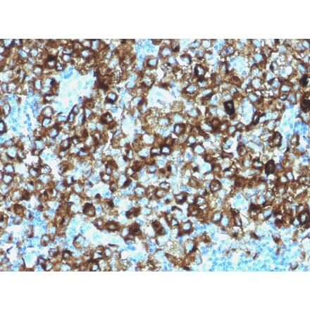
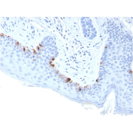
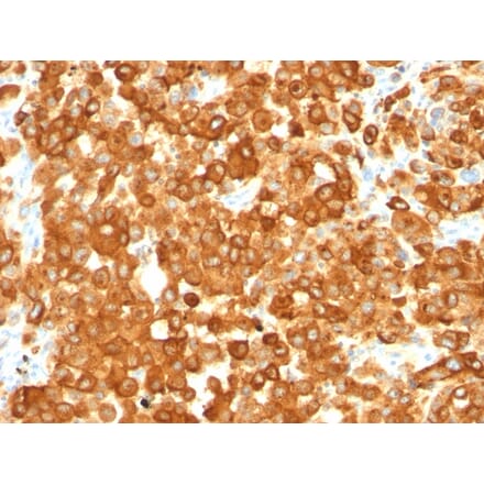
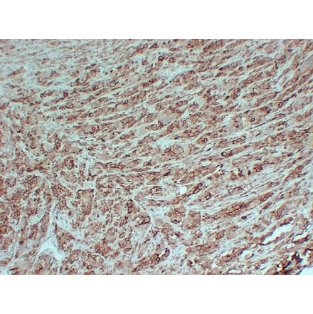
Melanosomes are pigment granules that synthesis, store and transport melanin pigments endowing tissues with colour and photoprotection. Melanosomes are lysosome-related organelles with a diameter of approximately 500 nm. The main types of melanin found in mammals include insoluble, black-brown eumelanin and alkali-soluble, yellow-red pheomelanin. The ratio of these two types of melanin is responsible for variations in skin, hair and eye colour. The main stimulus for melanin production is UV radiation. In mammals, melanosomes are synthesised in skin melanocytes, in choroid melanocytes and retinal pigment epithelial cells (RPE), both of which are cell types found in the eye. The precise functions of melanosomes differ depending on the type of cell that they are located in. Epidermal melanocytes provide keratinocytes with melanosomes resulting in the pigmentation of the skin and hair. In lower vertebrates, melanosomes are found in melanophores, pigment containing cells, which enable rapid colour change. The importance of melanosomes is highlighted by the rare disorder, oculocutaneous albinism (OCA), which is caused by defects in genes that encode melanosomal proteins. OCA is characterized by hypopigmentation of the skin, hair, and eyes, as well as impaired vision and increased susceptibility to skin and eye cancers. There are four stages (I–IV) of melanosome maturation characterised by the morphology and degree of melanin deposition in the melanosome. Stage I immature melanosomes contain few intraluminal vesicles (ILVs) and are derived from early/sorting endosomes. A partial clathrin coat is present on stage I melanosomes. Stage II immature melanosomes contain processed premelanosome protein (PMEL) 17 fibrils, which provide a scaffold for pigment production. Enzymes responsible for melanin production such as tyrosinase (Tyr), tyrosinase-related protein 1 (Tyrp1) and dopachrome tautomerase (Dct/Tyrp2) are transported into stage III melanosome enabling pigment synthesis to occur. Melanosomes subsequently darken as melanin deposits on PMEL fibres. Stage IV melanosomes represent mature melanosomes within cells. Melanosomes are formed around the cell nucleus. Once mature, melanosomes are transported to beneath the plasma membrane through interactions with the cytoskeleton. The best characterized melanosome transport system in vertebrates is the actin-dependent tripartite protein complex composed of Rab27A, Slac2-a (also called melanophilin), and myosin-Va. Melanosomal markers include many of the aforementioned proteins such as PMEL, Tyr, Tyrp1, and Tyrp2, as well as Melan-A, which plays a role in melanosome biogenesis. We offer a wide range of melanosomal marker antibodies including Melanoma gp100 antibodies, and TRP1 antibodies, covering various host species, clonalities, and conjugates. All our antibodies are validated in multiple applications, and with samples derived from multiple species. Explore the range below and discover more, for less.
