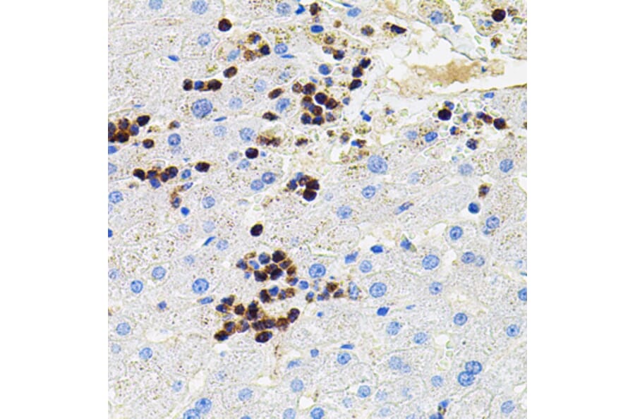
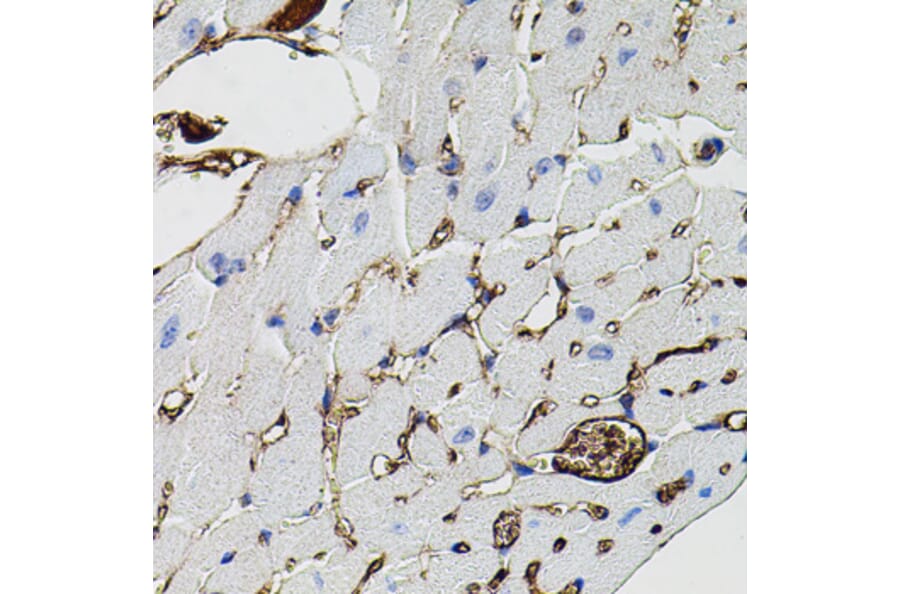
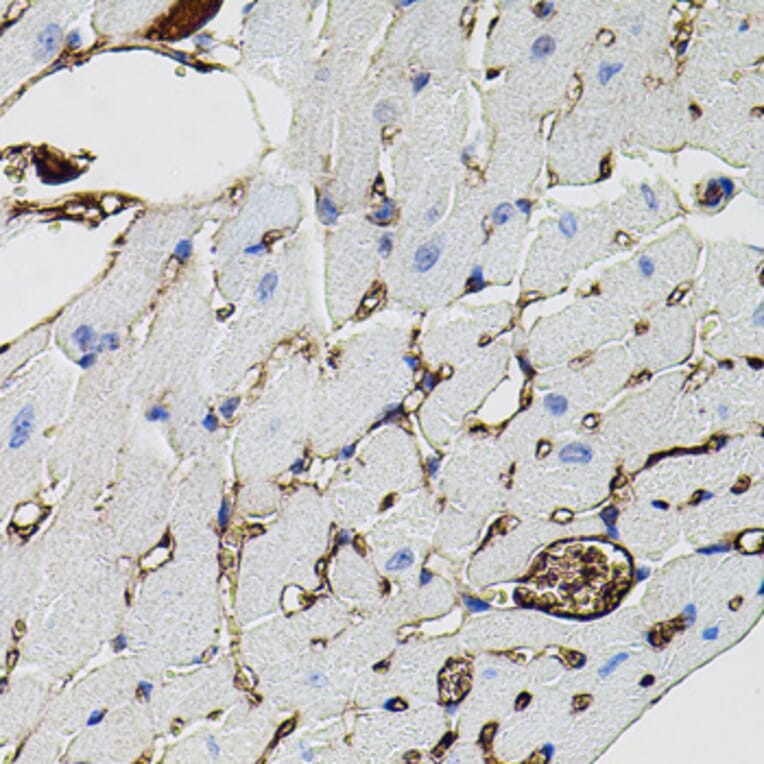
Recombinant chimeric monoclonal antibody to MMP9 for use as a research grade Andecaliximab biosimila for ELISA, Flow Cytometry, Functional Studies and in vivo Research.
Recombinant chimeric monoclonal antibody to MMP9 for use as a research grade Andecaliximab biosimila for ELISA, Flow Cytometry, Functional Studies and in vivo Research.