ISO 9001:2015 Certified
Live Customer Support
4.5/5 on Trustpilot
100% Quality Guarantee

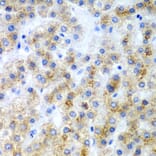
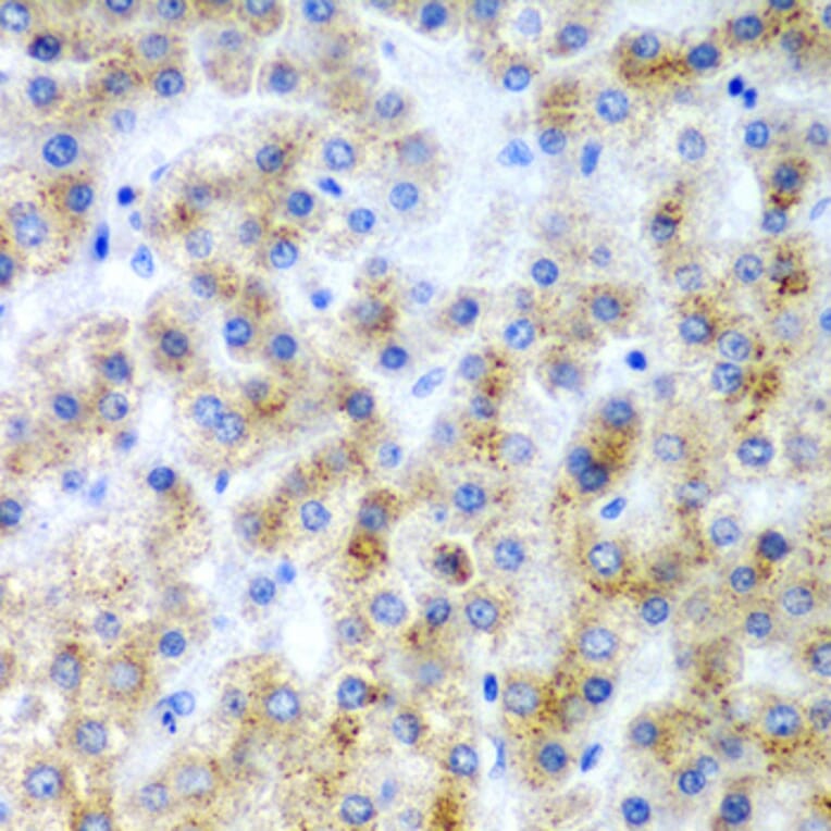
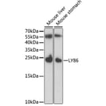
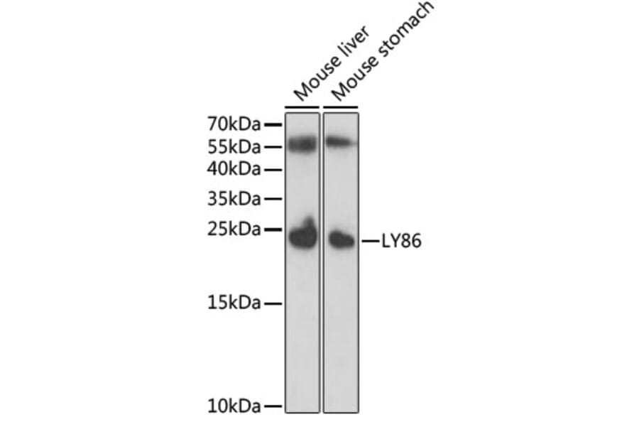
Anti-MD1 Antibody (A11930)

Rabbit polyclonal antibody to MD1 for WB and IHC.

Shipping Information

$40
Dispatched from St. Louis, MO.
Lead Time: 7-10 business days.
Name
Anti-MD1 Antibody
Description
Rabbit polyclonal antibody to MD1.
Applications
WB, IHC
Dilutions
WB: 1:500-1:2,000, IHC: 1:50-1:200
Reactivity
Human, Mouse
Immunogen
Recombinant fusion protein containing a sequence corresponding to amino acids 21-162 of human LY86 (NP_004262.1).
Sequence
GGGGKAWPTHVVCSDSGLEVLYQSCDPLQDFGFSVEKCSKQLKSNINIRFGIILREDIKELFLDLALMSQGSSVLNFSYPICEAALPKFSFCGRRKGEQIYYAGPVNNPEFTIPQGEYQVLLELYTEKRSTVACANATIMCS
Host
Rabbit
Clonality
Polyclonal
Isotype
IgG
Conjugate

Unconjugated

Purification
Affinity purification.
Concentration
Lot Specific
Molecular Weight
24 kDa
Product Form
Liquid
Formulation
Supplied in Phosphate Buffered Saline, pH 7.3, with 50% Glycerol and 0.02% Sodium Azide.
Storage
Shipped at 4°C. Upon delivery aliquot and store at -20°C. Avoid freeze/thaw cycles.
Synonyms
Ly-86, LY86, Lymphocyte antigen 86, Protein MD-1
Disclaimer
This product is for research use only. It is not intended for diagnostic or therapeutic use.
Publishing research using Anti-MD1 Antibody (A11930)? Please let us know so that we can list the citation on this page.

Alternative products to Anti-MD1 Antibody (A11930)

Proteins predicted to interact with MD-1

Predicted protein interactions based upon String database. Revelancy score correlates with probability of interaction.
99.9% Relevancy Score
99.5% Relevancy Score
86.3% Relevancy Score
85.4% Relevancy Score
82.1% Relevancy Score
79.6% Relevancy Score
75.8% Relevancy Score
72.3% Relevancy Score
68.9% Relevancy Score