ISO 9001:2015 Certified
Live Customer Support
4.5/5 on Trustpilot
100% Quality Guarantee

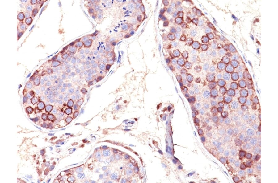
Anti-MAGE 1 Antibody [SPM282] - BSA and Azide free (A252455)

Mouse monoclonal [SPM282] antibody to MAGE 1 for Flow Cytometry, IF and IHC-P.

Alternative Formats and ConjugatesAlternative Formats

Shipping Information

$40
Dispatched from St. Louis, MO.
Lead Time: 5-8 business days.
Name
Anti-MAGE 1 Antibody [SPM282] - BSA and Azide free
Description
Mouse monoclonal [SPM282] antibody to MAGE 1.
Specificity
This antibody recognizes a protein of 42-46kDa, identified as MAGE-1. This MAb does not cross-react with MAGE-2, -3, -4, -6 -9, -10, -or -12 protein. Human malignant neoplasms carry rejection antigens that are recognized by the patients' autologous, tumor directed and specific, cytolytic, CD8+ T lymphocyte clones (CTL). The MAGE family of genes codes an important group of antigens. It was identified that melanomas and primary glial brain tumors express common melanoma associated antigens (MAAs). Because MAGE-1 is expressed on a significant proportion of human neoplasms of various histological types (melanoma, brain tumors of glial origin, neuroblastoma, non-small cell lung cancer, breast, gastric, colorectal, ovarian, renal cell carcinomas) and not on normal tissues, the encoded antigen may serve as a marker of early detection and target for cancer immunotherapy.
Applications
Flow Cytometry, IF, IHC-P
Dilutions
Flow Cytometry: 1-2 µg/million cells, IF: 1-2 µg/ml, IHC-P: 1-2 µg/ml
Reactivity
Human, Rat, Canine
Immunogen
Recombinant full-length human MAGE-A1 protein.
Host
Mouse
Clonality
Monoclonal
Clone ID
SPM282
Isotype
IgG1
Light Chains
kappa
Conjugate

Unconjugated

Purification
Protein A/G chromatography.
Concentration
1 mg/ml
Molecular Weight
42-46 kDa
Product Form
Liquid
Formulation
Supplied in 10mM Phosphate Buffered Saline; without Sodium Azide and carrier free.
Storage
Shipped at 4°C. Upon delivery aliquot and store at -20°C. Avoid freeze / thaw cycles.
General Notes
This monoclonal antibody is also available in a different formulation with BSA and Sodium Azide - Anti-MAGE 1 Antibody [SPM282] (A249275).
Synonyms
Antigen MZ2 E, Antigen MZ2-E, Cancer/testis antigen 1.1, cancer/testis antigen family 1, member 1, CT1.1, MAGA1_HUMAN, MAGE 1 antigen, MAGE-1 antigen, MAGE1, MAGE1A, MAGEA1, Melanoma antigen 1, Melanoma antigen family A 1, Melanoma antigen family A 1 (directs expression of antigen MZ2 E), Melanoma antigen MAGE 1, Melanoma associated antigen 1, Melanoma associated antigen MZ2 E, Melanoma-associated antigen 1, MGC9326
Disclaimer
This product is for research use only. It is not intended for diagnostic or therapeutic use.
Publishing research using Anti-MAGE 1 Antibody [SPM282] - BSA and Azide free (A252455)? Please let us know so that we can list the citation on this page.

Alternative products to Anti-MAGE 1 Antibody [SPM282] - BSA and Azide free (A252455)