Primary Antibodies
Secondary Antibodies
Proteins & Peptides
ELISA Kits
About Us
Contact Us
Sign In/Register
0
ISO 9001:2015 Certified
Live Customer Support
4.5/5 on Trustpilot
100% Quality Guarantee
Home
Primary Antibodies
MVP Antibodies
Anti-MVP Antibody (A39082)
Anti-MVP Antibody (A39082)
Overview
Specifications
Images
Enlarge Image
Enlarge Image
$415
Product Datasheet
Rabbit polyclonal antibody to MVP for WB and IHC.
100% Guarantee
Price Match Guarantee
Product Size:
50µl
100µl
Quantity:
1
2
3
4
5
6
7
8
9
10
Add To Cart
Request a Quotation
Custom or Bulk Request
Shipping Information
Freight/Packing Charges:
$40
Dispatched from St. Louis, MO.
Lead Time: 6-9 business days.
Specifications
Name
Anti-MVP Antibody
Description
Rabbit polyclonal antibody to MVP
Specificity
The antibody detects endogenous level of total MVP protein.
Applications
WB
,
IHC
Reactivity
Human, Mouse, Rat
Immunogen
Recombinant protein of human MVP.
Host
Rabbit
Clonality
Polyclonal
Conjugate
Unconjugated
Purification
Antibodies were purified by affinity purification using immunogen.
Concentration
1.0 mg/mL
Formulation
Supplied in phosphate-buffered saline (without Mg²? and Ca²?), pH 7.4, containing 150 mM NaCl, 0.02% sodium azide, and 50% glycerol.
Storage
Shipped at 4°C. Upon delivery aliquot and store at -20°C. Avoid freeze/thaw cycles.
Synonyms
LRP, Lung resistance-related protein, Major vault protein
Suitable Secondaries
Goat Anti-Rabbit IgG H&L Antibody (AP) (A294874)
Goat Anti-Rabbit IgG H&L Antibody (Biotin) (A294795)
Goat Anti-Rabbit IgG H&L Antibody (FITC) (A294887)
Goat Anti-Rabbit IgG H&L Antibody (HRP) (A294888)
See all Anti-Rabbit IgG Secondaries →
Disclaimer
This product is for research use only. It is not intended for diagnostic or therapeutic use.
Scientific Validation Data
Validation Data
(2)
Enlarge Image
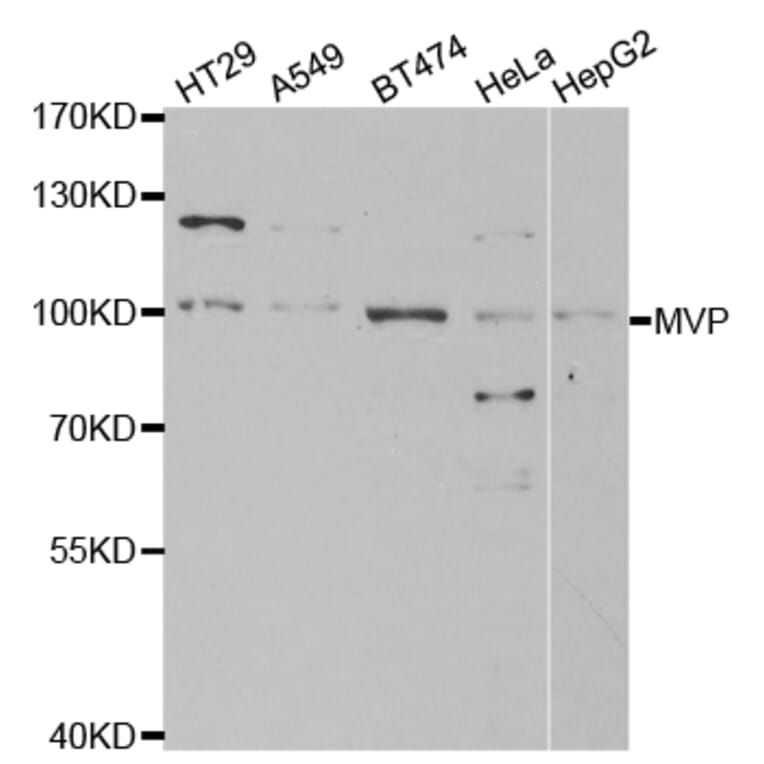
Anti-MVP Antibody (A39082)
Western blot analysis of extracts of various cell lines, using MVP antibody.
Enlarge Image
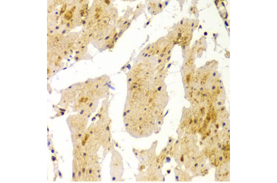
Immunohistochemistry - Anti-MVP Antibody (A39082)
Immunohistochemistry of paraffin-embedded Human oesophageal using MVP antibody at dilution of 1: 100 (x400 lens).
Publishing research using Anti-MVP Antibody (A39082)? Please
let us know
so that we can list the citation on this page.
