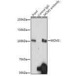
Western Blot - Anti-MCM3 Antibody [ARC0607] (A306905)
Western blot analysis of extracts of various cell lines, using Anti-MCM3 Antibody [ARC0607] (A306905) at 1:1,000 dilution. The secondary antibody was Goat Anti-Rabbit IgG H&L Antibody (HRP) at 1:10,000 dilution. Lysates/proteins were present at 25µg per lane. The blocking buffer used was 3% non-fat dry milk in TBST. Detection was with a ECL Basic Kit. Exposure time: 10s.
Western Blot - Anti-MCM3 Antibody [ARC0607] (A306905)
Western blot analysis of extracts of Mouse spleen, using Anti-MCM3 Antibody [ARC0607] (A306905) at 1:1,000 dilution. The secondary antibody was Goat Anti-Rabbit IgG H&L Antibody (HRP) at 1:10,000 dilution. Lysates/proteins were present at 25µg per lane. The blocking buffer used was 3% non-fat dry milk in TBST. Detection was with a ECL Enhanced Kit (RM00021). Exposure time: 3min.
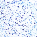
Immunohistochemistry analysis of paraffin-embedded human liver cancer using Anti-MCM3 Antibody [ARC0607] (A306905) at a dilution of 1:100 (40x lens). Perform microwave antigen retrieval with 10 mM PBS buffer pH 7.2 before commencing with IHC staining protocol.
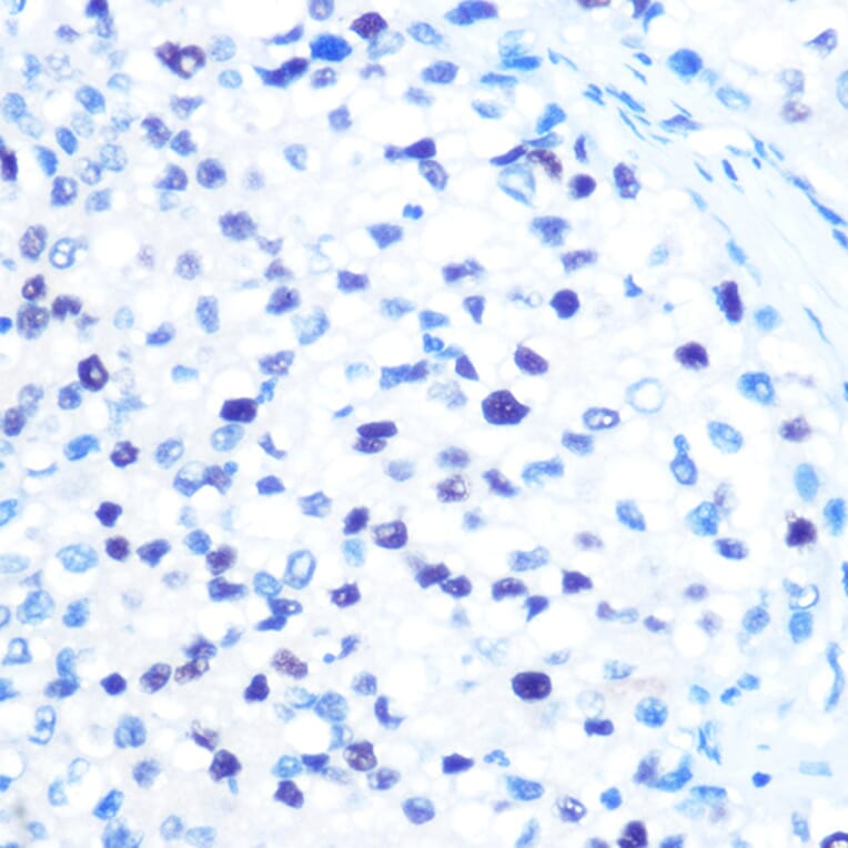
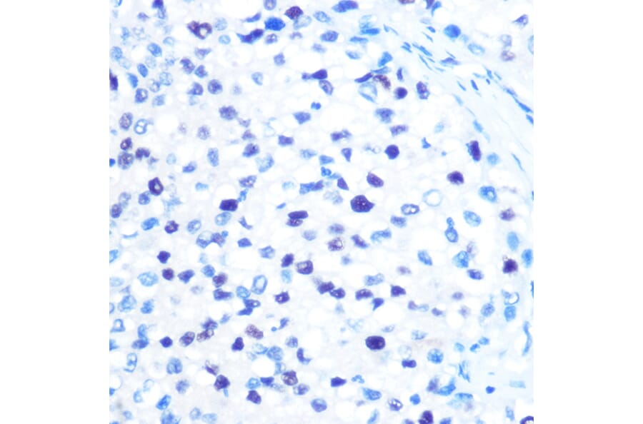
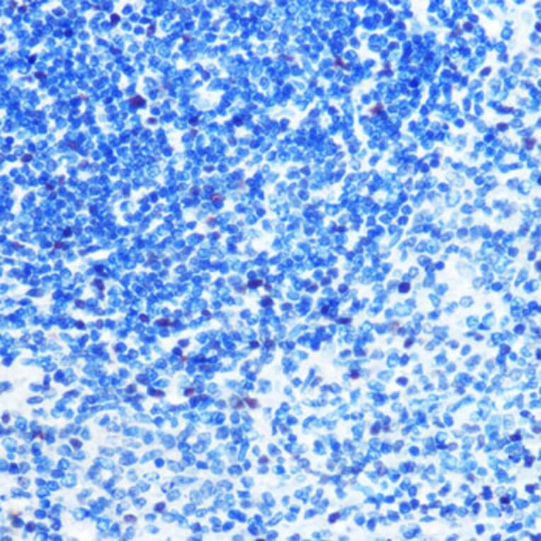
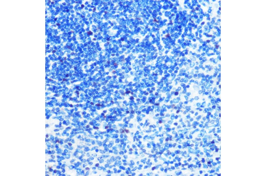
Immunohistochemistry analysis of paraffin-embedded rat spleen using Anti-MCM3 Antibody [ARC0607] (A306905) at a dilution of 1:100 (40x lens). Perform microwave antigen retrieval with 10 mM PBS buffer pH 7.2 before commencing with IHC staining protocol.
Immunofluorescence analysis of HeLa cells using Anti-MCM3 Antibody [ARC0607] (A306905) at a dilution of 1:100 (40x lens). DAPI was used to stain the cell nuclei (blue).
Immunofluorescence analysis of NIH-3T3 cells using Anti-MCM3 Antibody [ARC0607] (A306905) at a dilution of 1:100 (40x lens). DAPI was used to stain the cell nuclei (blue).
Western Blot - Anti-MCM3 Antibody [ARC0607] (A306905)
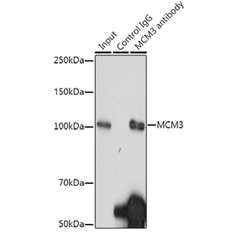
Immunoprecipitation analysis of 300µg extracts of HeLa cells using 3µg of Anti-MCM3 Antibody [ARC0607] (A306905). This Western blot was performed on the immunoprecipitate using Anti-MCM3 Antibody [ARC0607] (A306905) at a dilution of 1:1000.