ISO 9001:2015 Certified
Live Customer Support
4.5/5 on Trustpilot
100% Quality Guarantee

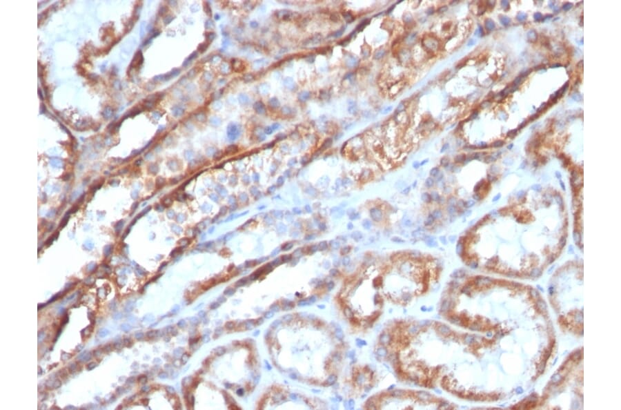
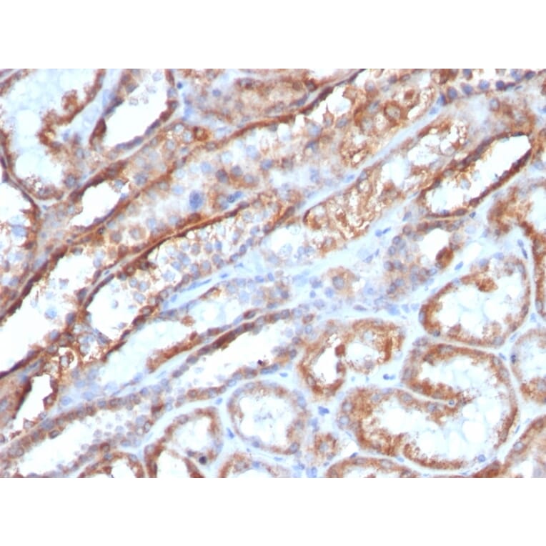
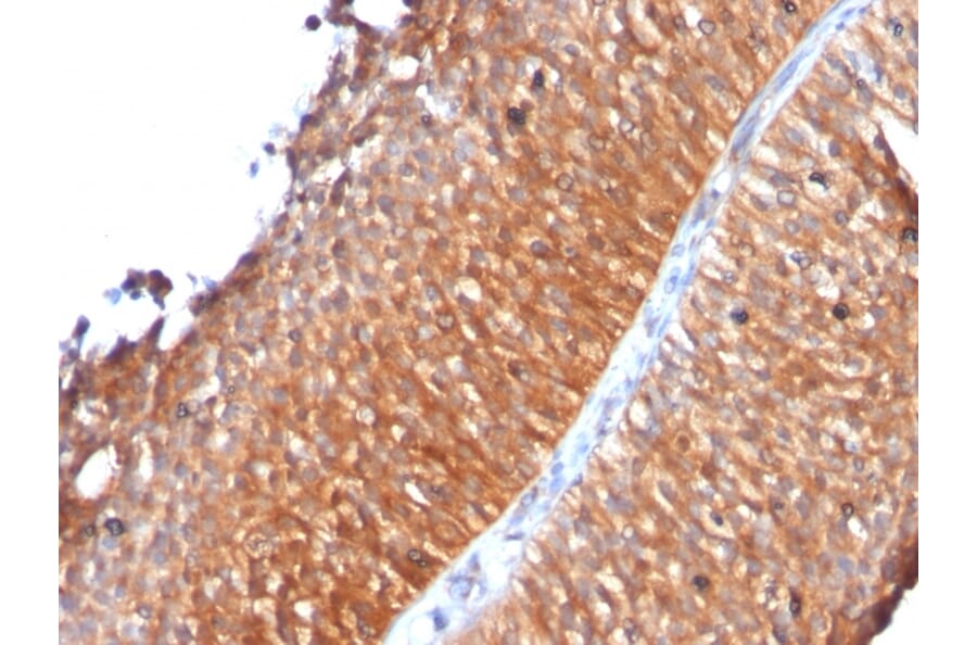
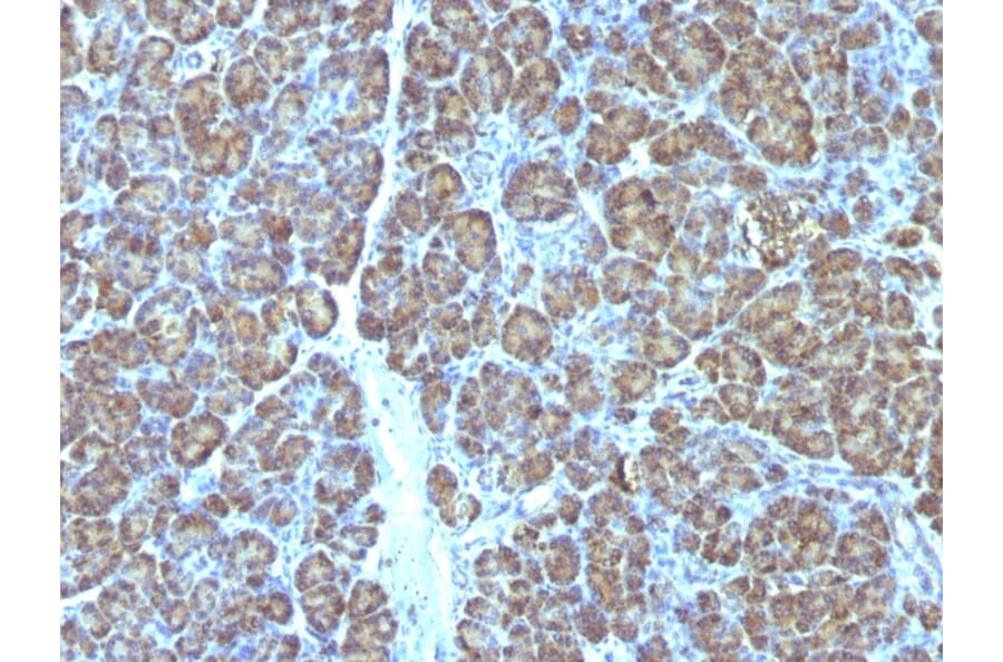
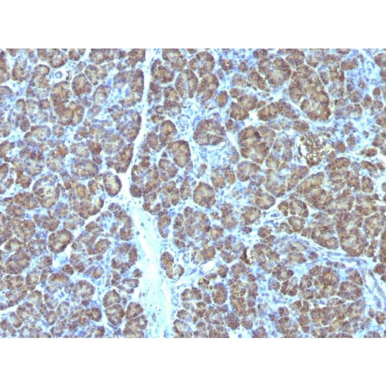
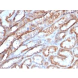
Anti-Mitochondria Antibody [MTC719] - BSA and Azide free (A254142)

