ISO 9001:2015 Certified
Live Customer Support
4.5/5 on Trustpilot
100% Quality Guarantee

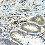
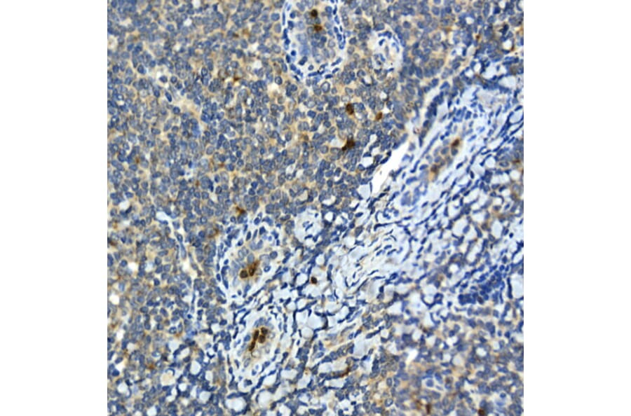
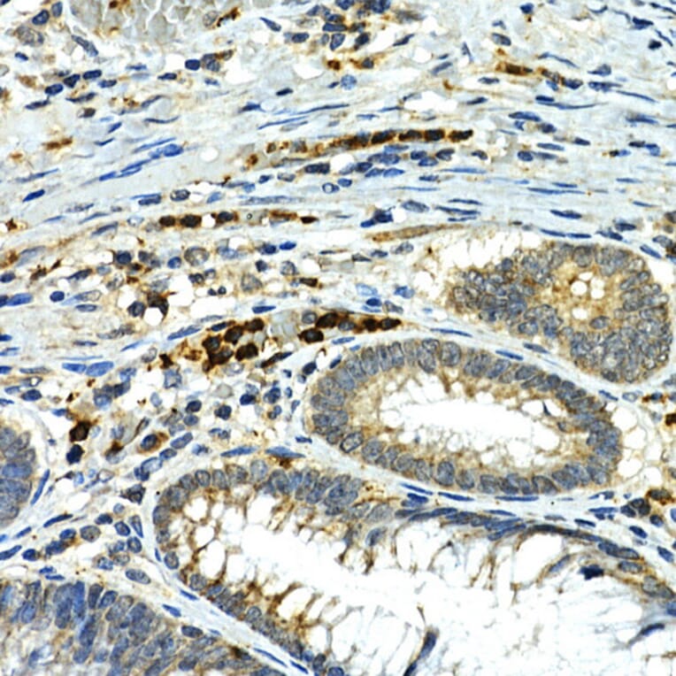
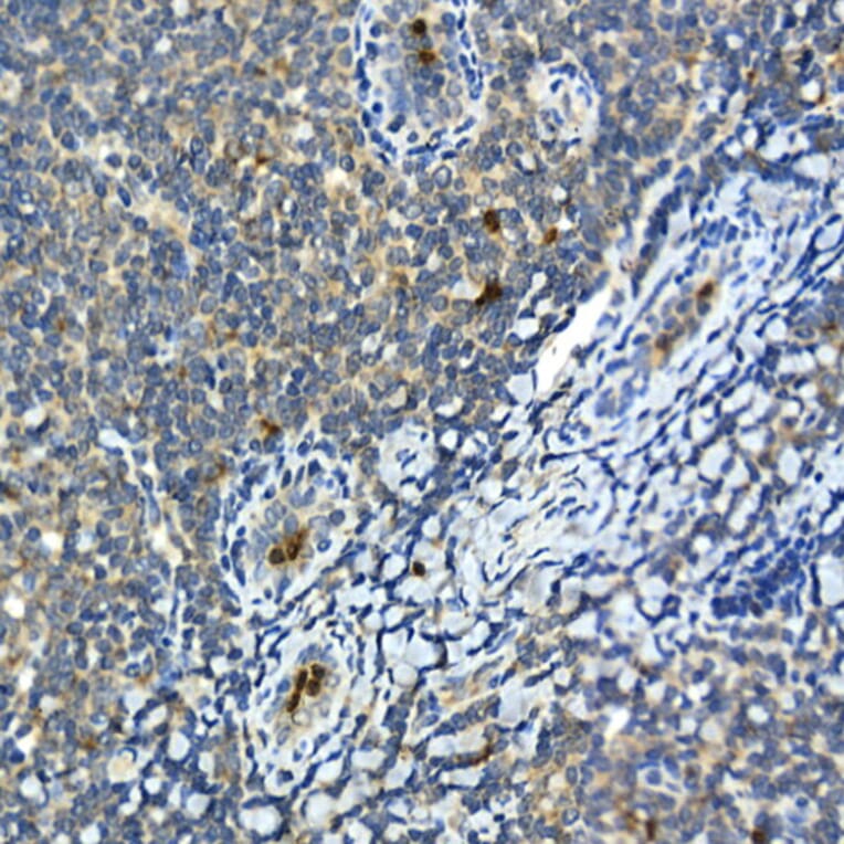
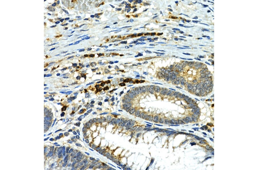
Anti-MMP9 Antibody (A80528)

This product is discontinued

Anti-MMP9 Antibody (A80528) has been discontinued and is no longer available.

View all MMP9 Antibodies.

Name
Anti-MMP9 Antibody
Description
Rabbit polyclonal antibody to MMP9.
Applications
WB, IHC
Dilutions
WB: 1:500-1:1,000, IHC: 1:50-1:200
Reactivity
Human, Mouse, Rat
Immunogen
Recombinant fusion protein containing a sequence corresponding to amino acids 3-172 of human MMP9 (NP_004985.2).
Sequence
LWQPLVLVLLVLGCCFAAPRQRQSTLVLFPGDLRTNLTDRQLAEEYLYRYGYTRVAEMRGESKSLGPALLLLQKQLSLPETGELDSATLKAMRTPRCGVPDLGRFQTFEGDLKWHHHNITYWIQNYSEDLPRAVIDDAFARAFALWSAVTPLTFTRVYSRDADIVIQFGV
Host
Rabbit
Clonality
Polyclonal
Isotype
IgG
Conjugate

Unconjugated

Purification
Affinity purification.
Molecular Weight
92 kDa
Product Form
Liquid
Formulation
Supplied in Phosphate Buffered Saline, pH 7.3, with 50% Glycerol and 0.02% Sodium Azide.
Storage
Shipped at 4°C. Upon delivery aliquot and store at -20°C. Avoid freeze / thaw cycles.
Synonyms
92 kDa gelatinase, 92 kDa type IV collagenase, CLG4B, Gelatinase B, GELB, Matrix metalloproteinase-9, MMP-9
Disclaimer
This product is for research use only. It is not intended for diagnostic or therapeutic use.

Most popular Anti-MMP9 Antibodies

Alternative products to Anti-MMP9 Antibody (A80528)

Proteins predicted to interact with MMP9

Predicted protein interactions based upon String database. Revelancy score correlates with probability of interaction.
99.9% Relevancy Score
99.8% Relevancy Score
99.8% Relevancy Score
99.8% Relevancy Score
99.7% Relevancy Score
99.5% Relevancy Score
99.2% Relevancy Score
98.2% Relevancy Score
97.9% Relevancy Score