ISO 9001:2015 Certified
Live Customer Support
4.5/5 on Trustpilot
100% Quality Guarantee

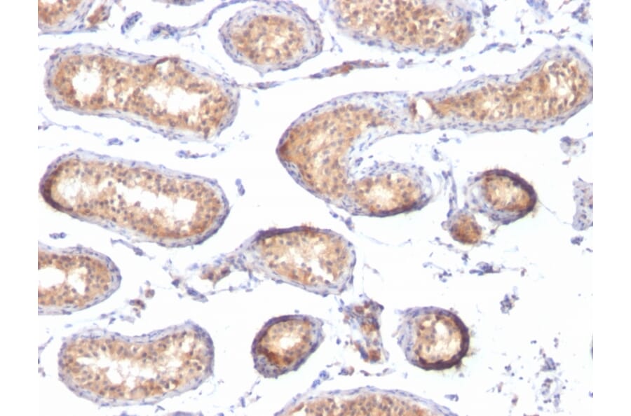
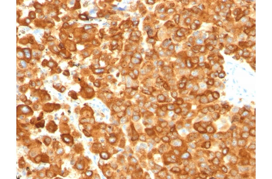
Anti-Melanoma gp100 Antibody [PMEL/783] (A249971)

Mouse monoclonal [PMEL/783] antibody to Melanoma gp100 for WB and IHC-P.

Alternative Formats and ConjugatesAlternative Formats

Shipping Information

$40
Dispatched from St. Louis, MO.
Lead Time: 5-8 business days.
Name
Anti-Melanoma gp100 Antibody [PMEL/783]
Description
Mouse monoclonal [PMEL/783] antibody to Melanoma gp100.
Specificity
The gp100 molecule is a 100kDa glycosylated protein that is cleaved into a small (26kDa) carboxy-terminal fragment and a larger amino- terminal section (60-64 kDa), which is subsequently cleaved to generate 26kDa and 34-38kDa fragments. Cytotoxic T lymphocytes (CTLs) recognize melanoma-associated antigens, which belong to three main groups. These groups include tumor-associated testis-specific antigens, melanocyte differentiation antigens and mutated or aberrantly expressed antigens, which are routinely used as markers to identify melanomas based on their binding to specific monoclonal antibodies. gp100, also designated ME20-M, ME20-S and PMEL 17, is classified as a melanocyte differentiation antigen and is expressed at low levels in normal cell lines and tissues, but is upregulated in melanocytes. gp100 is a highly glycosylated protein. It is also the product of proteolytic cleavage, which results in a secreted protein.
Applications
WB, IHC-P
Dilutions
WB: 2-4 µg/ml, IHC-P: 1-2 µg/ml
Reactivity
Human
Immunogen
Recombinant human SILV protein.
Host
Mouse
Clonality
Monoclonal
Clone ID
PMEL/783
Isotype
IgG1
Light Chains
kappa
Conjugate

Unconjugated

Purification
Protein A/G chromatography.
Concentration
200 µg/ml
Molecular Weight
26-100 kDa
Product Form
Liquid
Formulation
Supplied in 10mM Phosphate Buffered Saline with 0.05% BSA and 0.05% Sodium Azide.
Storage
Shipped at 4°C. Upon delivery aliquot and store at -20°C. Avoid freeze / thaw cycles.
General Notes
This monoclonal antibody is also available in a different formulation without BSA and Sodium Azide - Anti-Melanoma gp100 Antibody [PMEL/783] - BSA and Azide free (A253151).
Synonyms
D12S53E, ME20-M, ME20M, Melanocyte protein PMEL, Melanocyte protein Pmel 17, Melanocytes lineage-specific antigen GP100, Melanoma-associated ME20 antigen, P1, PMEL, PMEL17, SILV
Disclaimer
This product is for research use only. It is not intended for diagnostic or therapeutic use.
Publishing research using Anti-Melanoma gp100 Antibody [PMEL/783] (A249971)? Please let us know so that we can list the citation on this page.

Alternative products to Anti-Melanoma gp100 Antibody [PMEL/783] (A249971)

Proteins predicted to interact with Melanoma gp100

Predicted protein interactions based upon String database. Revelancy score correlates with probability of interaction.
99% Relevancy Score
98.9% Relevancy Score
91% Relevancy Score
89.8% Relevancy Score
89.1% Relevancy Score
88.3% Relevancy Score
87% Relevancy Score
82% Relevancy Score
78.2% Relevancy Score