Anti-Melanoma gp100 Antibody (A84225) | |
100µg/$525 | |
| Description: | Goat polyclonal antibody to Melanoma gp100. |
| Applications: | ELISA, WB, IF |
| Reactivity: | Human, Mouse |
| Conjugate: | Unconjugated |
Anti-Melanoma gp100 Antibody [HMB45] (A249967) | |
100µg/$580 | |
| Description: | Mouse monoclonal [HMB45] antibody to Melanoma gp100. |
| Applications: | Flow Cytometry, IF, WB, IHC-P |
| Reactivity: | Human |
| Conjugate: | Unconjugated |
Anti-Melanoma gp100 Antibody [Research Grade Biosimilar] - Low endotoxin, Azide free (A323864) | |
100µg/$325 | |
| Description: | Recombinant human monoclonal antibody to Melanoma gp100. |
| Applications: | ELISA, FACS, Functional Assay, In Vivo |
| Reactivity: | Human, Mouse, Rat, Cynomolgus Macaque |
| Conjugate: | Unconjugated |
Anti-Melanoma gp100 Antibody [Research Grade Biosimilar] - Low endotoxin, Azide free (A323865) | |
100µg/$325 | |
| Description: | Recombinant human monoclonal antibody to Melanoma gp100. |
| Applications: | ELISA, FACS, Functional Assay, In Vivo |
| Reactivity: | Human, Mouse, Rat, Cynomolgus Macaque |
| Conjugate: | Unconjugated |
Anti-Melanoma gp100 Antibody (A249977) | |
100µg/$580 | |
| Description: | Rabbit polyclonal antibody to Melanoma gp100. |
| Applications: | Flow Cytometry, IF, WB, IHC-P |
| Reactivity: | Human |
| Conjugate: | Unconjugated |
Anti-Melanoma gp100 Antibody [PMEL/2037] - BSA and Azide free (A253153) | |
100µg/$580 | |
| Description: | Mouse monoclonal [PMEL/2037] antibody to Melanoma gp100. |
| Applications: | ELISA, WB, IHC-P |
| Reactivity: | Human |
| Conjugate: | Unconjugated |
Anti-Melanoma gp100 Antibody [PMEL/2038] - BSA and Azide free (A253154) | |
100µg/$580 | |
| Description: | Mouse monoclonal [PMEL/2038] antibody to Melanoma gp100. |
| Applications: | ELISA, WB, IHC-P |
| Reactivity: | Human |
| Conjugate: | Unconjugated |
Anti-Melanoma gp100 Antibody [PMEL/2039] - BSA and Azide free (A253155) | |
100µg/$580 | |
| Description: | Mouse monoclonal [PMEL/2039] antibody to Melanoma gp100. |
| Applications: | ELISA, WB, IHC-P |
| Reactivity: | Human |
| Conjugate: | Unconjugated |
Anti-Melanoma gp100 Antibody [PMEL/2037] (A249973) | |
100µg/$580 | |
| Description: | Mouse monoclonal [PMEL/2037] antibody to Melanoma gp100. |
| Applications: | ELISA, WB, IHC-P |
| Reactivity: | Human |
| Conjugate: | Unconjugated |
Anti-Melanoma gp100 Antibody [PMEL/2038] (A249974) | |
100µg/$580 | |
| Description: | Mouse monoclonal [PMEL/2038] antibody to Melanoma gp100. |
| Applications: | ELISA, WB, IHC-P |
| Reactivity: | Human |
| Conjugate: | Unconjugated |
Anti-Melanoma gp100 Antibody [PMEL/2039] (A249975) | |
100µg/$580 | |
| Description: | Mouse monoclonal [PMEL/2039] antibody to Melanoma gp100. |
| Applications: | ELISA, WB, IHC-P |
| Reactivity: | Human |
| Conjugate: | Unconjugated |
Anti-Melanoma gp100 Antibody [HMB45] - BSA and Azide free (A253147) | |
100µg/$580 | |
| Description: | Mouse monoclonal [HMB45] antibody to Melanoma gp100. |
| Applications: | Flow Cytometry, IF, WB, IHC-P |
| Reactivity: | Human |
