Immunofluorescent analysis of rat olfactory bulb section stained with Anti-MeCP2 Antibody (A104322), at a dilution of 1:2,000, in red, and co-stained with Anti-alpha Synuclein Antibody [2A7] (A85290), at a dilution of 1:1,000, in green. The blue is DAPI staining of nuclear DNA. Following transcardial perfusion of rat with 4% paraformaldehyde, brain was post fixed for 24 hours, cut to 45µM, and free-floating sections were stained with the above antibodies. Anti-MeCP2 Antibody (A104322) specifically labels the nuclei of neuronal cells while Anti-alpha Synuclein Antibody [2A7] (A85290) reveals alpha Synuclein protein concentrated in presynaptic regions.
Western blot analysis of tissue and cell lysates using Anti-MeCP2 Antibody (A104322), at a dilution of 1:20,000, in green. The lanes contain: [Lane 1] protein standard (red), [Lane 2] rat whole brain, [Lane 3] nuclear fraction of rat brain, [Lane 4] mouse whole brain, [Lane 5] nuclear fraction of mouse brain lysate, [Lane 6] C6 cell lysate, and [Lane 7] SH-SY5Y cell lysate. The strong band at about 75kDa corresponds to the MeCP2 protein. The MeCP2 proteins of rat and human origin are known to migrate slightly differently on SDS-PAGE gels compared to that of mouse, and as a result bands appear at somewhat different apparent molecular weights
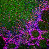
Immunofluorescent analysis of rat hippocampus section costained with Anti-alpha Synuclein Antibody [2A7] (A85290) at a dilution of 1:1,000 (green) and Anti-MeCP2 Antibody (A104322) at a dilution of 1:2,000 (red). Nuclei were stained with DAPI (blue). Following transcardial perfusion of rat with 4% paraformaldehyde, brain was post fixed for 1 hour, cut to 45 µM, and free-floating sections were stained with above antibodies. The a-synuclein protein is concentrated in synaptic regions, and the MeCP2 antibody stains the nuclei of neuronal cells.
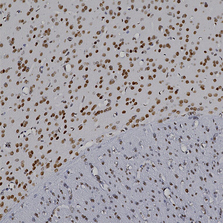
Immunohistochemistry analysis of a formalin fixed paraffin embedded rat cerebral cortex section with Anti-MeCP2 Antibody (A104322) at a dilution of 1:4,000 detected in DAB (brown) following the Vector Elite ABC-HRP detection method. Counterstained with Hematoxylin (blue). The MeCP2 antibody specifically labels the nuclei of neuronal cells.
Publishing research using Anti-MeCP2 Antibody (A104322)? Please let us know so that we can list the citation on this page.