Primary Antibodies
Secondary Antibodies
Proteins & Peptides
ELISA Kits
About Us
Contact Us
Sign In/Register
0
ISO 9001:2015 Certified
Live Customer Support
4.5/5 on Trustpilot
100% Quality Guarantee
Home
Primary Antibodies
TAK1 Antibodies
Anti-MAP3K7 Antibody (A45652)
Anti-MAP3K7 Antibody (A45652)
Overview
Specifications
Images
Enlarge Image
Enlarge Image
$430
Product Datasheet
Rabbit polyclonal antibody to MAP3K7 for IHC.
100% Guarantee
Price Match Guarantee
Product Size:
100µl
Quantity:
1
2
3
4
5
6
7
8
9
10
Add To Cart
Request a Quotation
Custom or Bulk Request
Shipping Information
Freight/Packing Charges:
$40
Dispatched from St. Louis, MO.
Lead Time: 6-9 business days.
Specifications
Name
Anti-MAP3K7 Antibody
Description
Rabbit polyclonal antibody to MAP3K7
Specificity
The antibody detects endogenous levels of total MAP3K7 protein.
Applications
IHC
Reactivity
Human
Immunogen
Fusion protein of human MAP3K7
Host
Rabbit
Clonality
Polyclonal
Conjugate
Unconjugated
Purification
Antigen affinity purification.
Concentration
1 mg/mL
Formulation
Rabbit IgG in pH7.4 PBS, 0.05% NaN3, 40% Glycerol.
Storage
Shipped at 4°C. Upon delivery aliquot and store at -20°C. Avoid freeze/thaw cycles.
Synonyms
Mitogen-activated protein kinase kinase kinase 7, TGF-beta-activated kinase 1, Transforming growth factor-beta-activated kinase 1
Suitable Secondaries
Goat Anti-Rabbit IgG H&L Antibody (AP) (A294874)
Goat Anti-Rabbit IgG H&L Antibody (Biotin) (A294795)
Goat Anti-Rabbit IgG H&L Antibody (FITC) (A294887)
Goat Anti-Rabbit IgG H&L Antibody (HRP) (A294888)
See all Anti-Rabbit IgG Secondaries →
Disclaimer
This product is for research use only. It is not intended for diagnostic or therapeutic use.
Scientific Validation Data
Validation Data
(2)
Enlarge Image
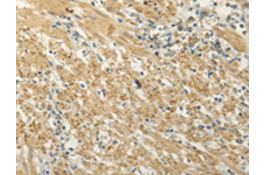
Immunohistochemistry - Anti-MAP3K7 Antibody (A45652)
Immunohistochemical analysis of paraffin-embedded Human oesophagus cancer tissue using #42772 at dilution 1/20.
Enlarge Image
Immunohistochemistry - Anti-MAP3K7 Antibody (A45652)
Immunohistochemical analysis of paraffin-embedded Human gastric cancer tissue using #42772 at dilution 1/20.
Publishing research using Anti-MAP3K7 Antibody (A45652)? Please
let us know
so that we can list the citation on this page.
Alternative products to Anti-MAP3K7 Antibody (A45652)
(7)
A95621
Anti-MAP3K7 Antibody
Rabbit polyclonal antibody to MAP3K7 for WB, IHC and ELISA.
(6)
A90981
Anti-TAK1 Antibody
Rabbit polyclonal antibody to TAK1 for WB, IHC and ICC/IF.
(3)
A83207
Anti-TAK1 Antibody
Goat polyclonal antibody to TAK1 for ELISA, WB and Flow Cytometry.
(3)
A93967
Anti-MAP3K7 (phospho Ser439) Antibody
Rabbit polyclonal antibody to MAP3K7 (phospho Ser439) for WB, IHC and ELISA.
(2)
A16432
Anti-TAK1 (phospho Ser412) Antibody
Rabbit polyclonal antibody to TAK1 (phospho Ser412) for WB.
