Western blot analysis of A-549, using Anti-MCP1 Antibody (A12099) at 1:2,000 dilution. A-549 cells were treated by TNF-alpha (20 ng/ml) at 37°C for 30 minutes after serum-starvation overnight. The secondary antibody was Goat Anti-Rabbit IgG H&L Antibody (HRP) at 1:10,000 dilution. Lysates/proteins were present at 25µg per lane. The blocking buffer used was 3% non-fat dry milk in TBST. Detection was with a ECL Enhanced Kit. Exposure time: 30s.
Western blot analysis of various lysates, using Anti-MCP1 Antibody (A12099) at 1:2,000 dilution. The secondary antibody was Goat Anti-Rabbit IgG H&L Antibody (HRP) at 1:10,000 dilution. Lysates/proteins were present at 25µg per lane. The blocking buffer used was 3% non-fat dry milk in TBST. Detection was with a ECL Enhanced Kit. Exposure time: 30s.
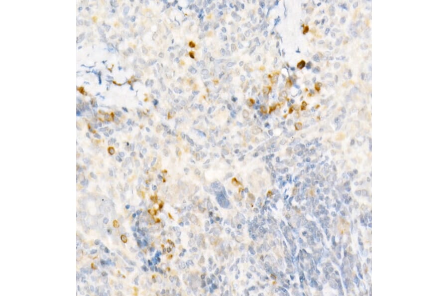
Immunohistochemistry analysis of paraffin-embedded rat spleen using Anti-MCP1 Antibody (A12099) at a dilution of 1:50 (40x lens). Perform high pressure antigen retrieval with 10 mM citrate buffer pH 6.0 before commencing with IHC staining protocol.
Immunohistochemistry analysis of paraffin-embedded mouse spleen using Anti-MCP1 Antibody (A12099) at a dilution of 1:50 (40x lens). Perform high pressure antigen retrieval with 10 mM citrate buffer pH 6.0 before commencing with IHC staining protocol.
Immunohistochemistry analysis of paraffin-embedded human colon carcinoma tissue using Anti-MCP1 Antibody (A12099) at a dilution of 1:50 (40x lens). Perform high pressure antigen retrieval with 10 mM citrate buffer pH 6.0 before commencing with IHC staining protocol.
Recombinant human monoclonal antibody to MCP 1 for use as a research grade Carlumab biosimilar for ELISA, Flow Cytometry, Functional Studies and in vivo Research.
Recombinant armenian hamster monoclonal antibody to MCP 1 [2H5] for use as a research grade 2H5 bios for ELISA, Flow Cytometry, Functional Studies and in vivo Research.
Recombinant human monoclonal antibody to MCP 1 for use as a research grade Carlumab biosimilar for ELISA, Flow Cytometry, Functional Studies and in vivo Research.
Recombinant armenian hamster monoclonal antibody to MCP 1 [2H5] for use as a research grade 2H5 bios for ELISA, Flow Cytometry, Functional Studies and in vivo Research.