ISO 9001:2015 Certified
Live Customer Support
4.5/5 on Trustpilot
100% Quality Guarantee

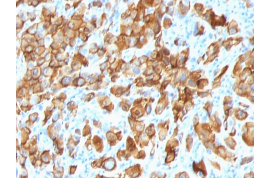
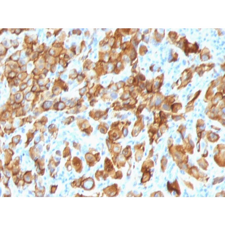
Anti-MelanA Antibody [SPM540] - BSA and Azide free (A251739)

Mouse monoclonal [SPM540] antibody to MelanA for Flow Cytometry, IF and IHC-P.

Alternative Formats and ConjugatesAlternative Formats

Shipping Information

$40
Dispatched from St. Louis, MO.
Lead Time: 5-8 business days.
Name
Anti-MelanA Antibody [SPM540] - BSA and Azide free
Description
Mouse monoclonal [SPM540] antibody to MelanA.
Specificity
This antibody recognizes a protein doublet of 20-22kDa, identified as MART-1 (Melanoma Antigen Recognized by T cells 1) or Melan-A. MART-1 is a newly identified melanocyte differentiation antigen recognized by autologous cytotoxic T lymphocytes. Seven other melanoma associated antigens recognized by autologous cytotoxic T cells include MAGE-1, MAGE-3, tyrosinase, gp100, gp75, BAGE-1, and GAGE-1. Subcellular fractionation shows that MART-1 is present in melanosomes and endoplasmic reticulum. This MAb labels melanomas and other tumors showing melanocytic differentiation. It is also a useful positive-marker for angiomyolipomas. It does not stain tumor cells of epithelial, lymphoid, glial, or mesenchymal origin.
Applications
Flow Cytometry, IF, IHC-P
Dilutions
Flow Cytometry: 1-2 µg/million cells, IF: 1-2 µg/ml, IHC-P: 1-2 µg/ml
Reactivity
Human, Mouse, Rat
Immunogen
Recombinant human MART-1 protein.
Host
Mouse
Clonality
Monoclonal
Clone ID
SPM540
Isotype
IgG2b
Light Chains
kappa
Conjugate

Unconjugated

Purification
Protein A/G chromatography.
Concentration
1 mg/ml
Molecular Weight
20-22 kDa (doublet)
Product Form
Liquid
Formulation
Supplied in 10mM Phosphate Buffered Saline; without Sodium Azide and carrier free.
Storage
Shipped at 4°C. Upon delivery aliquot and store at -20°C. Avoid freeze / thaw cycles.
General Notes
This monoclonal antibody is also available in a different formulation with BSA and Sodium Azide - Anti-MelanA Antibody [SPM540] (A248557).
Synonyms
Antigen LB39 AA, Antigen LB39-AA, Antigen SK29 AA, Antigen SK29-AA, MAR1_HUMAN, MART 1, MART-1, MART1, Melan A, Melan A protein, Melanoma antigen recognized by T cells 1, Melanoma antigen recognized by T-cells 1, MLAN A, MLANA, OTTHUMP00000021036, OTTHUMP00000021037, OTTHUMP00000021038, Protein Melan-A
Disclaimer
This product is for research use only. It is not intended for diagnostic or therapeutic use.
Publishing research using Anti-MelanA Antibody [SPM540] - BSA and Azide free (A251739)? Please let us know so that we can list the citation on this page.

Alternative products to Anti-MelanA Antibody [SPM540] - BSA and Azide free (A251739)