ISO 9001:2015 Certified
Live Customer Support
4.5/5 on Trustpilot
100% Quality Guarantee

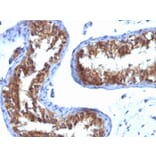
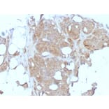
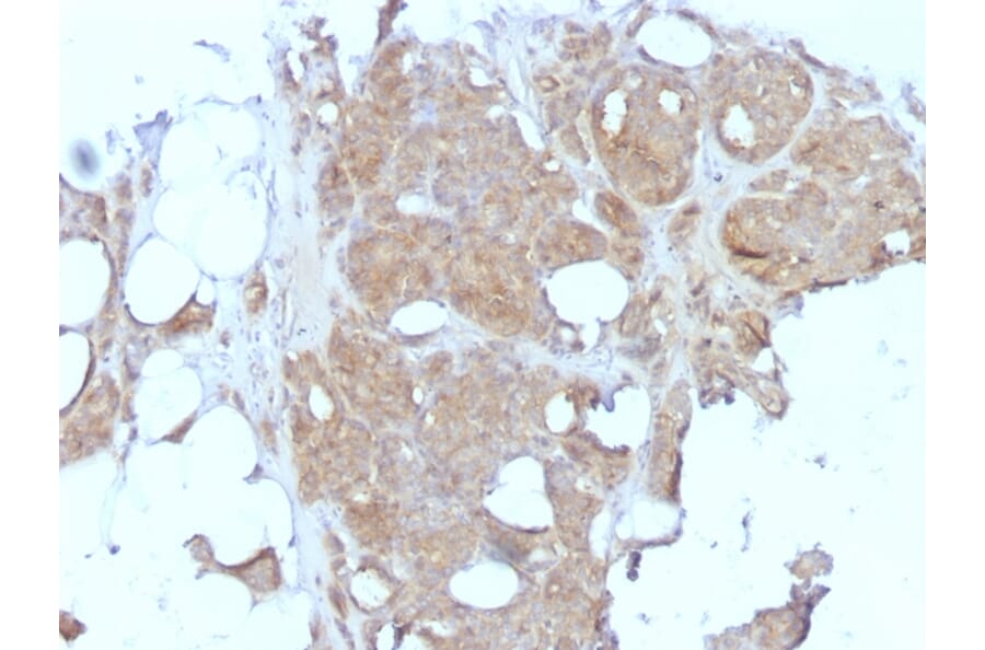
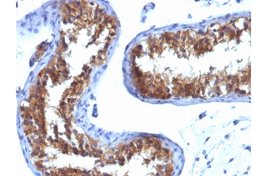
Anti-Major Vault Protein Antibody [1032] - BSA and Azide free (A253995)

Mouse monoclonal [1032] antibody to Major Vault Protein for Flow Cytometry, IF and IHC-P.

Alternative Formats and ConjugatesAlternative Formats

Shipping Information

$40
Dispatched from St. Louis, MO.
Lead Time: 5-8 business days.
Name
Anti-Major Vault Protein Antibody [1032] - BSA and Azide free
Description
Mouse monoclonal [1032] antibody to Major Vault Protein.
Specificity
This antibody recognizes a protein of 104kDa-110kDa, characterized as major vault protein (MVP). Vaults are large ribonucleoprotein particles (RNPs) present in all eukaryotic cells. They have a complex morphology, including several small molecules of RNA, but a single protein species. The MVP accounts for 70% of their mass. Their shape is reminiscent of the nucleopore central plug. Treatment of cells with estradiol increases the amount of MVP in nuclear extract. The hormone-dependent interaction of vaults with ER is prevented in vitro by sodium molybdate. Antibodies to estrogen, progesterone and glucocorticoid receptors are able to co-immunoprecipitate the MVP. MVP is overexpressed in many neoplastic tissues and cell lines. Expression of MVP predicts a poor response to chemotherapy.
Applications
Flow Cytometry, IF, IHC-P
Dilutions
Flow Cytometry: 1-2 µg/million cells, IF: 1-2 µg/ml, IHC-P: 1-2 µg/ml
Reactivity
Human
Immunogen
Proteins precipitated from human breast cancer MCF-7 cells.
Host
Mouse
Clonality
Monoclonal
Clone ID
1032
Isotype
IgG1
Light Chains
kappa
Conjugate

Unconjugated

Purification
Protein A/G chromatography.
Concentration
1 mg/ml
Molecular Weight
104-110 kDa
Product Form
Liquid
Formulation
Supplied in 10mM Phosphate Buffered Saline; without Sodium Azide and carrier free.
Storage
Shipped at 4°C. Upon delivery aliquot and store at -20°C. Avoid freeze / thaw cycles.
General Notes
This monoclonal antibody is also available in a different formulation with BSA and Sodium Azide - Anti-Major Vault Protein Antibody [1032] (A250815).
Synonyms
LRP, Lung resistance-related protein
Disclaimer
This product is for research use only. It is not intended for diagnostic or therapeutic use.
Publishing research using Anti-Major Vault Protein Antibody [1032] - BSA and Azide free (A253995)? Please let us know so that we can list the citation on this page.

Alternative products to Anti-Major Vault Protein Antibody [1032] - BSA and Azide free (A253995)

Proteins predicted to interact with MVP

Predicted protein interactions based upon String database. Revelancy score correlates with probability of interaction.
99.9% Relevancy Score
99.8% Relevancy Score
78.6% Relevancy Score
77% Relevancy Score
76% Relevancy Score
72.4% Relevancy Score
70.2% Relevancy Score
60.3% Relevancy Score