ISO 9001:2015 Certified
Live Customer Support
4.5/5 on Trustpilot
100% Quality Guarantee

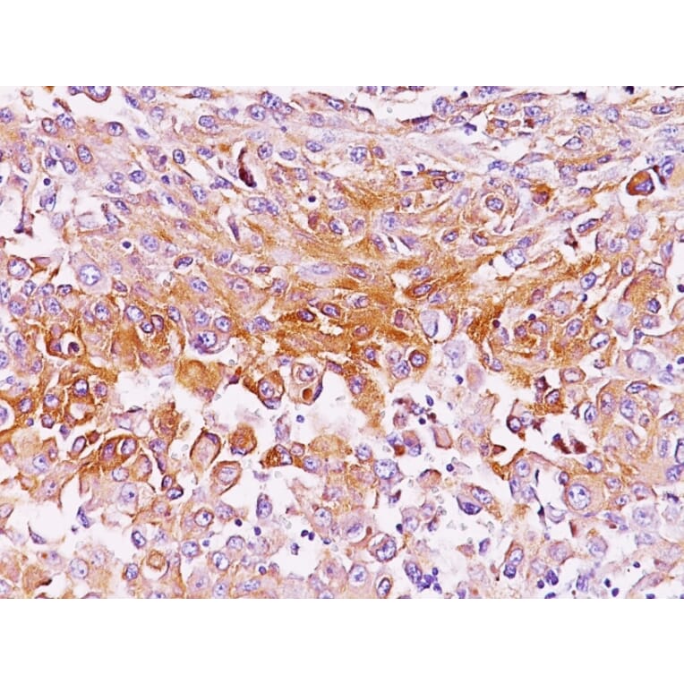
Anti-Melanoma gp100 Antibody [SPM286] - BSA and Azide free (A253150)

Mouse monoclonal [SPM286] antibody to Melanoma gp100 for Flow Cytometry, IF and IHC-P.

Alternative Formats and ConjugatesAlternative Formats

Shipping Information

$40
Dispatched from St. Louis, MO.
Lead Time: 5-8 business days.
Name
Anti-Melanoma gp100 Antibody [SPM286] - BSA and Azide free
Description
Mouse monoclonal [SPM286] antibody to Melanoma gp100.
Specificity
This antibody specifically recognizes a protein in melanocytes and melanomas and labels formalin-fixed, paraffin-embedded melanomas and other tumors showing melanocytic differentiation. This antibody reacts with junctional and blue nevus cells and variably with fetal and neonatal melanocytes. Intradermal nevi, normal adult melanocytes, and non-melanocytic cells are negative. This antibody does not stain tumor cells of epithelial, lymphoid, glial, or mesenchymal origin.
Applications
Flow Cytometry, IF, IHC-P
Dilutions
Flow Cytometry: 1-2 µg/million cells, IF: 1-2 µg/ml, IHC-P: 1-2 µg/ml
Reactivity
Human, Horse
Cross Reactivity
This antibody does not cross react with Rat.
Immunogen
Membranes from a human melanoma metastasis.
Host
Mouse
Clonality
Monoclonal
Clone ID
SPM286
Isotype
IgG2b
Light Chains
kappa
Conjugate

Unconjugated

Purification
Protein A/G chromatography.
Concentration
1 mg/ml
Molecular Weight
90-100 kDa
Product Form
Liquid
Formulation
Supplied in 10mM Phosphate Buffered Saline; without Sodium Azide and carrier free.
Storage
Shipped at 4°C. Upon delivery aliquot and store at -20°C. Avoid freeze / thaw cycles.
General Notes
This monoclonal antibody is also available in a different formulation with BSA and Sodium Azide - Anti-Melanoma gp100 Antibody [SPM286] (A249970).
Synonyms
D12S53E, ME20-M, ME20M, Melanocyte protein PMEL, Melanocyte protein Pmel 17, Melanocytes lineage-specific antigen GP100, Melanoma-associated ME20 antigen, P1, PMEL, PMEL17, SILV
Disclaimer
This product is for research use only. It is not intended for diagnostic or therapeutic use.
Publishing research using Anti-Melanoma gp100 Antibody [SPM286] - BSA and Azide free (A253150)? Please let us know so that we can list the citation on this page.

Alternative products to Anti-Melanoma gp100 Antibody [SPM286] - BSA and Azide free (A253150)

Proteins predicted to interact with Melanoma gp100

Predicted protein interactions based upon String database. Revelancy score correlates with probability of interaction.
99% Relevancy Score
98.9% Relevancy Score
91% Relevancy Score
89.8% Relevancy Score
89.1% Relevancy Score
88.3% Relevancy Score
87% Relevancy Score
82% Relevancy Score
78.2% Relevancy Score