ISO 9001:2015 Certified
Live Customer Support
4.5/5 on Trustpilot
100% Quality Guarantee

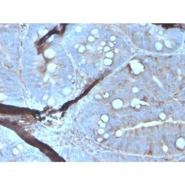
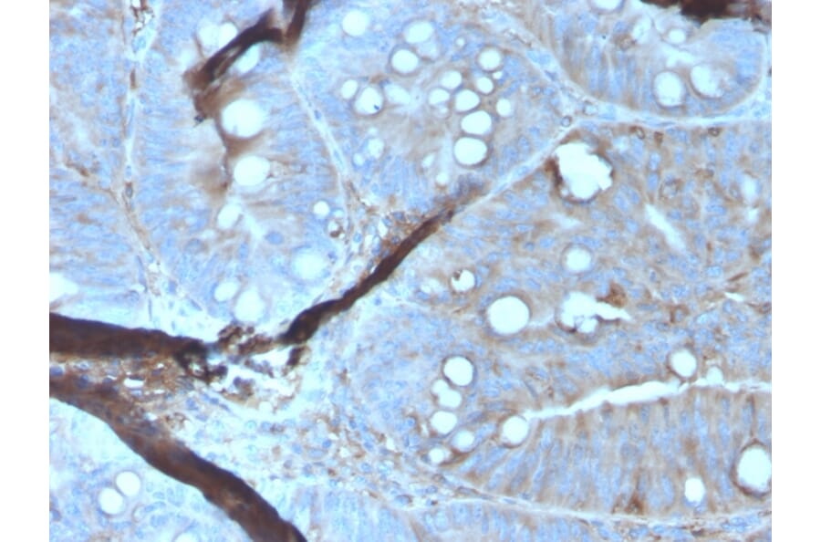
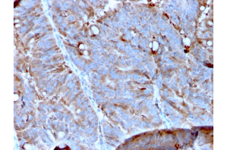
Anti-MerTK Antibody [MERTK/3023] - BSA and Azide free (A278118)

Mouse monoclonal [MERTK/3023] antibody to MerTK for IHC-P.

Alternative Formats and ConjugatesAlternative Formats

Shipping Information

$40
Dispatched from St. Louis, MO.
Lead Time: 5-8 business days.
Name
Anti-MerTK Antibody [MERTK/3023] - BSA and Azide free
Description
Mouse monoclonal [MERTK/3023] antibody to MerTK.
Specificity
MerTK, also called c-Mer, is a member of the Mer/Axl/Tyro3 receptor kinase family. It is a 984 residue transmembrane protein made up of one tyrosine kinase domain, two Fibronectin type-III domains and two immunoglobulinlike C2-type domains. MerTK is the mammalian ortholog of the chicken retroviral oncogene product v-Eyk. This protein plays a critical role in macrophage activation, platelet aggregation, clot stability and the efficient removal of apoptotic cells. Specifically, MerTK acts as a signaling molecule, triggering outer segment ingestion in the retinal pigment epithelium (RPE) phagocytic process. Evidence suggests that MerTK signals via interaction with phosphatidylinositol-specific phospholipase C γ2 (PI-PLC γ2). When the gene encoding for MerTK is mutated, the RPE phagocytosis pathway is disrupted and autosomal recessive retinitis pigmentosa (RP) may result, leading to degeneration of retinal photoreceptor cells.
Applications
IHC-P
Dilutions
IHC-P: 1-2 µg/ml
Reactivity
Human
Immunogen
Recombinant fragment, around amino acids 5-148, of human MerTK. The exact sequence is proprietary.
Host
Mouse
Clonality
Monoclonal
Clone ID
MERTK/3023
Isotype
IgG2a
Conjugate

Unconjugated

Purification
Protein A/G chromatography.
Concentration
1 mg/ml
Molecular Weight
110 kDa
Product Form
Liquid
Formulation
Supplied in 10mM Phosphate Buffered Saline; without Sodium Azide and carrier free.
Storage
Shipped at 4°C. Upon delivery aliquot and store at -20°C. Avoid freeze / thaw cycles.
General Notes
This monoclonal antibody is also available in a different formulation with BSA and Sodium Azide - Anti-MerTK Antibody [MERTK/3023] (A277530).
Synonyms
Proto-oncogene c-Mer, Receptor tyrosine kinase MerTK, Tyrosine-protein kinase Mer
Disclaimer
This product is for research use only. It is not intended for diagnostic or therapeutic use.
Publishing research using Anti-MerTK Antibody [MERTK/3023] - BSA and Azide free (A278118)? Please let us know so that we can list the citation on this page.

Alternative products to Anti-MerTK Antibody [MERTK/3023] - BSA and Azide free (A278118)

Proteins predicted to interact with Mer

Predicted protein interactions based upon String database. Revelancy score correlates with probability of interaction.
99.9% Relevancy Score
99.9% Relevancy Score
94.9% Relevancy Score
91.8% Relevancy Score
89.6% Relevancy Score
82.3% Relevancy Score
81.9% Relevancy Score
79.7% Relevancy Score
72.8% Relevancy Score