Immunofluorescent analysis of rat cerebellum section stained with Anti-MeCP2 Antibody [4F11] (A104324), at a dilution of 1:500, in red, and co-stained with Anti-Calbindin Antibody (A85359), at a dilution of 1:2,000, in green. The blue is DAPI staining of nuclear DNA. Following transcardial perfusion of rat with 4% paraformaldehyde, brain was post fixed for 1 hour, cut to 45µM, and free-floating sections were stained with the above antibodies. Anti-MeCP2 Antibody [4F11] (A104324) specifically labels nuclei of neuronal cells to a variable degree, while Calbindin is expressed in the dendrites and perikarya of Purkinje cells in the molecular layer of cerebellum.
Western Blot - Anti-MeCP2 Antibody [4F11] (A104324)
Western blot analysis of tissue lysates using Anti-MeCP2 Antibody [4F11] (A104324), at a dilution of 1:1,000, in green. The lanes contain: [Lane 1] protein standard (red), [Lane 2] rat whole brain, [Lane 3] nuclear fraction of rat brain, [Lane 4] mouse whole brain, and [Lane 5] nuclear fraction of mouse brain lysate. Strong band at about 75kDa in rat and slightly lower in mouse nuclear enriched fractions corresponds to the MeCP2 protein. The same blot was simultaneously probed with Anti-GAP43 Antibody (A85292) which detects GAP43 protein in all preparations with apparent molecular weight of 43kDa.
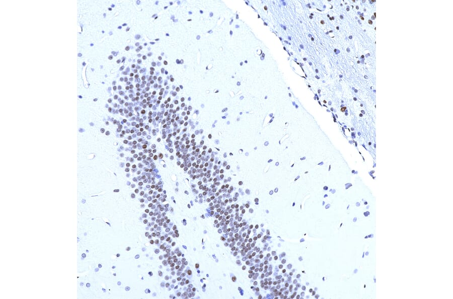
Immunohistochemistry analysis of a 4% PFA fixed paraffin embedded rat hippocampus section with Anti-MeCP2 Antibody [4F11] (A104324) at a dilution of 1:1,000 detected with DAB (brown) using the Vector Elite ABC-HRP detection and reagents with citra buffer retrieval. Counterstained with Hematoxylin (blue). Anti-MeCP2 Antibody [4F11] (A104324) labels the nuclei of neurons with varying degree of expression. Note: this antibody performs well in testing with 4% PFA fixed tissues but does not stain NBF fixed tissue effectively.
Publishing research using Anti-MeCP2 Antibody [4F11] (A104324)? Please let us know so that we can list the citation on this page.