ISO 9001:2015 Certified
Live Customer Support
4.5/5 on Trustpilot
100% Quality Guarantee

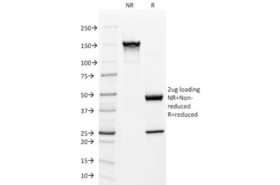
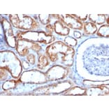
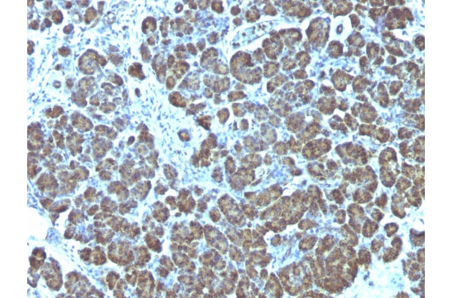
Anti-Mitochondria Antibody [113-1] - BSA and Azide free (A254071)

Mouse monoclonal [113-1] antibody to Mitochondria for IF, WB and IHC-P.

Alternative Formats and ConjugatesAlternative Formats

Shipping Information

$40
Dispatched from St. Louis, MO.
Lead Time: 5-8 business days.
Name
Anti-Mitochondria Antibody [113-1] - BSA and Azide free
Description
Mouse monoclonal [113-1] antibody to Mitochondria.
Specificity
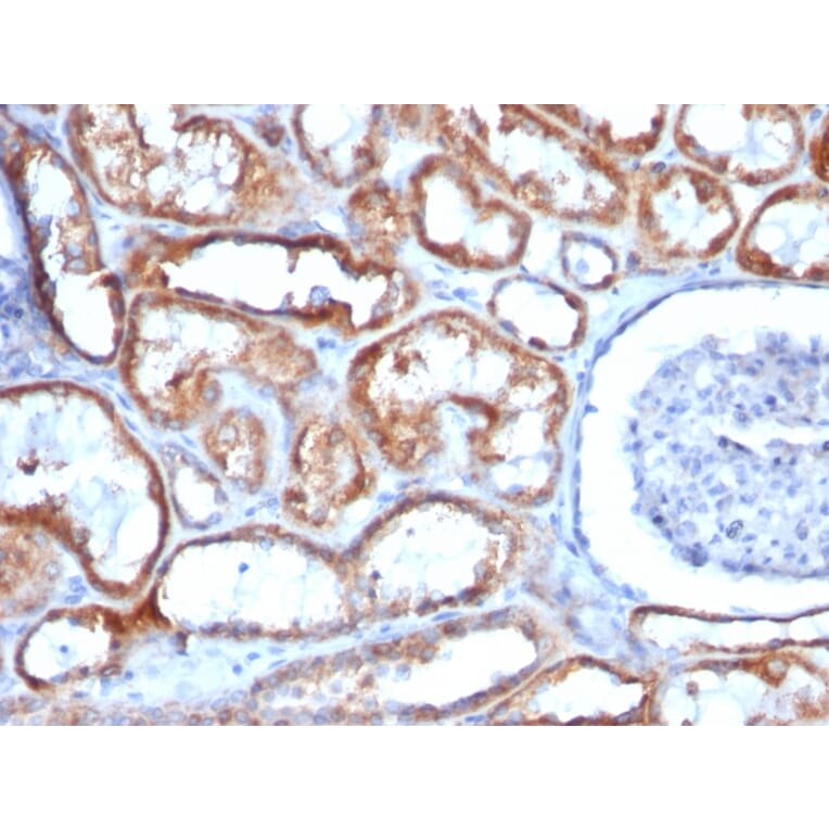
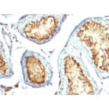
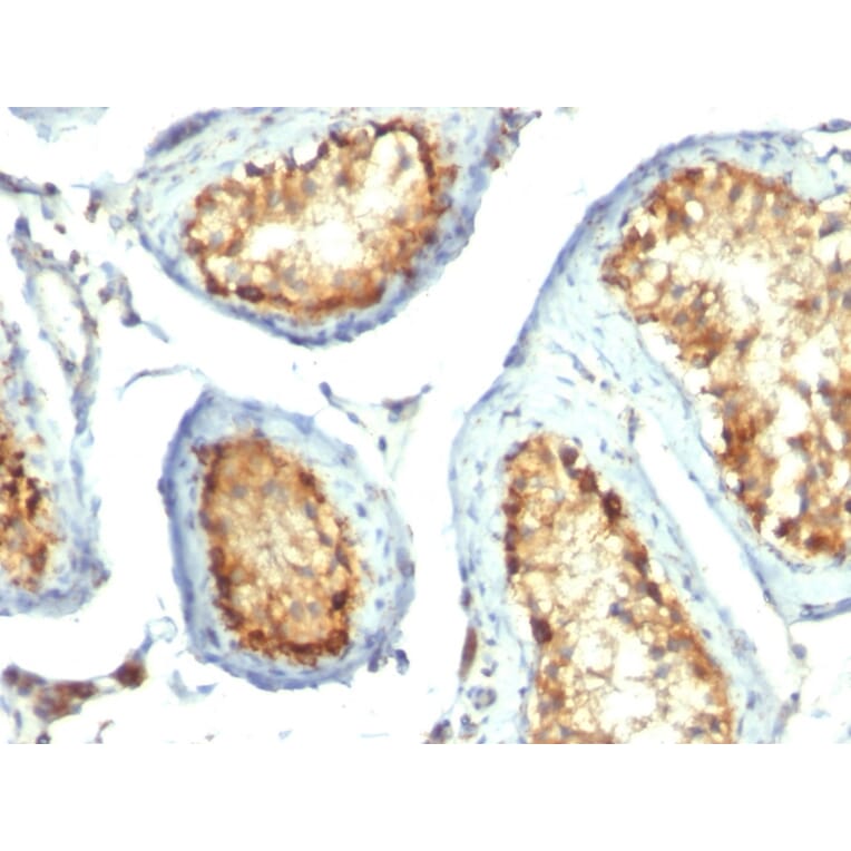
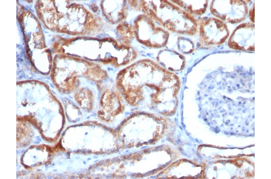
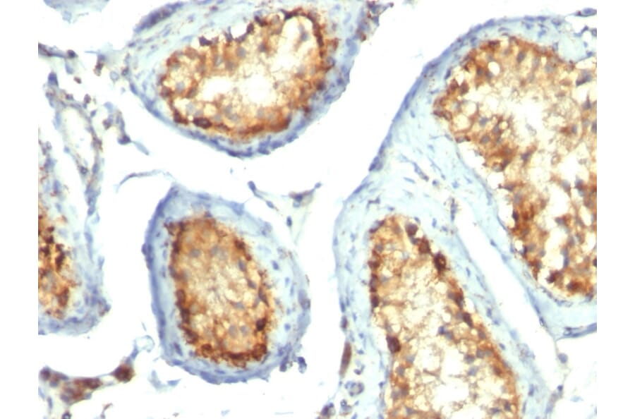
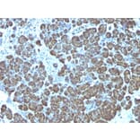
This antibody recognizes a 60kDa antigen associated with the mitochondria in human cells. It can be used to stain mitochondria in cell or tissue preparations and can be used as a mitochondrial marker in subcellular fractions. It produces a spaghetti-like pattern in normal and malignant cells. This antibody is an excellent marker for human cells in xenographic model research. It reacts specifically with human cells, including neurons and embryonic stem cells. Immunostaining pattern with anti-mitochondrial