| Conjugate: | Unconjugated |
Anti-Melanoma gp100 Antibody [SPM142] (A249968) | |
100µg/$580 | |
| Description: | Mouse monoclonal [SPM142] antibody to Melanoma gp100. |
| Applications: | Flow Cytometry, IF, WB, IHC-P |
| Reactivity: | Human |
| Conjugate: | Unconjugated |
Flanvotumab Biosimilar - Anti-TRP1 Antibody - Low endotoxin, Azide free (A323455) | |
100µg/$325 | |
| Description: | Recombinant human monoclonal antibody to TRP1. |
| Applications: | ELISA, FACS, Functional Assay, In Vivo |
| Reactivity: | Human, Mouse |
| Conjugate: | Unconjugated |
Anti-Melanoma gp100 Antibody [SPM142] - BSA and Azide free (A253148) | |
100µg/$580 | |
| Description: | Mouse monoclonal [SPM142] antibody to Melanoma gp100. |
| Applications: | Flow Cytometry, IF, WB, IHC-P |
| Reactivity: | Human |
| Conjugate: | Unconjugated |
Anti-Melanoma gp100 Antibody [HMB45 + PMEL/783] - BSA and Azide free (A253152) | |
100µg/$580 | |
| Description: | Mouse monoclonal [HMB45 + PMEL/783] antibody to Melanoma gp100. |
| Applications: | WB, IHC-P |
| Reactivity: | Human |
| Conjugate: | Unconjugated |
Anti-TRP1 Antibody [TYRP1/2340R] - BSA and Azide free (A253439) | |
100µg/$580 | |
| Description: | Recombinant rabbit monoclonal [TYRP1/2340R] antibody to TRP1. |
| Applications: | ELISA, IHC-P |
| Reactivity: | Human |
| Conjugate: | Unconjugated |
Anti-Melanoma gp100 Antibody - BSA and Azide free (A253157) | |
100µg/$580 | |
| Description: | Rabbit polyclonal antibody to Melanoma gp100. |
| Applications: | Flow Cytometry, IF, WB, IHC-P |
| Reactivity: | Human |
| Conjugate: | Unconjugated |
Anti-TRP1 Antibody [TA99 + TYRP1/807] (A250256) | |
100µg/$580 | |
| Description: | Mouse monoclonal [TA99 + TYRP1/807] antibody to TRP1. |
| Applications: | Flow Cytometry, IF, WB, IHC |
| Reactivity: | Human, Mouse |
| Conjugate: | Unconjugated |
Anti-TRP1 Antibody [TYRP1/2340R] (A250259) | |
100µg/$580 | |
| Description: | Recombinant rabbit monoclonal [TYRP1/2340R] antibody to TRP1. |
| Applications: | ELISA, IHC-P |
| Reactivity: | Human |
| Conjugate: | Unconjugated |
Flanvotumab Biosimilar - Anti-TRP1 Antibody - BSA and Azide free (A338817) | |
100µg - 1mg/$485 – $1,945 | |
| Description: | Human monoclonal antibody to TRP1. Research grade Flanvotumab biosimilar. |
| Applications: | ELISA, Flow Cytometry, Functional Studies, in vivo Research |
| Reactivity: | Human |
| Conjugate: | Unconjugated |
Anti-Melanoma gp100 Antibody (A14721) | |
100µl/$375 | |
| Description: | Rabbit polyclonal antibody to Melanoma gp100. |
| Applications: | WB, ICC/IF |
| Reactivity: | Human, Mouse, Rat |
| Conjugate: | Unconjugated |
Anti-TRP1 Antibody [TA99 + TYRP1/807] - BSA and Azide free (A253436) | |
100µg/$580 | |
| Description: | Mouse monoclonal [TA99 + TYRP1/807] antibody to TRP1. |
| Applications: | Flow Cytometry, IF, WB, IHC |
| Reactivity: | Human, Mouse |
| Conjugate: | Unconjugated |
Anti-TRP1 Antibody [TYRP1/3283] (A250250) | |
100µg/$580 | |
| Description: | Mouse monoclonal [TYRP1/3283] antibody to TRP1. |
| Applications: | ELISA, IHC-P |
| Reactivity: | Human |
| Conjugate: | Unconjugated |
