ISO 9001:2015 Certified
Live Customer Support
4.5/5 on Trustpilot
100% Quality Guarantee

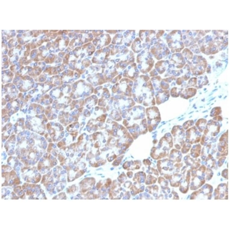
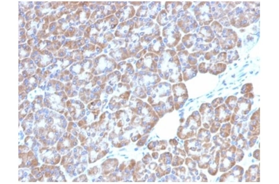
Anti-LMO2 Antibody [LMO2/1972] - BSA and Azide free (A278280)

Mouse monoclonal [LMO2/1972] antibody to LMO2 for IHC-P.

Alternative Formats and ConjugatesAlternative Formats

Shipping Information

$40
Dispatched from St. Louis, MO.
Lead Time: 5-8 business days.
Name
Anti-LMO2 Antibody [LMO2/1972] - BSA and Azide free
Description
Mouse monoclonal [LMO2/1972] antibody to LMO2.
Specificity
The LMO2 protein has a central and crucial role in hematopoietic development and is highly conserved. It has a particular function in normal and lymphatic endothelial cells involving the regulation of angiogenesis and lymph-angiogenesis. Immunohistochemical studies have also demonstrated expression of LMO2 in both normal germinal center B-cells and germinal center-derived B-cell lymphomas, including follicular lymphoma and diffuse large B-cell lymphoma.The use of anti-LMO2 is valuable as a tool in the identification of lymphomas of B-cell origin.LMO2 is useful in differentiating follicular lymphoma (LMO2+) from nodal marginal zone lymphoma (LM02-). It also is positive in Hodgkin s and Burkitt s lymphomas.
Applications
IHC-P
Dilutions
IHC-P: 1-2 µg/ml
Reactivity
Human
Immunogen
Recombinant fragment, around amino acids 23-140, of human LM02. The exact sequence is proprietary.
Host
Mouse
Clonality
Monoclonal
Clone ID
LMO2/1972
Isotype
IgG2b
Light Chains
kappa
Conjugate

Unconjugated

Purification
Protein A/G chromatography.
Concentration
1 mg/ml
Molecular Weight
24 kDa
Product Form
Liquid
Formulation
Supplied in 10mM Phosphate Buffered Saline; without Sodium Azide and carrier free.
Storage
Shipped at 4°C. Upon delivery aliquot and store at -20°C. Avoid freeze / thaw cycles.
General Notes
This monoclonal antibody is also available in a different formulation with BSA and Sodium Azide - Anti-LMO2 Antibody [LMO2/1972] (A277692).
Synonyms
Cysteine-rich protein TTG-2, LIM domain only protein 2, LMO-2, RBTN2, RBTNL1, RHOM2, Rhombotin-2, T-cell translocation protein 2, TTG2
Disclaimer
This product is for research use only. It is not intended for diagnostic or therapeutic use.
Publishing research using Anti-LMO2 Antibody [LMO2/1972] - BSA and Azide free (A278280)? Please let us know so that we can list the citation on this page.

Alternative products to Anti-LMO2 Antibody [LMO2/1972] - BSA and Azide free (A278280)

Proteins predicted to interact with LMO2

Predicted protein interactions based upon String database. Revelancy score correlates with probability of interaction.
99.9% Relevancy Score
99.9% Relevancy Score
99.9% Relevancy Score
99.8% Relevancy Score
99.8% Relevancy Score
99.7% Relevancy Score
99.6% Relevancy Score
98.8% Relevancy Score
97.8% Relevancy Score