ISO 9001:2015 Certified
Live Customer Support
4.5/5 on Trustpilot
100% Quality Guarantee

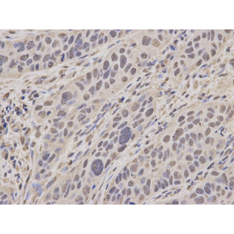
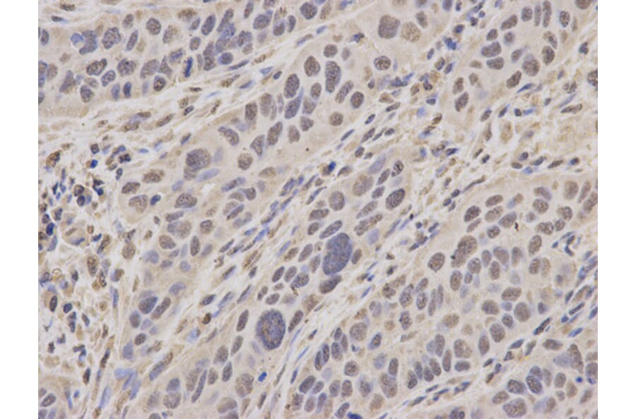
Anti-MCM3 Antibody (A29136)

$435

Rabbit polyclonal antibody to MCM3 for WB, IHC and IF.

Shipping Information

$40
Dispatched from St. Louis, MO.
Lead Time: 7-10 business days.
Name
Anti-MCM3 Antibody
Description
Rabbit polyclonal antibody to MCM3
Specificity
MCM3 pAb detects endogenous levels of MCM3 protein.
Applications
WB, IHC, IF
Reactivity
Human, Mouse, Rat
Immunogen
Recombinant full length Human MCM3.
Host
Rabbit
Clonality
Polyclonal
Conjugate

Unconjugated

Molecular Weight
~ 90 kDa
Purity
The antibody was affinity-purified from rabbit antiserum by affinity-chromatography using epitope-specific immunogen and the purity is > 95% (by SDS-PAGE).
Product Form
1mg/ml in PBS with 0.1% Sodium Azide, 50% Glycerol.
Synonyms
DNA polymerase alpha holoenzyme-associated protein P1, DNA replication licensing factor MCM3, P1-MCM3, p102, RLF subunit beta
Disclaimer
This product is for research use only. It is not intended for diagnostic or therapeutic use.
Publishing research using Anti-MCM3 Antibody (A29136)? Please let us know so that we can list the citation on this page.

Alternative products to Anti-MCM3 Antibody (A29136)

Proteins predicted to interact with MCM3

Predicted protein interactions based upon String database. Revelancy score correlates with probability of interaction.
99.9% Relevancy Score
99.9% Relevancy Score
99.9% Relevancy Score
99.9% Relevancy Score
99.9% Relevancy Score
99.9% Relevancy Score
99.9% Relevancy Score
99.9% Relevancy Score