A50312
Anti-Tak1 (Phospho-Ser439) Antibody
Rabbit polyclonal antibody to Tak1 (Phospho-Ser439) for ELISA, WB and IHC.
(2)
A93668
Anti-MAP3K7 (phospho Thr187) Antibody
Rabbit polyclonal antibody to MAP3K7 (phospho Thr187) for WB and ELISA.
A94011
Anti-TAK1 (phospho Thr184) Antibody
Rabbit polyclonal antibody to TAK1 (phospho Thr184) for WB and ELISA.
A36044
Anti-Tak1 Antibody
Rabbit polyclonal antibody to Tak1 for ELISA, WB and IHC.
A50302
Anti-Tak1 (Phospho-Thr187) Antibody
Rabbit polyclonal antibody to Tak1 (Phospho-Thr187) for ELISA, WB and IHC.
A348611
Anti-TAK1 Antibody [23GB2395]
Recombinant rabbit monoclonal [23GB2395] antibody to TAK1 for WB, Flow Cytometry and ICC/IF.
A348612
Anti-TAK1 Antibody [24GB10880]
Recombinant rabbit monoclonal [24GB10880] antibody to TAK1 for WB, Flow Cytometry and ICC/IF.
(7)
A95621
Anti-MAP3K7 Antibody
Rabbit polyclonal antibody to MAP3K7 for WB, IHC and ELISA.
(6)
A90981
Anti-TAK1 Antibody
Rabbit polyclonal antibody to TAK1 for WB, IHC and ICC/IF.
(3)
A83207
Anti-TAK1 Antibody
Goat polyclonal antibody to TAK1 for ELISA, WB and Flow Cytometry.
(3)
A93967
Anti-MAP3K7 (phospho Ser439) Antibody
Rabbit polyclonal antibody to MAP3K7 (phospho Ser439) for WB, IHC and ELISA.
(2)
A16432
Anti-TAK1 (phospho Ser412) Antibody
Rabbit polyclonal antibody to TAK1 (phospho Ser412) for WB.
A50312
Anti-Tak1 (Phospho-Ser439) Antibody
Rabbit polyclonal antibody to Tak1 (Phospho-Ser439) for ELISA, WB and IHC.
(2)
A93668
Anti-MAP3K7 (phospho Thr187) Antibody
Rabbit polyclonal antibody to MAP3K7 (phospho Thr187) for WB and ELISA.
A94011
Anti-TAK1 (phospho Thr184) Antibody
Rabbit polyclonal antibody to TAK1 (phospho Thr184) for WB and ELISA.
A36044
Anti-Tak1 Antibody
Rabbit polyclonal antibody to Tak1 for ELISA, WB and IHC.
A50302
Anti-Tak1 (Phospho-Thr187) Antibody
Rabbit polyclonal antibody to Tak1 (Phospho-Thr187) for ELISA, WB and IHC.
A348611
Anti-TAK1 Antibody [23GB2395]
Recombinant rabbit monoclonal [23GB2395] antibody to TAK1 for WB, Flow Cytometry and ICC/IF.
A348612
Anti-TAK1 Antibody [24GB10880]
Recombinant rabbit monoclonal [24GB10880] antibody to TAK1 for WB, Flow Cytometry and ICC/IF.
See all MAP3K7 Antibodies
Proteins predicted to interact with TAK1
Predicted protein interactions based upon String database. Revelancy score correlates with probability of interaction.
TNFR1 Antibodies
99.9% Relevancy Score
IKK gamma Antibodies
99.9% Relevancy Score
MYD88 Antibodies
99.9% Relevancy Score
TAB3 Antibodies
99.9% Relevancy Score
TAB2 Antibodies
99.9% Relevancy Score
TRAF6 Antibodies
99.9% Relevancy Score
TNF alpha Antibodies
99.9% Relevancy Score
TAB1 Antibodies
99.9% Relevancy Score
MKK4 Antibodies
99.8% Relevancy Score
Top