ISO 9001:2015 Certified
Live Customer Support
4.5/5 on Trustpilot
100% Quality Guarantee

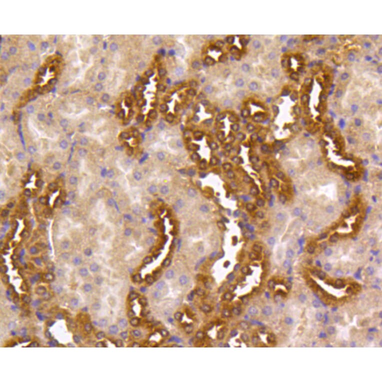
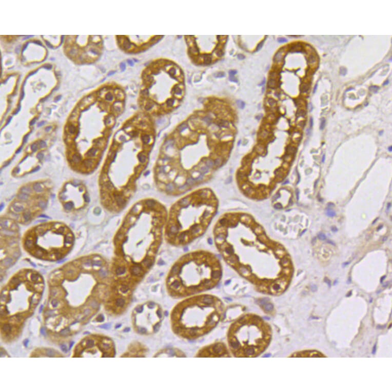
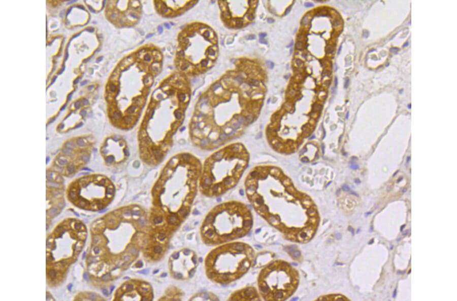
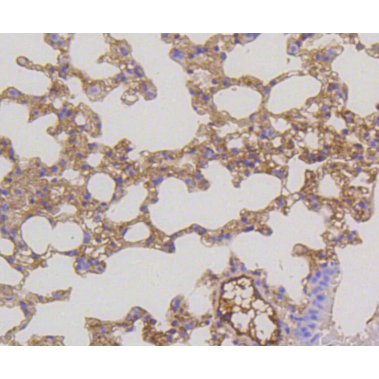
Anti-MEK1 + MEK2 Antibody [Assigned #A11122] (A16755)

This product is discontinued

Anti-MEK1 + MEK2 Antibody [Assigned #A11122] (A16755) has been discontinued and is no longer available.

View all Primary Antibodies.

Name
Anti-MEK1 + MEK2 Antibody [Assigned #A11122]
Description
Rabbit monoclonal (#A11122) antibody to MEK1 + MEK2.
Applications
WB, IHC, IF, IP
Dilutions
WB: 1:500-1:3000, IHC: 1:50-1:200, IF: 1:100-1:500, IP: 1:50-1:100
Reactivity
Human, Mouse, Rat
Immunogen
Recombinant protein of human MAP2K2.
Host
Rabbit
Clonality
Monoclonal
Clone ID
Assigned #A11122
Isotype
IgG
Conjugate

Unconjugated

Purification
Affinity purification.
Molecular Weight
44kDa
Formulation
Supplied in Phosphate Buffered Saline, pH 7.30, with 0.02% Sodium Azide and 50% Glycerol.
Storage
Shipped at 4°C. Upon delivery aliquot and store at -20°C. Avoid freeze / thaw cycles.
Synonyms
AA589381, CFC3, Dual specificity mitogen-activated protein kinase kinase 1, Dual specificity mitogen-activated protein kinase kinase 2, EC 2.7.12.2, ERK activator kinase 1, ERK activator kinase 2, FLJ26075, MAP kinase kinase 1, MAP kinase kinase 2, MAP2K1, MAP2K2, MAPK/ERK kinase 1, MAPK/ERK kinase 2, MAPKK 1, MAPKK1, MAPKK2, MEK 1, MEK1, MEKK1, Mitogen activated protein kinase kinase 1, Mitogen activated protein kinase kinase 2, Mitogen-activated protein kinase kinase 2, p45, MK2, MKK 1, MKK 2, MKK1, MKK2, MP2K1_HUMAN, PRKMK 1, PRKMK 2, Prkmk1, Prkmk2, Protein kinase, mitogen-activated, kinase 1, protein kinase, mitogen-activated, kinase 1 (MAP kinase kinase 1), Protein kinase, mitogen-activated, kinase 2
Disclaimer
This product is for research use only. It is not intended for diagnostic or therapeutic use.

Alternative products to Anti-MEK1 + MEK2 Antibody [Assigned #A11122] (A16755)