Anti-Maspin Antibody [SERPINB5/4975] - BSA and Azide free
Description
Mouse monoclonal [SERPINB5/4975] antibody to Maspin.
Specificity
Maspin is structurally a serine protease inhibitor (serpin) that was initially isolated from normal human mammary epithelial cells. Serpins are a family of proteins that inhibit Chymotrypsin-like serine proteinases. Serpins control activated proteinases and several are involved in the regulation of cell death. Maspin is found in the extracellular matrix and at the plasma membrane. Maspin has been shown to act at the cell surface to block cell motility and inhibit invasion of breast and prostate cancer cells. Maspin is present in normal mammary epithelial cells but is absent in many tumor cell lines, yet no major structural alterations of the Maspin gene have been identified in tumor cells. Similarly, Maspin is expressed in normal prostate cells and downregulated or absent in prostate tumor cells.
Applications
WB, IHC-P
Dilutions
WB: 1-2 µg/ml, IHC-P: 1-2 µg/ml
Reactivity
Human
Immunogen
Recombinant fragment, around amino acids 1-200, of human Maspin protein. The exact sequence is proprietary.
Host
Mouse
Clonality
Monoclonal
Clone ID
SERPINB5/4975
Isotype
IgG1
Light Chains
kappa
Conjugate
Unconjugated
Purification
Protein A/G chromatography.
Concentration
1 mg/ml
Molecular Weight
42 kDa
Product Form
Liquid
Formulation
Supplied in 10mM Phosphate Buffered Saline; without Sodium Azide and carrier free.
Storage
Shipped at 4°C. Upon delivery aliquot and store at -20°C. Avoid freeze / thaw cycles.
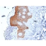
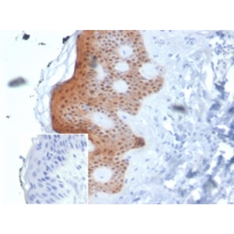
Immunohistochemical analysis of formalin-fixed, paraffin-embedded human skin tissue using Anti-Maspin Antibody [SERPINB5/4975]. Inset: PBS instead of the primary antibody. Secondary antibody negative control.
Anti-Maspin Antibody [SERPINB5/4975] - BSA and Azide free (A278333)
Analysis of protein array containing more than 19,000 full-length human proteins using Anti-Maspin Antibody [SERPINB5/4975]. Z-Score and S- Score: The Z-score represents the strength of a signal that a monoclonal antibody (MAb) (in combination with a fluorescently-tagged anti-IgG secondary antibody) produces when binding to a particular protein on the HuProtTM array. Z-scores are described in units of standard deviations (SD's) above the mean value of all signals generated on that array. If targets on HuProtTM are arranged in descending order of the Z-score, the S-score is the difference (also in units of SD's) between the Z-score. S-score therefore represents the relative target specificity of a MAb to its intended target; a MAb is considered to be specific to its intended target, if the MAb has an S-score of at least 2.5. For example, if a MAb binds to protein X with a Z-score of 43 and to protein Y with a Z-score of 14, then the S-score for the binding of that MAb to protein X is equal to 29.
Publishing research using Anti-Maspin Antibody [SERPINB5/4975] - BSA and Azide free (A278333)? Please let us know so that we can list the citation on this page.
Alternative products to Anti-Maspin Antibody [SERPINB5/4975] - BSA and Azide free (A278333)