ISO 9001:2015 Certified
Live Customer Support
4.5/5 on Trustpilot
100% Quality Guarantee

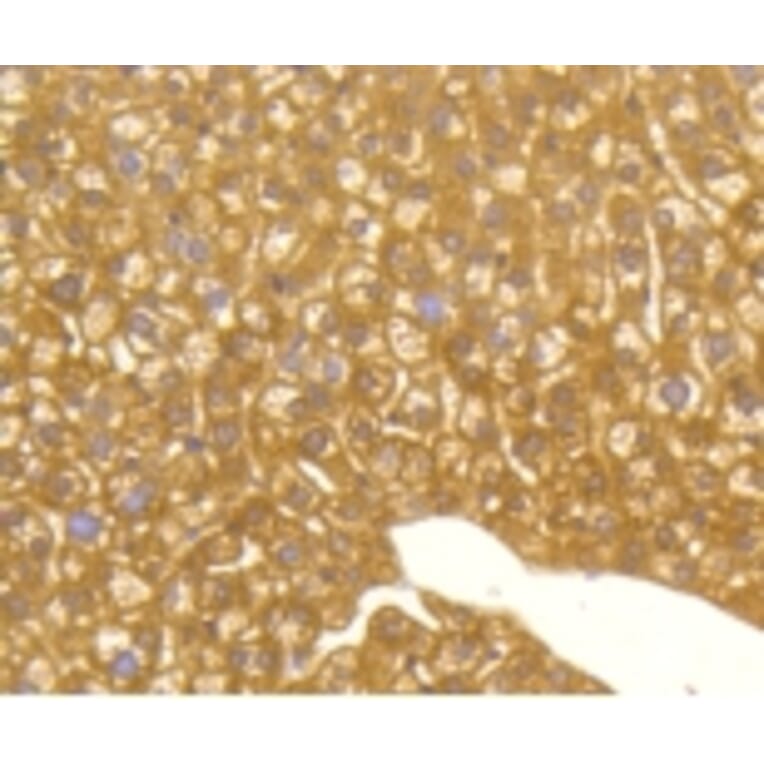
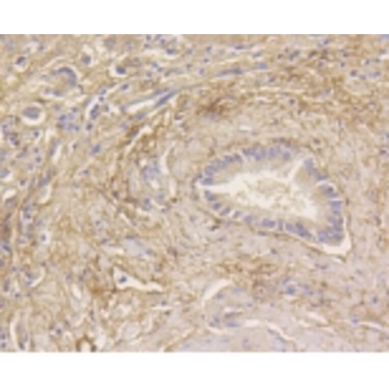
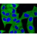
Anti-MAP1LC3A Antibody (A32376)

$455

Rabbit monoclonal antibody to MAP1LC3A for WB, ICC/IF, IHC and FC.

Shipping Information

$40
Dispatched from St. Louis, MO.
Lead Time: 7-10 business days.
Name
Anti-MAP1LC3A Antibody
Description
Rabbit monoclonal antibody to MAP1LC3A
Specificity
This antibody detects endogenous levels of MAP1LC3A and does not cross-react with related proteins.
Applications
WB, ICC/IF, IHC, FC
Reactivity
Human, Mouse, Rat
Immunogen
Recombinant antibody.
Host
Rabbit
Clonality
Monoclonal
Conjugate

Unconjugated

Molecular Weight
~ 14 kDa
Purity
Protein A affinity purified
Product Form
Recombinant Rabbit Monoclonal Antibody. 1*TBS (pH7.4), 1%BSA, 40%Glycerol. Preservative: 0.05% Sodium Azide.
Synonyms
Autophagy-related protein LC3 A, Autophagy-related ubiquitin-like modifier LC3 A, MAP1 light chain 3-like protein 1, MAP1A/MAP1B LC3 A, MAP1A/MAP1B light chain 3 A, Microtubule-associated protein 1 light chain 3 alpha, Microtubule-associated proteins 1A/1B light chain 3A
Disclaimer
This product is for research use only. It is not intended for diagnostic or therapeutic use.
Publishing research using Anti-MAP1LC3A Antibody (A32376)? Please let us know so that we can list the citation on this page.

Alternative products to Anti-MAP1LC3A Antibody (A32376)

Proteins predicted to interact with LC3A

Predicted protein interactions based upon String database. Revelancy score correlates with probability of interaction.
99.9% Relevancy Score
99.8% Relevancy Score
99.7% Relevancy Score
99.3% Relevancy Score
98.9% Relevancy Score
98.7% Relevancy Score
98% Relevancy Score
97.7% Relevancy Score
97% Relevancy Score