ISO 9001:2015 Certified
Live Customer Support
4.5/5 on Trustpilot
100% Quality Guarantee

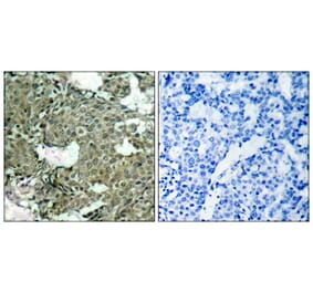
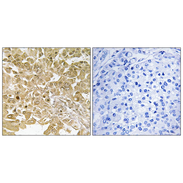
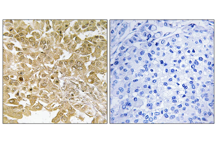
Anti-MEK1 Antibody (A96159)

Rabbit polyclonal antibody to MEK1 for WB, IHC and ELISA.

Shipping Information

$40
Dispatched from St. Louis, MO.
Lead Time: 6-8 business days.
Name
Anti-MEK1 Antibody
Description
Rabbit polyclonal antibody to MEK1.
Applications
WB, IHC, ELISA
Dilutions
WB: 1:500-1:1000, IHC: 1:50-1:100, ELISA: 1:4000
Reactivity
Human, Mouse, Rat
Immunogen
Synthetic peptide derived from human MEK1 (amino acids 261-310).
Host
Rabbit
Clonality
Polyclonal
Isotype
IgG
Conjugate

Unconjugated

Purification
Purified from rabbit serum by antigen affinity chromatography using the immunizing peptide.
Molecular Weight
43kDa
Product Form
Liquid
Formulation
Supplied in Phosphate Buffered Saline (without Mg2+ and Ca2+), pH 7.4, with 150mM NaCl, 0.02% Sodium Azide, and 50% Glycerol.
Storage
Shipped at 4°C. Upon delivery aliquot and store at -20°C. Avoid freeze / thaw cycles.
Synonyms
AA589381, CFC3, Dual specificity mitogen-activated protein kinase kinase 1, Dual specificity mitogen-activated protein kinase kinase 2, EC 2.7.12.2, ERK activator kinase 1, ERK activator kinase 2, FLJ26075, MAP kinase kinase 1, MAP kinase kinase 2, MAP2K1, MAP2K2, MAPK/ERK kinase 1, MAPK/ERK kinase 2, MAPKK 1, MAPKK1, MAPKK2, MEK 1, MEK1, MEKK1, Mitogen activated protein kinase kinase 1, Mitogen activated protein kinase kinase 2, Mitogen-activated protein kinase kinase 2, p45, MK2, MKK 1, MKK 2, MKK1, MKK2, MP2K1_HUMAN, PRKMK 1, PRKMK 2, Prkmk1, Prkmk2, Protein kinase, mitogen-activated, kinase 1, protein kinase, mitogen-activated, kinase 1 (MAP kinase kinase 1), Protein kinase, mitogen-activated, kinase 2
Disclaimer
This product is for research use only. It is not intended for diagnostic or therapeutic use.
Publishing research using Anti-MEK1 Antibody (A96159)? Please let us know so that we can list the citation on this page.

Alternative products to Anti-MEK1 Antibody (A96159)