Mouse monoclonal [MTC719] antibody to Mitochondria for Flow Cytometry, IF, WB and IHC-P.

Alternative Formats and ConjugatesAlternative Formats

Shipping Information

$40
Dispatched from St. Louis, MO.
Lead Time: 5-8 business days.
Name
Anti-Mitochondria Antibody [MTC719] - BSA and Azide free
Description
Mouse monoclonal [MTC719] antibody to Mitochondria.
Specificity
This antibody recognizes a 60kDa antigen associated with the mitochondria in cells. It is a part of a new panel of reagents, which recognizes subcellular organelles or compartments of cells. These markers may be useful in identification of these organelles in cells, tissues, and biochemical preparations. It recognizes an antigen associated with the mitochondria in cells from a wide variety of animals, but not insects and bacteria. It can be used to stain the mitochondria in cell or tissue preparations and can be used as a mitochondrial marker in subcellular fractions. It produces a spaghetti-like pattern in normal and malignant cells and may be used to stain mitochondria of cells in fixed or frozen tissue sections. It can also be used with paraformaldehyde fixed frozen tissue or cell preparations.
Applications
Flow Cytometry, IF, WB, IHC-P
Dilutions
Flow Cytometry: 1-2 µg/million cells, IF: 1-2 µg/ml, WB: 0.25-0.5 µg/ml, IHC-P: 1-2 µg/ml
Reactivity
Human
Cross Reactivity
This antibody does not cross react with insects or bacteria.
Immunogen
Mitochondrial fraction of HeLa cells.
Host
Mouse
Clonality
Monoclonal
Clone ID
MTC719
Isotype
IgG1
Light Chains
kappa
Conjugate

Unconjugated

Purification
Protein A/G chromatography.
Concentration
1 mg/ml
Molecular Weight
60 kDa
Product Form
Liquid
Formulation
Supplied in 10mM Phosphate Buffered Saline; without Sodium Azide and carrier free.
Storage
Shipped at 4°C. Upon delivery aliquot and store at -20°C. Avoid freeze / thaw cycles.
General Notes
This monoclonal antibody is also available in a different formulation with BSA and Sodium Azide - Anti-Mitochondria Antibody [MTC719] (A250962).
Disclaimer
This product is for research use only. It is not intended for diagnostic or therapeutic use.
Publishing research using Anti-Mitochondria Antibody [MTC719] - BSA and Azide free (A254142)? Please let us know so that we can list the citation on this page.

Alternative products to Anti-Mitochondria Antibody [MTC719] - BSA and Azide free (A254142)