Anti-TRP1 Antibody [TYRP1/1986] - BSA and Azide free (A253437) | |
100µg/$580 | |
| Description: | Mouse monoclonal [TYRP1/1986] antibody to TRP1. |
| Applications: | ELISA, IHC-P |
| Reactivity: | Human |
| Conjugate: | Unconjugated |
Anti-TRP1 Antibody [TYRP1/3284] (A250251) | |
100µg/$580 | |
| Description: | Mouse monoclonal [TYRP1/3284] antibody to TRP1. |
| Applications: | ELISA, IHC-P |
| Reactivity: | Human |
| Conjugate: | Unconjugated |
Anti-TRP1 Antibody [TA99] (A250252) | |
100µg/$580 | |
| Description: | Mouse monoclonal [TA99] antibody to TRP1. |
| Applications: | Flow Cytometry, IF, IHC |
| Reactivity: | Human, Mouse |
| Conjugate: | Unconjugated |
Anti-Melanoma gp100 Antibody [NKI-beteb] (A249969) | |
100µg/$580 | |
| Description: | Mouse monoclonal [NKI-beteb] antibody to Melanoma gp100. |
| Applications: | IHC-P |
| Reactivity: | Human, Horse |
| Conjugate: | Unconjugated |
Anti-Melanoma gp100 Antibody [PMEL/1825R] - BSA and Azide free (A253156) | |
100µg/$580 | |
| Description: | Recombinant rabbit monoclonal [PMEL/1825R] antibody to Melanoma gp100. |
| Applications: | WB, IHC-P |
| Reactivity: | Human |
| Conjugate: | Unconjugated |
Anti-Melanoma gp100 Antibody [SPM286] (A249970) | |
100µg/$580 | |
| Description: | Mouse monoclonal [SPM286] antibody to Melanoma gp100. |
| Applications: | Flow Cytometry, IF, IHC-P |
| Reactivity: | Human, Horse |
| Conjugate: | Unconjugated |
Anti-TRP1 Antibody [SPM611] (A250255) | |
100µg/$580 | |
| Description: | Mouse monoclonal [SPM611] antibody to TRP1. |
| Applications: | Flow Cytometry, IF, IHC-P |
| Reactivity: | Human, Mouse |
| Conjugate: | Unconjugated |
Anti-Melanoma gp100 Antibody [PMEL/783] (A249971) | |
100µg/$580 | |
| Description: | Mouse monoclonal [PMEL/783] antibody to Melanoma gp100. |
| Applications: | WB, IHC-P |
| Reactivity: | Human |
| Conjugate: | Unconjugated |
Anti-TRP1 Antibody [TYRP1/3280] - BSA and Azide free (A253427) | |
100µg/$580 | |
| Description: | Mouse monoclonal [TYRP1/3280] antibody to TRP1. |
| Applications: | ELISA, IHC-P |
| Reactivity: | Human |
| Conjugate: | Unconjugated |
Anti-Melanoma gp100 Antibody [HMB45 + PMEL/783] (A249972) | |
100µg/$580 | |
| Description: | Mouse monoclonal [HMB45 + PMEL/783] antibody to Melanoma gp100. |
| Applications: | WB, IHC-P |
| Reactivity: | Human |
| Conjugate: | Unconjugated |
Anti-TRP1 Antibody [TYRP1/1986] (A250257) | |
100µg/$580 | |
| Description: | Mouse monoclonal [TYRP1/1986] antibody to TRP1. |
| Applications: | ELISA, IHC-P |
| Reactivity: | Human |
| Conjugate: | Unconjugated |
Anti-TRP1 Antibody [TYRP1/3281] - BSA and Azide free (A253428) | |
100µg/$580 | |
| Description: | Mouse monoclonal [TYRP1/3281] antibody to TRP1. |
| Applications: | ELISA, IHC-P |
| Reactivity: | Human |
| Conjugate: | Unconjugated |
Anti-TRP1 Antibody [TYRP1/3282] - BSA and Azide free (A253429) | |
100µg/$580 | |
| Description: | Mouse monoclonal [TYRP1/3282] antibody to TRP1. |
| Applications: | ELISA, IHC-P |
| Reactivity: | Human |
| Conjugate: | Unconjugated |