Alternative products to Anti-MVP Antibody (A39082)
(3)
A34805
Anti-LRP (MVP) Antibody
Rabbit polyclonal antibody to LRP (MVP) for WB, IHC and ICC/IF.
(2)
A253995
Anti-Major Vault Protein Antibody [1032] - BSA and Azide free
Mouse monoclonal [1032] antibody to Major Vault Protein for Flow Cytometry, IF and IHC-P.
(3)
A253994
Anti-Major Vault Protein Antibody [1014] - BSA and Azide free
Mouse monoclonal [1014] antibody to Major Vault Protein for Flow Cytometry and IF.
A347283
Anti-MVP Antibody [24GB465]
Recombinant rabbit monoclonal [24GB465] antibody to MVP for WB, Flow Cytometry and ICC/IF.
A347284
Anti-MVP Antibody [24GB11040]
Recombinant rabbit monoclonal [24GB11040] antibody to MVP for WB, Flow Cytometry and ICC/IF.
(2)
A307056
Anti-MVP Antibody [ARC1855]
Rabbit monoclonal [ARC1855] antibody to MVP for WB.
A30540
Anti-MVP Antibody
Rabbit polyclonal antibody to MVP for WB and IHC.
(2)
A250815
Anti-Major Vault Protein Antibody [1032]
Mouse monoclonal [1032] antibody to Major Vault Protein for Flow Cytometry, IF and IHC-P.
(3)
A250814
Anti-Major Vault Protein Antibody [1014]
Mouse monoclonal [1014] antibody to Major Vault Protein for Flow Cytometry and IF.
A253996
Anti-Major Vault Protein Antibody [SPM280] - BSA and Azide free
Mouse monoclonal [SPM280] antibody to Major Vault Protein for Flow Cytometry, IF and IHC-P.
A250816
Anti-Major Vault Protein Antibody [SPM280]
Mouse monoclonal [SPM280] antibody to Major Vault Protein for Flow Cytometry, IF and IHC-P.
(2)
A253997
Anti-Major Vault Protein Antibody [VP2897R] - BSA and Azide free
Recombinant rabbit monoclonal [VP2897R] antibody to Major Vault Protein for IHC-P.
(3)
A34805
Anti-LRP (MVP) Antibody
Rabbit polyclonal antibody to LRP (MVP) for WB, IHC and ICC/IF.
(2)
A253995
Anti-Major Vault Protein Antibody [1032] - BSA and Azide free
Mouse monoclonal [1032] antibody to Major Vault Protein for Flow Cytometry, IF and IHC-P.
(3)
A253994
Anti-Major Vault Protein Antibody [1014] - BSA and Azide free
Mouse monoclonal [1014] antibody to Major Vault Protein for Flow Cytometry and IF.
A347283
Anti-MVP Antibody [24GB465]
Recombinant rabbit monoclonal [24GB465] antibody to MVP for WB, Flow Cytometry and ICC/IF.
A347284
Anti-MVP Antibody [24GB11040]
Recombinant rabbit monoclonal [24GB11040] antibody to MVP for WB, Flow Cytometry and ICC/IF.
(2)
A307056
Anti-MVP Antibody [ARC1855]
Rabbit monoclonal [ARC1855] antibody to MVP for WB.
A30540
Anti-MVP Antibody
Rabbit polyclonal antibody to MVP for WB and IHC.
(2)
A250815
Anti-Major Vault Protein Antibody [1032]
Mouse monoclonal [1032] antibody to Major Vault Protein for Flow Cytometry, IF and IHC-P.
(3)
A250814
Anti-Major Vault Protein Antibody [1014]
Mouse monoclonal [1014] antibody to Major Vault Protein for Flow Cytometry and IF.
A253996
Anti-Major Vault Protein Antibody [SPM280] - BSA and Azide free
Mouse monoclonal [SPM280] antibody to Major Vault Protein for Flow Cytometry, IF and IHC-P.
A250816
Anti-Major Vault Protein Antibody [SPM280]
Mouse monoclonal [SPM280] antibody to Major Vault Protein for Flow Cytometry, IF and IHC-P.
(2)
A253997
Anti-Major Vault Protein Antibody [VP2897R] - BSA and Azide free
Recombinant rabbit monoclonal [VP2897R] antibody to Major Vault Protein for IHC-P.
See all MVP Antibodies
Proteins predicted to interact with MVP
Predicted protein interactions based upon String database. Revelancy score correlates with probability of interaction.
PARP4 Antibodies
99.9% Relevancy Score
TEP1 Antibodies
99.8% Relevancy Score
PTEN Antibodies
78.6% Relevancy Score
PARP1 Antibodies
77% Relevancy Score
P Glycoprotein Antibodies
76% Relevancy Score
MYD88 Antibodies
72.4% Relevancy Score
MRP1 Antibodies
70.2% Relevancy Score
Estrogen Receptor alpha Antibodies
66.7% Relevancy Score
COP1 Antibodies
60.3% Relevancy Score
Top