ISO 9001:2015 Certified
Live Customer Support
4.5/5 on Trustpilot
100% Quality Guarantee

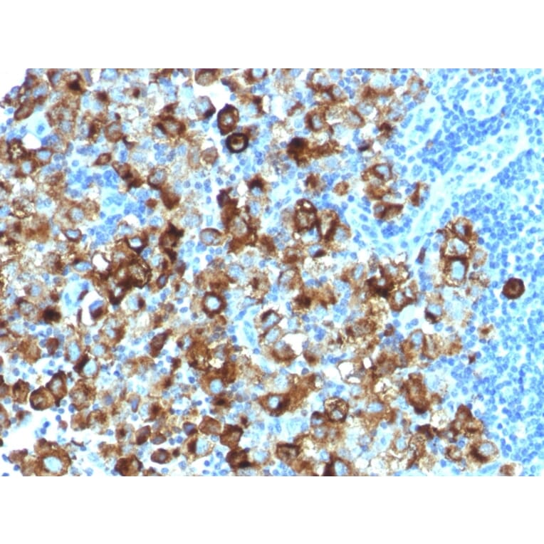
Recombinant Anti-Melanoma gp100 Antibody [PMEL/1825R] - BSA and Azide free (A253156)

Recombinant rabbit monoclonal [PMEL/1825R] antibody to Melanoma gp100 for WB and IHC-P.

Alternative Formats and ConjugatesAlternative Formats

Shipping Information

$40
Dispatched from St. Louis, MO.
Lead Time: 5-8 business days.
Name
Anti-Melanoma gp100 Antibody [PMEL/1825R] - BSA and Azide free
Description
Recombinant rabbit monoclonal [PMEL/1825R] antibody to Melanoma gp100.
Specificity
The gp100 molecule is a 100kDa glycosylated protein that is cleaved into a small (26kDa) carboxy-terminal fragment and a larger amino- terminal section (60-64 kDa), which is subsequently cleaved to generate 26kDa and 34-38kDa. By immunohistochemistry, it specifically recognizes a protein in melanocytes and melanomas. This MAb reacts with junctional and blue nevus cells and variably with fetal and neonatal melanocytes. Intradermal nevi, normal adult melanocytes, and non-melanocytic cells are negative. It does not stain tumor cells of epithelial, lymphoid, glial, or mesenchymal origin. Metastatic amelanotic melanoma can often be confused with a variety of poorly differentiated carcinomas, large cell lymphomas, and sarcomas using H E stains alone. It is also difficult to differentiate melanoma from spindle cell carcinomas and various types of mesenchymal neoplasms. This MAb stains fetal and neonatal melanocytes, junctional and blue nevus cells, and malignant melanoma. This MAb also stains Angiomyolipoma (PEComa).
Applications
WB, IHC-P
Dilutions
WB: 2-4 µg/ml, IHC-P: 1-2 µg/ml
Reactivity
Human
Cross Reactivity
This antibody does not cross react with Rat or Canine.
Immunogen
Recombinant full-length human gp100 protein.
Host
Rabbit
Clonality
Monoclonal
Clone ID
PMEL/1825R
Isotype
IgG
Conjugate

Unconjugated

Purification
Protein A/G chromatography.
Concentration
1 mg/ml
Molecular Weight
26-100 kDa
Product Form
Liquid
Formulation
Supplied in 10mM Phosphate Buffered Saline; without Sodium Azide and carrier free.
Storage
Shipped at 4°C. Upon delivery aliquot and store at -20°C. Avoid freeze / thaw cycles.
General Notes
This monoclonal antibody is also available in a different formulation with BSA and Sodium Azide - Anti-Melanoma gp100 Antibody [PMEL/1825R] (A249976).
Synonyms
D12S53E, ME20-M, ME20M, Melanocyte protein PMEL, Melanocyte protein Pmel 17, Melanocytes lineage-specific antigen GP100, Melanoma-associated ME20 antigen, P1, PMEL, PMEL17, SILV
Disclaimer
This product is for research use only. It is not intended for diagnostic or therapeutic use.
Publishing research using Recombinant Anti-Melanoma gp100 Antibody [PMEL/1825R] - BSA and Azide free (A253156)? Please let us know so that we can list the citation on this page.

Alternative products to Anti-Melanoma gp100 Antibody [PMEL/1825R] - BSA and Azide free (A253156)

Proteins predicted to interact with Melanoma gp100

Predicted protein interactions based upon String database. Revelancy score correlates with probability of interaction.
99% Relevancy Score
98.9% Relevancy Score
91% Relevancy Score
89.8% Relevancy Score
89.1% Relevancy Score
88.3% Relevancy Score
87% Relevancy Score
82% Relevancy Score
78.2% Relevancy Score