Anti-Melanoma gp100 Antibody [NKI-beteb] - BSA and Azide free
Description
Mouse monoclonal [NKI-beteb] antibody to Melanoma gp100.
Specificity
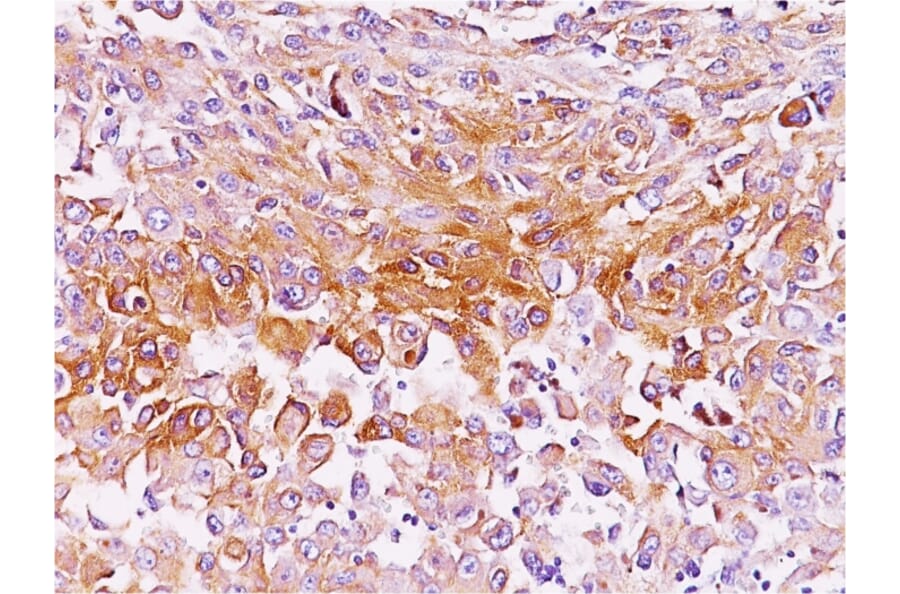
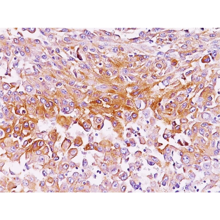
This antibody specifically recognizes a protein in melanocytes and melanomas and labels formalin-fixed, paraffin-embedded melanomas and other tumors showing melanocytic differentiation. This antibody reacts with junctional and blue nevus cells and variably with fetal and neonatal melanocytes. Intradermal nevi, normal adult melanocytes, and non-melanocytic cells are negative. This antibody does not stain tumor cells of epithelial, lymphoid, glial, or mesenchymal origin.
Applications
IHC-P
Dilutions
IHC-P: 1-2 µg/ml
Reactivity
Human, Horse
Cross Reactivity
This antibody does not cross react with Rat.
Immunogen
Membranes from a human melanoma metastasis.
Host
Mouse
Clonality
Monoclonal
Clone ID
NKI-beteb
Isotype
IgG2b
Light Chains
kappa
Conjugate
Unconjugated
Purification
Protein A/G chromatography.
Concentration
1 mg/ml
Molecular Weight
90-100 kDa
Product Form
Liquid
Formulation
Supplied in 10mM Phosphate Buffered Saline; without Sodium Azide and carrier free.
Storage
Shipped at 4°C. Upon delivery aliquot and store at -20°C. Avoid freeze / thaw cycles.
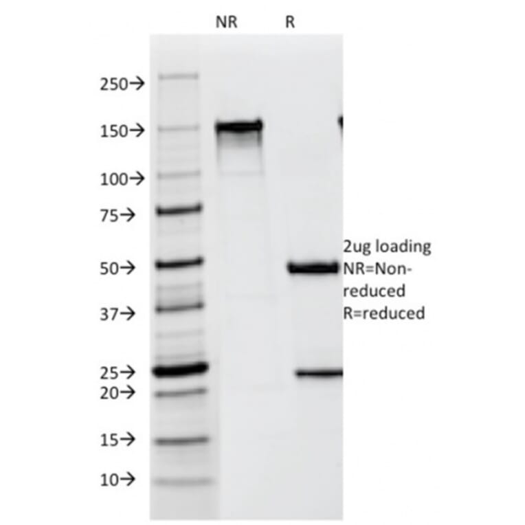
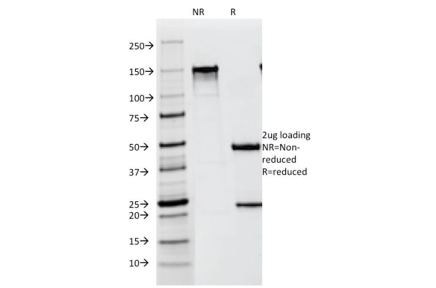
SDS-PAGE analysis of Anti-Melanoma gp100 Antibody [NKI-beteb] under non-reduced and reduced conditions; showing intact IgG and intact heavy and light chains, respectively. SDS-PAGE analysis confirms the integrity and purity of the antibody.
Anti-Melanoma gp100 Antibody [NKI-beteb] - BSA and Azide free (A253149)
Analysis of protein array containing more than 19,000 full-length human proteins using Anti-Melanoma gp100 Antibody [NKI-beteb]. Z-Score and S- Score: The Z-score represents the strength of a signal that a monoclonal antibody (MAb) (in combination with a fluorescently-tagged anti-IgG secondary antibody) produces when binding to a particular protein on the HuProtTM array. Z-scores are described in units of standard deviations (SD's) above the mean value of all signals generated on that array. If targets on HuProtTM are arranged in descending order of the Z-score, the S-score is the difference (also in units of SD's) between the Z-score. S-score therefore represents the relative target specificity of a MAb to its intended target; a MAb is considered to be specific to its intended target, if the MAb has an S-score of at least 2.5. For example, if a MAb binds to protein X with a Z-score of 43 and to protein Y with a Z-score of 14, then the S-score for the binding of that MAb to protein X is equal to 29.
Publishing research using Anti-Melanoma gp100 Antibody [NKI-beteb] - BSA and Azide free (A253149)? Please let us know so that we can list the citation on this page.
Alternative products to Anti-Melanoma gp100 Antibody [NKI-beteb] - BSA and Azide free (A253149)