Anti-TRP1 Antibody [TYRP1/3283] - BSA and Azide free (A253430) | |
100µg/$580 | |
| Description: | Mouse monoclonal [TYRP1/3283] antibody to TRP1. |
| Applications: | ELISA, IHC-P |
| Reactivity: | Human |
| Conjugate: | Unconjugated |
Anti-TRP1 Antibody [TYRP1/3284] - BSA and Azide free (A253431) | |
100µg/$580 | |
| Description: | Mouse monoclonal [TYRP1/3284] antibody to TRP1. |
| Applications: | ELISA, IHC-P |
| Reactivity: | Human |
| Conjugate: | Unconjugated |
Anti-Melanoma gp100 Antibody [PMEL/1825R] (A249976) | |
100µg/$580 | |
| Description: | Recombinant rabbit monoclonal [PMEL/1825R] antibody to Melanoma gp100. |
| Applications: | WB, IHC-P |
| Reactivity: | Human |
| Conjugate: | Unconjugated |
Anti-TRP1 Antibody [TA99] - BSA and Azide free (A253432) | |
100µg/$580 | |
| Description: | Mouse monoclonal [TA99] antibody to TRP1. |
| Applications: | Flow Cytometry, IF, IHC |
| Reactivity: | Human, Mouse |
| Conjugate: | Unconjugated |
Anti-TRP1 Antibody [TYRP1/3280] (A250247) | |
100µg/$580 | |
| Description: | Mouse monoclonal [TYRP1/3280] antibody to TRP1. |
| Applications: | ELISA, IHC-P |
| Reactivity: | Human |
| Conjugate: | Unconjugated |
Anti-Melanoma gp100 Antibody [NKI-beteb] - BSA and Azide free (A253149) | |
100µg/$580 | |
| Description: | Mouse monoclonal [NKI-beteb] antibody to Melanoma gp100. |
| Applications: | IHC-P |
| Reactivity: | Human, Horse |
| Conjugate: | Unconjugated |
Anti-TRP1 Antibody [TYRP1/3281] (A250248) | |
100µg/$580 | |
| Description: | Mouse monoclonal [TYRP1/3281] antibody to TRP1. |
| Applications: | ELISA, IHC-P |
| Reactivity: | Human |
| Conjugate: | Unconjugated |
Anti-Melanoma gp100 Antibody [SPM286] - BSA and Azide free (A253150) | |
100µg/$580 | |
| Description: | Mouse monoclonal [SPM286] antibody to Melanoma gp100. |
| Applications: | Flow Cytometry, IF, IHC-P |
| Reactivity: | Human, Horse |
| Conjugate: | Unconjugated |
Anti-TRP1 Antibody [SPM611] - BSA and Azide free (A253435) | |
100µg/$580 | |
| Description: | Mouse monoclonal [SPM611] antibody to TRP1. |
| Applications: | Flow Cytometry, IF, IHC-P |
| Reactivity: | Human, Mouse |
| Conjugate: | Unconjugated |
Anti-TRP1 Antibody [TYRP1/3282] (A250249) | |
100µg/$580 | |
| Description: | Mouse monoclonal [TYRP1/3282] antibody to TRP1. |
| Applications: | ELISA, IHC-P |
| Reactivity: | Human |
| Conjugate: | Unconjugated |
Anti-Melanoma gp100 Antibody [PMEL/783] - BSA and Azide free (A253151) | |
100µg/$580 | |
| Description: | Mouse monoclonal [PMEL/783] antibody to Melanoma gp100. |
| Applications: | WB, IHC-P |
| Reactivity: | Human |
| Conjugate: | Unconjugated |
Anti-TRP1 Antibody [TYRP1/1564R] - BSA and Azide free (A253438) | |
100µg/$580 | |
| Description: | Recombinant rabbit monoclonal [TYRP1/1564R] antibody to TRP1. |
| Applications: | IHC-P |
| Reactivity: | Human, Mouse |
| Conjugate: | Unconjugated |
Anti-TRP1 Antibody - BSA and Azide free (A253440) | |
100µg/$580 | |
| Description: | Rabbit polyclonal antibody to TRP1. |
| Applications: | IHC-P |
| Reactivity: | Human, Mouse |
| Conjugate: | Unconjugated |
Showing 1-50 of 64 products