier free.
Storage
Shipped at 4°C. Upon delivery aliquot and store at -20°C. Avoid freeze / thaw cycles.
General Notes
This monoclonal antibody is also available in a different formulation with BSA and Sodium Azide - Anti-Laminin gamma 1 Antibody [LAMC1/3162] (A277871).
Synonyms
LAMB2, LAMC1, Laminin B2 chain, Laminin subunit gamma-1, Laminin-1 subunit gamma, Laminin-10 subunit gamma, Laminin-11 subunit gamma, Laminin-2 subunit gamma
Disclaimer
This product is for research use only. It is not intended for diagnostic or therapeutic use.
Publishing research using Anti-Laminin gamma 1 Antibody [LAMC1/3162] - BSA and Azide free (A278459)? Please let us know so that we can list the citation on this page.

Alternative products to Anti-Laminin gamma 1 Antibody [LAMC1/3162] - BSA and Azide free (A278459)

Proteins predicted to interact with Laminin gamma 1

Predicted protein interactions based upon String database. Revelancy score correlates with probability of interaction.
99.9% Relevancy Score
99.7% Relevancy Score
98.4% Relevancy Score
98.2% Relevancy Score
98.1% Relevancy Score
98% Relevancy Score
97.9% Relevancy Score
94.4% Relevancy Score
93.1% Relevancy Score