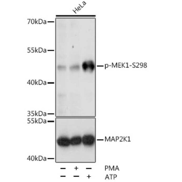
Western Blot - Anti-MEK1 (phospho Ser298) Antibody (A16425)
Western blot analysis of extracts of various cell lines, using Anti-MEK1 (phospho Ser298) Antibody (A16425) at 1:1,000 dilution or MEK1 antibody (A12687). HeLa cells were treated by PMA/TPA (200 nM) at 37°C for 15 minutes after serum-starvation overnight or treated by ATP(5 mM) at 30°C for 1 hour. The secondary antibody was Goat Anti-Rabbit IgG H&L Antibody (HRP) at 1:10,000 dilution. Lysates/proteins were present at 25µg per lane. The blocking buffer used was 3% BSA. Detection was with a ECL Basic Kit. Exposure time: 1s.
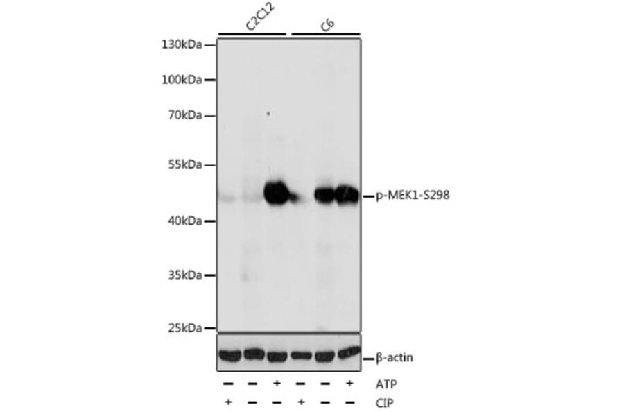
Western Blot - Anti-MEK1 (phospho Ser298) Antibody (A16425)
Western blot analysis of extracts of various cell lines, using Anti-MEK1 (phospho Ser298) Antibody (A16425) at 1:1,000 dilution. C2C12 cells were treated by CIP(20uL/400ul) at 37°C for 1 hour or treated by ATP(5 mM) at 30°C for 1 hour. C6 cells were treated by CIP(20uL/400ul) at 37°C for 1 hour or treated by ATP(5 mM) at 30°C for 1 hour. The secondary antibody was Goat Anti-Rabbit IgG H&L Antibody (HRP) at 1:10,000 dilution. Lysates/proteins were present at 25µg per lane. The blocking buffer used was 3% BSA. Detection was with a ECL Basic Kit. Exposure time: 1s.
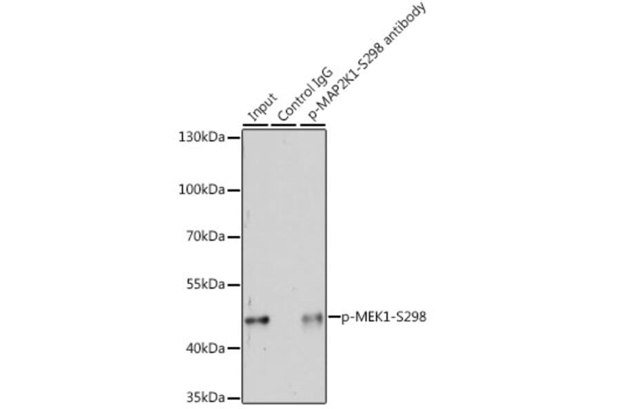
Western Blot - Anti-MEK1 (phospho Ser298) Antibody (A16425)
Immunoprecipitation analysis of 200µg extracts of 293T cells using 3µg of Anti-MEK1 (phospho Ser298) Antibody (A16425). This Western blot was performed on the immunoprecipitate using Anti-MEK1 (phospho Ser298) Antibody (A16425) at a dilution of 1:1000. 293T cells were treated by PMA/TPA (200 nM) at 37°C for 30 minutes after serum-starvation overnight.
Publishing research using Anti-MEK1 (phospho Ser298) Antibody (A16425)? Please let us know so that we can list the citation on this page.
Alternative products to Anti-MEK1 (phospho Ser298) Antibody (A16425)