ISO 9001:2015 Certified
Live Customer Support
4.5/5 on Trustpilot
100% Quality Guarantee

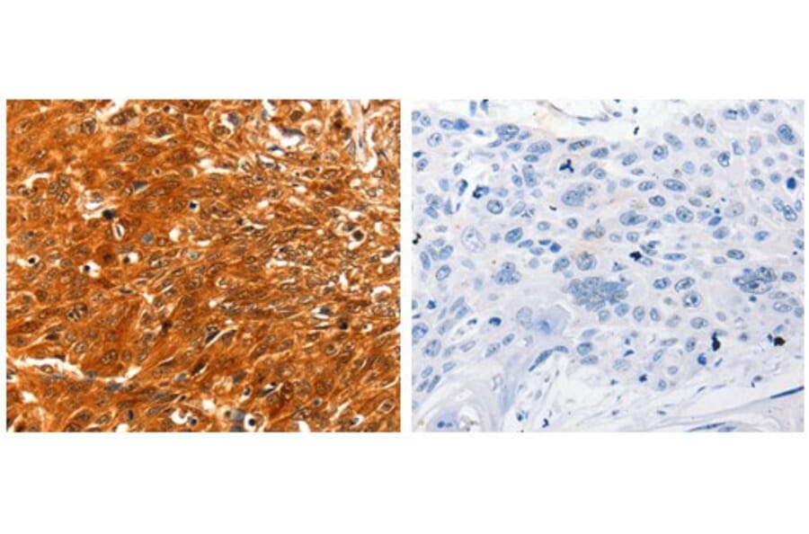
Anti-SERPINB5 Antibody (A47436)

Rabbit polyclonal antibody to SERPINB5 for ELISA, WB and IHC.

Shipping Information

$40
Dispatched from St. Louis, MO.
Lead Time: 6-9 business days.
Name
Anti-SERPINB5 Antibody
Description
Rabbit polyclonal antibody to SERPINB5
Specificity
The antibody detects endogenous level of total SERPINB5 protein.
Applications
ELISA, WB, IHC
Reactivity
Human, Mouse
Immunogen
Full length fusion protein
Host
Rabbit
Clonality
Polyclonal
Conjugate

Unconjugated

Formulation
Supplied in phosphate-buffered saline (without Mg²? and Ca²?), pH 7.3, containing 150 mM NaCl, 0.05% sodium azide, and 50% glycerol.
Storage
Shipped at 4°C. Upon delivery aliquot and store at -20°C. Avoid freeze/thaw cycles.
Synonyms
Peptidase inhibitor 5, PI-5, PI5, Serpin B5
Disclaimer
This product is for research use only. It is not intended for diagnostic or therapeutic use.
Publishing research using Anti-SERPINB5 Antibody (A47436)? Please let us know so that we can list the citation on this page.

Alternative products to Anti-SERPINB5 Antibody (A47436)

Proteins predicted to interact with Maspin

Predicted protein interactions based upon String database. Revelancy score correlates with probability of interaction.
81.4% Relevancy Score
77.9% Relevancy Score
70.9% Relevancy Score
64.8% Relevancy Score
63.2% Relevancy Score
62.7% Relevancy Score
61.9% Relevancy Score
61.8% Relevancy Score
61.2% Relevancy Score