MAb has been reported as a useful discriminatory adjunct in the complex differential diagnosis of granular renal cell tumors. Reportedly, This antibody facilitates the classification of salivary tumors.
Applications
IF, WB, IHC-P
Dilutions
IF: 1-2 µg/ml, WB: 1-2 µg/ml, IHC-P: 1-2 µg/ml
Reactivity
Human
Cross Reactivity
This antibody does not cross react with Mouse or Rat.
Immunogen
Semi-purified mitochondrial preparation.
Host
Mouse
Clonality
Monoclonal
Clone ID
113-1
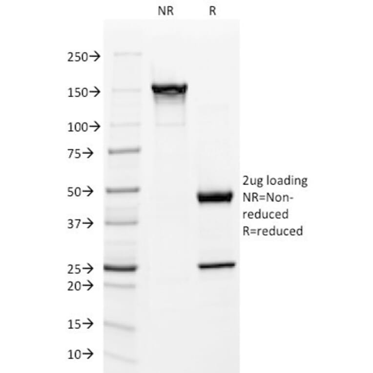
Isotype
IgG1
Light Chains
kappa
Conjugate

Unconjugated

Purification
Protein A/G chromatography.
Concentration
1 mg/ml
Molecular Weight
60 kDa
Product Form
Liquid
Formulation
Supplied in 10mM Phosphate Buffered Saline; without Sodium Azide and carrier free.
Storage
Shipped at 4°C. Upon delivery aliquot and store at -20°C. Avoid freeze / thaw cycles.
General Notes
This monoclonal antibody is also available in a different formulation with BSA and Sodium Azide - Anti-Mitochondria Antibody [113-1] (A250891).
Disclaimer
This product is for research use only. It is not intended for diagnostic or therapeutic use.
Publishing research using Anti-Mitochondria Antibody [113-1] - BSA and Azide free (A254071)? Please let us know so that we can list the citation on this page.

Alternative products to Anti-Mitochondria Antibody [113-1] - BSA and Azide free (A254071)