Primary Antibodies
Secondary Antibodies
Proteins & Peptides
ELISA Kits
About Us
Contact Us
Sign In/Register
0
ISO 9001:2015 Certified
Live Customer Support
4.5/5 on Trustpilot
100% Quality Guarantee
Home
Primary Antibodies
MD-1 Antibodies
Anti-MD-1 Antibody (A48342)
Anti-MD-1 Antibody (A48342)
Overview
Specifications
Images
Enlarge Image
Enlarge Image
$780
Product Datasheet
Rabbit polyclonal antibody to MD-1 for ELISA, WB and IHC.
100% Guarantee
Price Match Guarantee
Product Size:
100µl
Quantity:
1
2
3
4
5
6
7
8
9
10
Add To Cart
Request a Quotation
Custom or Bulk Request
Shipping Information
Freight/Packing Charges:
$40
Dispatched from St. Louis, MO.
Lead Time: 6-9 business days.
Specifications
Name
Anti-MD-1 Antibody
Description
Rabbit polyclonal antibody to MD-1
Applications
ELISA
,
WB
,
IHC
Reactivity
Human, Mouse, Rat
Immunogen
Raised against a 15 amino acid peptide from near the center of human MD-1.
Host
Rabbit
Clonality
Polyclonal
Conjugate
Unconjugated
Purification
Affinity chromatography purified via peptide column
Formulation
Supplied in phosphate-buffered saline with 0.02% Sodium Azide.
Storage
Shipped at 4°C. Upon delivery aliquot and store at -20°C. Avoid freeze/thaw cycles.
Synonyms
Ly-86, LY86, Lymphocyte antigen 86, MD1, Protein MD-1
Suitable Secondaries
Goat Anti-Rabbit IgG H&L Antibody (AP) (A294874)
Goat Anti-Rabbit IgG H&L Antibody (Biotin) (A294795)
Goat Anti-Rabbit IgG H&L Antibody (FITC) (A294887)
Goat Anti-Rabbit IgG H&L Antibody (HRP) (A294888)
See all Anti-Rabbit IgG Secondaries →
Disclaimer
This product is for research use only. It is not intended for diagnostic or therapeutic use.
Scientific Validation Data
Validation Data
(2)
Enlarge Image
Anti-MD-1 Antibody (A48342)
Western blot analysis of MD-1 in Daudi cell lysate with MD-1 antibody at (A) 1 and (B) 2 µg/mL.
Enlarge Image
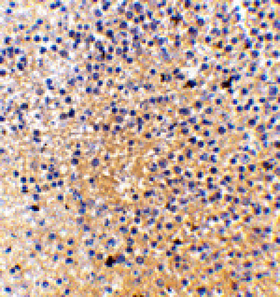
Immunohistochemistry - Anti-MD-1 Antibody (A48342)
Immunohistochemistry of MD-1 in human spleen tissue with MD-1 antibody at 2.5 µg/mL.
Publishing research using Anti-MD-1 Antibody (A48342)? Please
let us know
so that we can list the citation on this page.
Alternative products to Anti-MD-1 Antibody (A48342)
(2)
A31138
Anti-LY86 Antibody
Rabbit polyclonal antibody to LY86 for WB and IHC.
(2)
A11930
Anti-MD1 Antibody
Rabbit polyclonal antibody to MD1 for WB and IHC.
(2)
A48341
Anti-MD-1 Antibody
Rabbit polyclonal antibody to MD-1 for ELISA, WB and IHC.
A93091
Anti-MD1 Antibody
Rabbit polyclonal antibody to MD1 for WB.
(2)
A31138
Anti-LY86 Antibody
Rabbit polyclonal antibody to LY86 for WB and IHC.
(2)
A11930
Anti-MD1 Antibody
Rabbit polyclonal antibody to MD1 for WB and IHC.
(2)
A48341
Anti-MD-1 Antibody
Rabbit polyclonal antibody to MD-1 for ELISA, WB and IHC.
A93091
Anti-MD1 Antibody
Rabbit polyclonal antibody to MD1 for WB.
Proteins predicted to interact with MD-1
Predicted protein interactions based upon String database. Revelancy score correlates with probability of interaction.
RP105 Antibodies
99.9% Relevancy Score
MD2 Antibodies
99.5% Relevancy Score
RNASE6 Antibodies
86.3% Relevancy Score
TLR4 Antibodies
85.4% Relevancy Score
CD86 Antibodies
82.1% Relevancy Score
DAP12 Antibodies
79.6% Relevancy Score
CSF1R Antibodies
75.8% Relevancy Score
Cathepsin S Antibodies
72.3% Relevancy Score
LAPTM5 Antibodies
68.9% Relevancy Score
Top