ISO 9001:2015 Certified
Live Customer Support
4.5/5 on Trustpilot
100% Quality Guarantee

Anti-Macrophage + Granulocyte Antibody [BM-2] - BSA and Azide free (A254111)

Mouse monoclonal [BM-2] antibody to Macrophage + Granulocyte for Flow Cytometry, IF and IHC-P.

Alternative Formats and ConjugatesAlternative Formats

Shipping Information

$40
Dispatched from St. Louis, MO.
Lead Time: 5-8 business days.
Name
Anti-Macrophage + Granulocyte Antibody [BM-2] - BSA and Azide free
Description
Mouse monoclonal [BM-2] antibody to Macrophage + Granulocyte.
Specificity
This antibody recognizes a 183 kDa protein with DNA-binding characteristics, which is identified as a myeloid specific antigen. It reacts with myeloid precursor cells and granulocytes in bone marrow. Its antigen appears to be restricted to M2 and M3 acute myelogenous leukemia (AML) subtypes. This antibody reacts with early precursor and mature forms of human myeloid cells. It is useful in the identification of myelogenous leukemias, distinguishing granulocytic sarcomas from lymphoid malignancies, and also in the study of differentiation and transformation of human myeloid cells. The biological function of this antigen is not clear, although it has been proposed that it may play a role in the differentiation of myeloid cells.
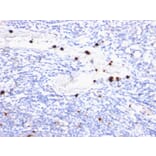
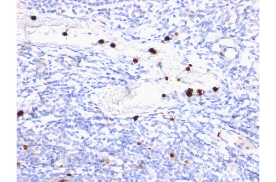
Applications
Flow Cytometry, IF, IHC-P
Dilutions
Flow Cytometry: 1-2 µg/million cells, IF: 1-2 µg/ml, IHC-P: 1-2 µg/ml
Reactivity
Human
Immunogen
Nuclei from pokeweed mitogen stimulated human peripheral blood lymphocytes.
Host
Mouse
Clonality
Monoclonal
Clone ID
BM-2
Isotype
IgG1
Light Chains
kappa
Conjugate

Unconjugated

Purification
Protein A/G chromatography.
Concentration
1 mg/ml
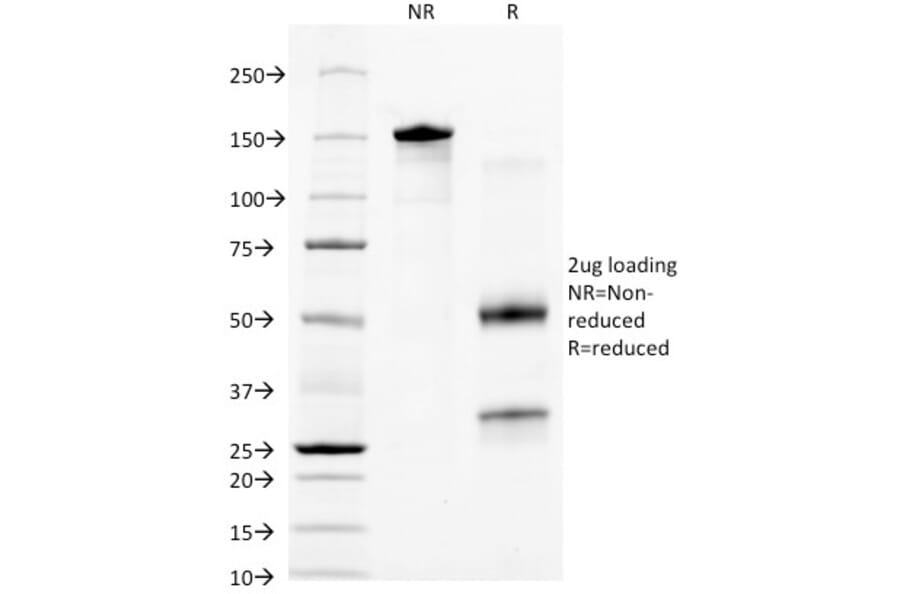
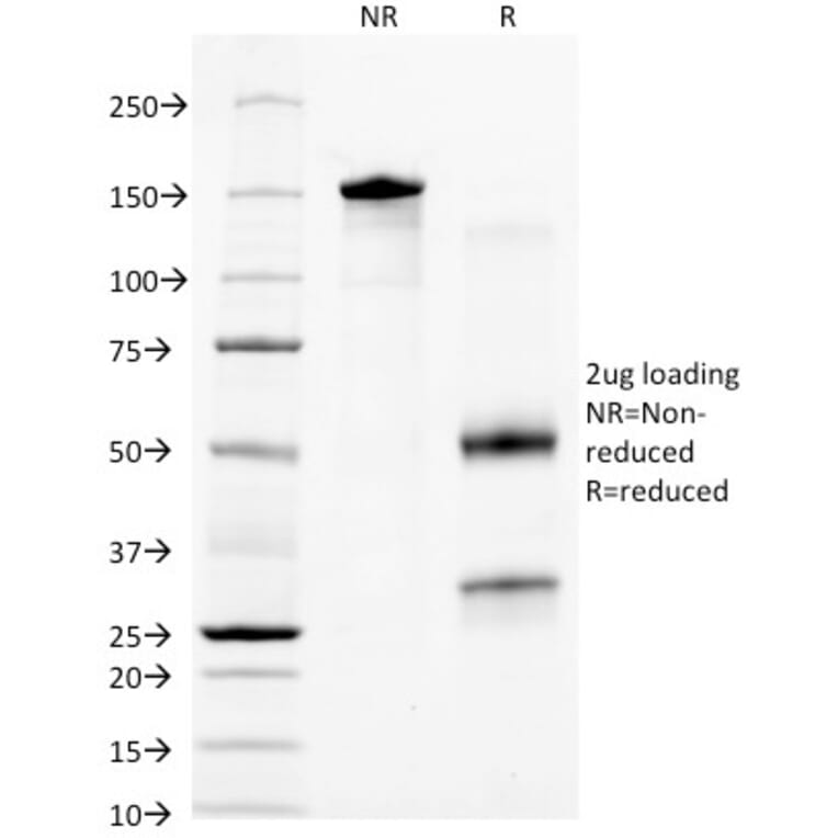
Molecular Weight
183 kDa
Product Form
Liquid
Formulation
Supplied in 10mM Phosphate Buffered Saline; without Sodium Azide and carrier free.
Storage
Shipped at 4°C. Upon delivery aliquot and store at -20°C. Avoid freeze / thaw cycles.
General Notes
This monoclonal antibody is also available in a different formulation with BSA and Sodium Azide - Anti-Macrophage + Granulocyte Antibody [BM-2] (A250931).
Disclaimer
This product is for research use only. It is not intended for diagnostic or therapeutic use.
Publishing research using Anti-Macrophage + Granulocyte Antibody [BM-2] - BSA and Azide free (A254111)? Please let us know so that we can list the citation on this page.

Alternative products to Anti-Macrophage + Granulocyte Antibody [BM-2] - BSA and Azide free (A254111)